
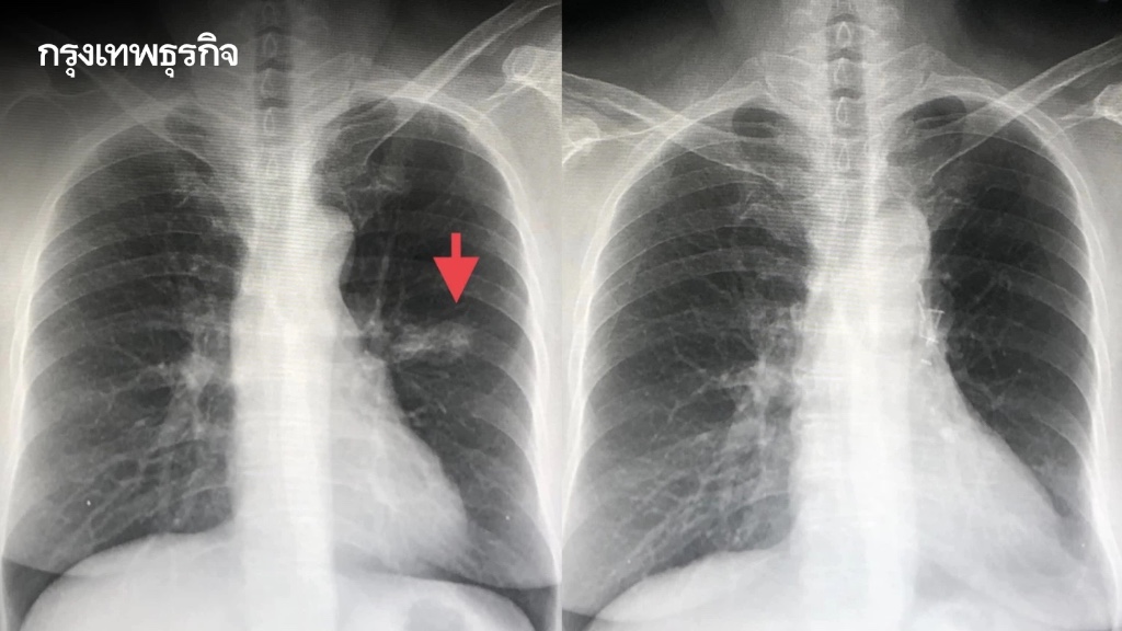
ภาพจาก : กรุงเทพธุรกิจ
ช่วงนี้หลายคนอาจโฟกัสโรคต่างๆ แต่ความจริงที่น่ากังวลคือ “โรคมะเร็ง” เพราะยังเป็นสาเหตุการเสียชีวิตอันดับ 1 ของคนไทยครับ📊ตัวเลขล่าสุด พบว่า ผู้ป่วยใหม่ในไทยประมาณ 140,000 คน/ปี (วันละเกือบ 400 คน) ผู้เสียชีวิตประมาณ 80,000–86,000 คน/ปี เฉลี่ยเท่ากับเสียชีวิตชั่วโมงละ 7–8 คน🧬โดย 3 อันดับมะเร็งที่พบบ่อยในไทยคือ มะเร็งตับและท่อน้ำดี มะเร็งปอดที่มีแนวโน้มเพิ่มขึ้น และมะเร็งลำไส้ใหญ่และไส้ตรง โดยปัจจัยหลักเกิดจากการสูบบุหรี่ ฝุ่น PM 2.5 สารก่อมะเร็ง และพันธุกรรมครับ

ภาพจาก : Pixabay
นอกจากนี้ ภาพรวมทั่วโลก พบว่า ตัวเลขยังสูง แต่มีข่าวดี เช่น ในสหรัฐอเมริกา ปี 2026 คาดว่า ผู้ป่วยใหม่ประมาณ 2.1 ล้านคน และผู้เสียชีวิตประมาณ 626,000 คน แต่อัตราการเสียชีวิตลดลงต่อเนื่อง และป้องกันการเสียชีวิตได้แล้วกว่า 4.8 ล้านคน
สาเหตุเพราะการเลิกสูบบุหรี่ ตรวจเจอเร็ว และการรักษาที่ดีขึ้นครับ

ภาพจาก : Pixabay
อนึ่ง ทำไมมะเร็งปอดยังอันตรายที่สุด แม้การรักษาจะพัฒนาขึ้นมาก โดยในปี 2026 มะเร็งปอดยังคร่าชีวิตมากกว่ามะเร็งอันดับ 2 และ 3 รวมกัน⚠️ ซึ่ง 4 ปัจจัยเสี่ยงมะเร็งปอดคือ 🚬การสูบบุหรี่และควันบุหรี่มือสอง ฝุ่น PM 2.5 ที่เป็นประเด็นใหญ่ในไทยตอนนี้ สารพิษ เช่น แร่ใยหิน ก๊าซเรดอน และพันธุกรรมครับ

ภาพจาก : Pixabay
🫁สัญญาณเตือนที่ไม่ควรมองข้าม เช่น ไอเรื้อรังเกิน 3 สัปดาห์
ไอมีเลือดปน หายใจลำบาก เจ็บหน้าอก น้ำหนักลด และเหนื่อยง่ายผิดปกติ โดยหากมีหลายข้อ แนะนำให้รีบตรวจสุขภาพครับ

ภาพจาก : กรุงเทพธุรกิจ
ดังนั้น มะเร็งยังเป็นภัยเงียบอันดับ 1 และมะเร็งปอดคือมะเร็งที่อันตรายที่สุดในตอนนี้ แต่หลายปัจจัย “ป้องกันได้” จากพฤติกรรม ไม่ว่าจะเป็นการเลิกบุหรี่ เลี่ยงฝุ่น และการตรวจสุขภาพที่อาจช่วยลดความเสี่ยงได้มากกว่าที่คิดครับ
ที่มา: สถาบันมะเร็งแห่งชาติ ; สมาคมมะเร็งแห่งอเมริกา ; ข้อมูลข่าวสุขภาพปี 2026
______________________________
💬 คำถามชวนคุยและแลกเปลี่ยนครับ :
❇️เพื่อนๆคิดว่า “PM 2.5” กระทบสุขภาพเรามากแค่ไหน ?
🚨เปิดสถิติ “มะเร็ง 2026” คนไทยป่วยวันละเกือบ 400 คน ทำไม “มะเร็งปอด” ยังคร่าชีวิตอันดับ 1 ?
ภาพจาก : กรุงเทพธุรกิจ
ช่วงนี้หลายคนอาจโฟกัสโรคต่างๆ แต่ความจริงที่น่ากังวลคือ “โรคมะเร็ง” เพราะยังเป็นสาเหตุการเสียชีวิตอันดับ 1 ของคนไทยครับ📊ตัวเลขล่าสุด พบว่า ผู้ป่วยใหม่ในไทยประมาณ 140,000 คน/ปี (วันละเกือบ 400 คน) ผู้เสียชีวิตประมาณ 80,000–86,000 คน/ปี เฉลี่ยเท่ากับเสียชีวิตชั่วโมงละ 7–8 คน🧬โดย 3 อันดับมะเร็งที่พบบ่อยในไทยคือ มะเร็งตับและท่อน้ำดี มะเร็งปอดที่มีแนวโน้มเพิ่มขึ้น และมะเร็งลำไส้ใหญ่และไส้ตรง โดยปัจจัยหลักเกิดจากการสูบบุหรี่ ฝุ่น PM 2.5 สารก่อมะเร็ง และพันธุกรรมครับ
ภาพจาก : Pixabay
นอกจากนี้ ภาพรวมทั่วโลก พบว่า ตัวเลขยังสูง แต่มีข่าวดี เช่น ในสหรัฐอเมริกา ปี 2026 คาดว่า ผู้ป่วยใหม่ประมาณ 2.1 ล้านคน และผู้เสียชีวิตประมาณ 626,000 คน แต่อัตราการเสียชีวิตลดลงต่อเนื่อง และป้องกันการเสียชีวิตได้แล้วกว่า 4.8 ล้านคน
สาเหตุเพราะการเลิกสูบบุหรี่ ตรวจเจอเร็ว และการรักษาที่ดีขึ้นครับ
ภาพจาก : Pixabay
อนึ่ง ทำไมมะเร็งปอดยังอันตรายที่สุด แม้การรักษาจะพัฒนาขึ้นมาก โดยในปี 2026 มะเร็งปอดยังคร่าชีวิตมากกว่ามะเร็งอันดับ 2 และ 3 รวมกัน⚠️ ซึ่ง 4 ปัจจัยเสี่ยงมะเร็งปอดคือ 🚬การสูบบุหรี่และควันบุหรี่มือสอง ฝุ่น PM 2.5 ที่เป็นประเด็นใหญ่ในไทยตอนนี้ สารพิษ เช่น แร่ใยหิน ก๊าซเรดอน และพันธุกรรมครับ
ภาพจาก : Pixabay
🫁สัญญาณเตือนที่ไม่ควรมองข้าม เช่น ไอเรื้อรังเกิน 3 สัปดาห์
ไอมีเลือดปน หายใจลำบาก เจ็บหน้าอก น้ำหนักลด และเหนื่อยง่ายผิดปกติ โดยหากมีหลายข้อ แนะนำให้รีบตรวจสุขภาพครับ
ภาพจาก : กรุงเทพธุรกิจ
ดังนั้น มะเร็งยังเป็นภัยเงียบอันดับ 1 และมะเร็งปอดคือมะเร็งที่อันตรายที่สุดในตอนนี้ แต่หลายปัจจัย “ป้องกันได้” จากพฤติกรรม ไม่ว่าจะเป็นการเลิกบุหรี่ เลี่ยงฝุ่น และการตรวจสุขภาพที่อาจช่วยลดความเสี่ยงได้มากกว่าที่คิดครับ
ที่มา: สถาบันมะเร็งแห่งชาติ ; สมาคมมะเร็งแห่งอเมริกา ; ข้อมูลข่าวสุขภาพปี 2026
______________________________
💬 คำถามชวนคุยและแลกเปลี่ยนครับ :
❇️เพื่อนๆคิดว่า “PM 2.5” กระทบสุขภาพเรามากแค่ไหน ?