หน้าแรก
คอมมูนิตี้
ห้อง
แท็ก
คลับ
ห้อง
แก้ไขปักหมุด
ดูทั้งหมด
เกิดข้อผิดพลาดบางอย่าง
ลองใหม่
แท็ก
แก้ไขปักหมุด
ดูเพิ่มเติม
เกิดข้อผิดพลาดบางอย่าง
ลองใหม่
{room_name}
{name}
{description}
กิจกรรม
แลกพอยต์
อื่นๆ
ตั้งกระทู้
Pantip MALL
เข้าสู่ระบบ / สมัครสมาชิก
เว็บไซต์ในเครือ
Bloggang
Pantown
PantipMarket
Maggang
ติดตามพันทิป
ดาวน์โหลดได้แล้ววันนี้
เกี่ยวกับเรา
กฎ กติกา และมารยาท
คำแนะนำการโพสต์แสดงความเห็น
นโยบายเกี่ยวกับข้อมูลส่วนบุคคล
สิทธิ์การใช้งานของสมาชิก
ติดต่อทีมงาน Pantip
ติดต่อลงโฆษณา
ร่วมงานกับ Pantip
Download App Pantip
Pantip Certified Developer
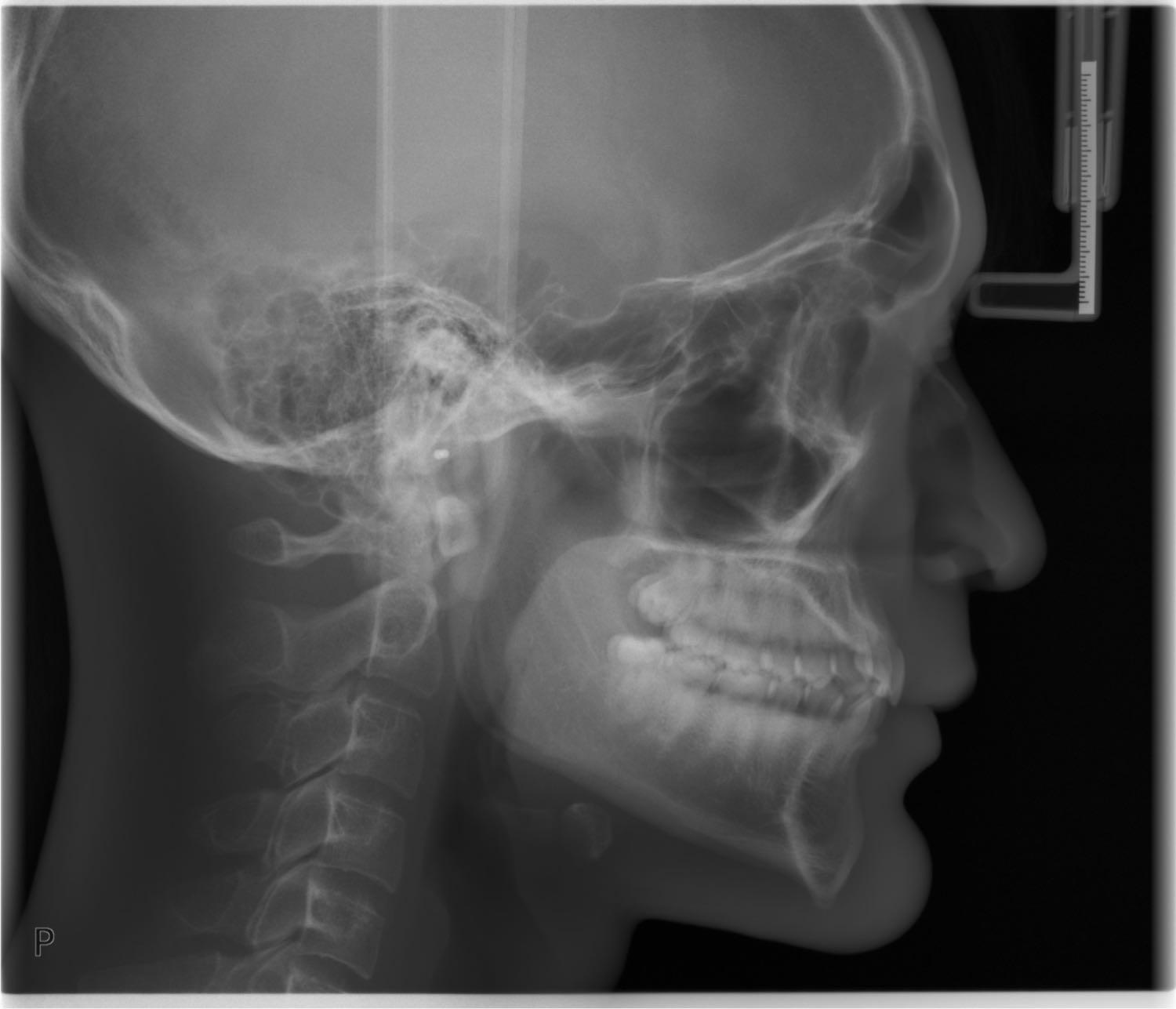
คางยื่น(เนื้อปลายคางหนา) พอจะมีคำแนะนำไหมครับ
กระทู้คำถาม
ศัลยกรรมความงาม
การศัลยกรรม
สวัสดีครับ รบกวนสอบถามเพื่อนๆ พี่ๆ ที่เคยทำศัลยกรรมคางหน่อยครับ
ปัญหาของผมคือ "คางยื่น" ครับ กังวลมาตั้งแต่เด็ก ช่วงนี้หารายได้ได้แล้วเลยอยากมาศัลยกรรมครับ คิดมาตลอดว่าเป็นที่กระดูกส่วนคาง แต่พอไปปรึกษาหมอ(หมอทันตกรรม) และ X-ray ดูแล้ว กระดูกไม่ได้ยื่นเท่าไหร่ แต่สิ่งที่ทำให้คางยื่น คือชั้นเนื้อเยื่อ/กล้ามเนื้อปลายคางมันหนา
ตอนนี้เลยอยากหาคลินิกหรือโรงพยาบาลที่ถนัดเรื่องนี้ครับ หมอทันตกรรมเขาแนะนำให้หาหมอพลาสติก ซึ่งผมไม่ค่อยรู้เลยครับ รบกวนด้วยครับ
▼
กำลังโหลดข้อมูล...
▼
แสดงความคิดเห็น
กระทู้ที่คุณอาจสนใจ
ควรขูดหินปูนเป็นประจำทุก 6 เดือนนะ!!!… “คุณหมอฟัน ขนลุก! ขูดหินปูนแต่ฟันหลุดยกแผง”
หมอฟันเผย เคยเจอเคสแรกในชีวิต หมอฟันสุดช็อก! คนไข้มาขูดหินปูน แต่ฟันจริงกลับหลุดติดกันออกมาทั้งแผง เหตุเพราะปล่อยให้หนาเกาะเตอะยึดฟันไว้ด้วยกัน ทำเอาคุณหมอถึงกับลั่น “เพิ่งเคยเจอครั้งแรกในชีวิต
Lady_Simplicity
ปาทังก้าโมเดล ใช้กับ .. ปลาหมอคางดำได้ไหม
ใครจดจำการระบาดของตั๊กแตนปาทังก้าได้บ้าง ตั๊กแตนปาทังก้า เคยระบาดในไทยช่วง 2525 - 2530 หลังจากนั้นก็โดนแด-กเรียบ ส่วนจ่า..ตอนเด็กๆ ทันช่วงปลายๆของการระบาดพอดี จำได้ว่า .. ตั๊กแตนทอดสมัยนั้น ต่าง
สมาชิกหมายเลข 4755513
คางเบี้ยว! จัดฟัน หรือ ศัลยกรรม ก่อนดี
เมื่อรู้ว่า.....คางเบี้ยว !!! เราต้องไปปรึกษาหมอฟัน หรือ ต้องไปหาหมอศัลยกรรมทำคาง ก่อนดีนะ วันนี้ หมอนี มารีวิว เรื่องคางเบี้ยวค่ะ บ่ายวันจันทร์.... น้อง B มาปรึกษาหมอ ว่าอยากจะจัดฟัน น้องB
สมาชิกหมายเลข 3373316
ไปทำคางกับจมูกมาพร้อมกัน รู้สึกเครียดกับทรง มากๆใครมีประสบการณ์แนะนำหน่อยนะค่ะ
สวัสดีเพื่อนๆทุกคน. เราไปทำคางกับจมูก มาพร้อมๆกัน จมูกเข้าวันที่3 ไม่ค่อยบวม แต่เจ็บตรงปลายจมูกแปล๊บๆ เรากลัวทะลุมาก เพราะ เราเนื้อจมูกน้อย ส่วนคางเรา มันยื่นๆ พอปิดปากตึงๆหมดเลยเราจัดฟันด้วย จ
สมาชิกหมายเลข 772362
x-ray เจอก้อนกลมๆที่ปลายรากฟันค่ะสอบถามหน่อย
ไปX-ray เพื่อจัดฟันค่ะ แล้วผลออกมาเจอก้อนกลมๆที่ปลายราก แต่หมอบอกว่ามันไม่ได้ติดกับปลายราก เลยใช้ไฟฟ้าทดสอบการตอบสนองของซี่ฟันนั้น ปรากฏว่าไม่มีการเสียวฟัน ก็คือไม่ตอบสนองเลย อยากถามว่าใครเคยเป็นแบบน
hinghoynan
ฟันเรียงตัวปกติ แต่กระดูกขากรรไกรบนยื่นทำให้ปากอูม ควรรักษายังไงคะ?
ฟันเราตรง ไม่ยื่นเลย แต่กระดูกขากรรไกรบนยื่นหรือกระดูกใหญ่ไม่แน่ใจค่ะ ทำให้สบฟันลึก และปากอูม เคยปรึกษาหมอฟันบางท่านบอกว่าจัดฟันได้ แต่พอส่งเคสไปหมออีกท่านไม่แนะนำให้จัดเพราะไม่ได้มีปัญหาเยอะ แต่มันเ
Vivid Pastel
รักษารากฟัน คืออะไร แบบไหนต้องรักษารากฟัน มีขั้นตอนอะไรบ้าง?
รักษารากฟัน คืออะไร แบบไหนต้องรักษารากฟัน มีขั้นตอนอะไรบ้าง? ปวดฟันจนทนไม่ไหว? เสียวฟันจี๊ดเมื่อกินของเย็น? สัญญาณเตือนภัยที่บอกว่าคุณอาจต้อง รักษารากฟัน แล้ว! หลายคนกลัวและคิดจะถอนฟันทิ้งไปเลย แต่ช้
Heysmile Dental Clinic
(จากหมอเก่ง-หมอกระดูกโดยตรง) รู้ไหม คนส่วนใหญ่ ใช้หมอนรองคอ(ที่มักใช้ตอนเดินทางทุกรูปแบบ) ผิดวิธี
คนส่วนใหญ่ใส่หมอนตัว U "ผิดวิธี" มาตลอดชีวิต ท่ามาตรฐานที่ผิด (The Wrong Way):คือการเอาส่วนโค้งตัว U ไว้ด้านหลัง แล้วเอาช่องเปิดไว้ด้านหน้า (เหมือนใส่ปลอกคอ)- ทำไมถึงผิด? เพราะหมอนตัว U ส่วน
ต้นโพธิ์ต้นไทร
ปวดคอร้าวลงแขน... การ “ดึงคอ” ช่วยได้จริง หรือแค่บรรเทาชั่วคราว?
"หมอครับ ผมเห็นในเน็ตมีขายเครื่องดึงคอแบบห้อยกับประตู หรือแบบเป่าลมพองๆ รัดคอ... ผมซื้อมาใช้เองได้ไหมครับ? ปวดคอร้าวลงแขนจนจะทนไม่ไหวแล้ว" นี่คือคำถามยอดฮิตจากคนไข้หนุ่มวัยทำงาน โปรแกรมเมอร
Lady_Simplicity
โรงพยาบาลกลับคำเรื่องประวัติการรักษาที่เคยบอกก้อนเนื้อเป็นกระดูก มาวันนี้เปลี่ยนประวัติว่าเป็นก้อนเนื้อ
สอบถามค่ะ ถ้าเราเคยไปหาหมอโรงพยาบาล A เนื้องจากมีก้อนข้างหู แล้วหมอบอกว่าเป็นกระดูกและไม่ตรวจอะไรเพิ่มเติมตอนปี 56 เราก็ใช้ชีวิตมาเรื่อยและทำประกับมะเร็งไว้ตอนต้นปี 67 ปลายปี 68 เรารู้สึกว่าก้อนนั้นมั
สมาชิกหมายเลข 1995392
อ่านกระทู้อื่นที่พูดคุยเกี่ยวกับ
ศัลยกรรมความงาม
การศัลยกรรม
บนสุด
ล่างสุด
อ่านเฉพาะข้อความเจ้าของกระทู้
หน้า:
หน้า
จาก
แชร์ :
โปรดศึกษาและยอมรับนโยบายข้อมูลส่วนบุคคลก่อนเริ่มใช้งาน
อ่านเพิ่มเติมได้ที่นี่
ยอมรับ
คางยื่น(เนื้อปลายคางหนา) พอจะมีคำแนะนำไหมครับ
ปัญหาของผมคือ "คางยื่น" ครับ กังวลมาตั้งแต่เด็ก ช่วงนี้หารายได้ได้แล้วเลยอยากมาศัลยกรรมครับ คิดมาตลอดว่าเป็นที่กระดูกส่วนคาง แต่พอไปปรึกษาหมอ(หมอทันตกรรม) และ X-ray ดูแล้ว กระดูกไม่ได้ยื่นเท่าไหร่ แต่สิ่งที่ทำให้คางยื่น คือชั้นเนื้อเยื่อ/กล้ามเนื้อปลายคางมันหนา
ตอนนี้เลยอยากหาคลินิกหรือโรงพยาบาลที่ถนัดเรื่องนี้ครับ หมอทันตกรรมเขาแนะนำให้หาหมอพลาสติก ซึ่งผมไม่ค่อยรู้เลยครับ รบกวนด้วยครับ