รู้มั้ยคะ เศร้าขีดสุดจนตรอมใจตามในละคร มีจริงนะคะ
หญิง 58 ปี ไม่มีประวัติโรคประจำตัวใดๆ แน่นหน้าอก + หายใจเหนื่อย ญาติเห็นท่าไม่ดี จึงรีบพาส่งห้องฉุกเฉิน
แพทย์เห็นอาการแบบนี้ปุ๊บ แน่นอนค่ะ คิดถึงโรคหลอดเลือดหัวใจตีบ เป็นอันดับต้นๆ เลย จับติดคลื่นไฟฟ้าหัวใจก่อนเลย
คลื่นไฟฟ้าหัวใจแสดงว่าผนังกั้นหัวใจ - ผนังด้านหน้า เกือบถึงด้านซ้าย มีการขาดเลือดแบบรุนแรง (STE on V1-5) จึงรีบให้การรักษาเบื้องต้นทันที
ผลเลือดออกมาก็เป็นไปตามขาด ค่า Troponin สูงขึ้นกว่าปกติ ซึ่งสารตัวนี้ควรจะอยู่ในกล้ามเนื้อหัวใจ มันขึ้นสูงแบบนี้ แสดงว่าอาจเริ่มมีกล้ามเนื้อหัวใจขาดเลือด จนเริ่มตๅยแล้ว
.
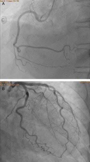
แพทย์จึงรีบปรึกษาแพทย์หัวใจ เข็นขึ้นห้องทำบอลลูน (PCI)
แต่พอฉีดสีไป ปรากฎเป็นภาพในรูปค่ะ
คือทุกเส้นปกติหมดเลยค่ะ
ไม่มีจุดตีบชัดเจน ที่อธิบายถึงอาการเลย
.
อ้าว แล้วอาการเหมือนหัวใจขาดเลือดมาจากไหน
คลื่นไฟฟ้า และผลเลือดก็บอก
.
แพทย์จึงทำเอคโค่ดูภาพการบีบตัวของหัวใจ ก็พบสาเหตุในที่สุด
- ส่วนยอดของหัวใจแทบไม่ขยับเลย
- แต่ฐานของหัวใจยังบีบได้
- เลยทำให้เวลาหัวใจบีบ ส่วนฐานที่ยังบีบได้ บีบแล้วมีการคอดลง แต่ส่วนยอดที่บีบไม่ได้เลยโป่งขึ้น (Apical ballooning) รูปร่างออกมาคล้าย ‘ไหปลาหมึกญี่ปุ่น’ (Takotsubo)
นี่มันลักษณะของหัวใจที่โดน ฮอร์โมน adrenaline สาดกระหน่ำแบบรุนแรง จนหลอดเลือดหัวใจหดเกร็ง + ก่อพิษต่อกล้ามเนื้อหัวใจโดยตรง ซึ่งมักจะเล่นงานเด่นที่ยอดหัวใจ (Apex)
.
แล้วอะไรล่ะที่ทำให้ฮอร์โมนแห่งความเครียด
อย่าง adrenaline กระหน่ำใส่ผู้ป่วยรายนี้?
“เดือนที่แล้ว ดิฉันเพิ่งเสียพ่อแม่ไปค่ะ ตอนนี้ยังทำใจไม่ได้เลย”
วิกฤติยังไม่จบ วันต่อมาใน รพ. หัวใจที่เคยขาดเลือดจากความเครียดรุนแรง ได้เกิดผลกระทบแล้ว หัวใจห้องล่างซ้ายบีบตัวเริ่มไม่ไหว น้ำเริ่มท่วมปอด หายใจเหนื่อยรุนแรงขึ้น ค่าที่แสดงว่าหัวใจโดนยืด (NT-proBNP) สูงขึ้น
แพทย์ได้รักษาอย่างเต็มที่ แล้วอาการก็ดีขึ้นเรื่อยๆ
จนในที่สุดก็หายเหนื่อยค่ะ
.
.
โรคนี้มีชื่อว่า Broken heart syndrome
หรือตั้งตามลักษณะหัวใจว่า Takotsubo cardiomyopathy
ไม่ใช่ทุกคนที่เครียดรุนแรงจะเป็นทุกคน
แต่หัวใจเองมักจะมีความเสี่ยงรอไว้อยู่แล้ว ซึ่งเชื่อว่าเป็นมาจากพันธุกรรม ร่วมกับปัจจัยทางร่างกายอื่นๆ โดยเฉพาะหญิงหลังหมดประจำเดือนจะยิ่งเสี่ยงมากขึ้น
แต่อย่างไรก็ตามเราไม่มีทางรู้ว่าพันธุกรรมเรารับอะไรมาบ้าง สุขภาพจิตคือสิ่งที่สำคัญมากๆ เลยนะคะ อย่าลืมดูแลสุขภาพจิตเสมอนะคะ
.
ปล. เคสนี้จริงๆ work up เยอะค่ะ เพื่อค้นหาสาเหตุอื่นที่ทำให้มี Catecholamine surge ด้วย เช่นเนื้องอก Pheochromocytoma
CR
https://www.facebook.com/share/14QyeGPHK9j/?mibextid=wwXIfr
มารู้จักกับ Broken heart syndrome หรือตั้งตามลักษณะหัวใจว่า Takotsubo cardiomyopathy❤️🩹
หญิง 58 ปี ไม่มีประวัติโรคประจำตัวใดๆ แน่นหน้าอก + หายใจเหนื่อย ญาติเห็นท่าไม่ดี จึงรีบพาส่งห้องฉุกเฉิน
แพทย์เห็นอาการแบบนี้ปุ๊บ แน่นอนค่ะ คิดถึงโรคหลอดเลือดหัวใจตีบ เป็นอันดับต้นๆ เลย จับติดคลื่นไฟฟ้าหัวใจก่อนเลย
คลื่นไฟฟ้าหัวใจแสดงว่าผนังกั้นหัวใจ - ผนังด้านหน้า เกือบถึงด้านซ้าย มีการขาดเลือดแบบรุนแรง (STE on V1-5) จึงรีบให้การรักษาเบื้องต้นทันที
ผลเลือดออกมาก็เป็นไปตามขาด ค่า Troponin สูงขึ้นกว่าปกติ ซึ่งสารตัวนี้ควรจะอยู่ในกล้ามเนื้อหัวใจ มันขึ้นสูงแบบนี้ แสดงว่าอาจเริ่มมีกล้ามเนื้อหัวใจขาดเลือด จนเริ่มตๅยแล้ว
.
แพทย์จึงรีบปรึกษาแพทย์หัวใจ เข็นขึ้นห้องทำบอลลูน (PCI)
แต่พอฉีดสีไป ปรากฎเป็นภาพในรูปค่ะ
คือทุกเส้นปกติหมดเลยค่ะ
ไม่มีจุดตีบชัดเจน ที่อธิบายถึงอาการเลย
.
อ้าว แล้วอาการเหมือนหัวใจขาดเลือดมาจากไหน
คลื่นไฟฟ้า และผลเลือดก็บอก
.
แพทย์จึงทำเอคโค่ดูภาพการบีบตัวของหัวใจ ก็พบสาเหตุในที่สุด
- ส่วนยอดของหัวใจแทบไม่ขยับเลย
- แต่ฐานของหัวใจยังบีบได้
- เลยทำให้เวลาหัวใจบีบ ส่วนฐานที่ยังบีบได้ บีบแล้วมีการคอดลง แต่ส่วนยอดที่บีบไม่ได้เลยโป่งขึ้น (Apical ballooning) รูปร่างออกมาคล้าย ‘ไหปลาหมึกญี่ปุ่น’ (Takotsubo)
นี่มันลักษณะของหัวใจที่โดน ฮอร์โมน adrenaline สาดกระหน่ำแบบรุนแรง จนหลอดเลือดหัวใจหดเกร็ง + ก่อพิษต่อกล้ามเนื้อหัวใจโดยตรง ซึ่งมักจะเล่นงานเด่นที่ยอดหัวใจ (Apex)
.
แล้วอะไรล่ะที่ทำให้ฮอร์โมนแห่งความเครียด
อย่าง adrenaline กระหน่ำใส่ผู้ป่วยรายนี้?
“เดือนที่แล้ว ดิฉันเพิ่งเสียพ่อแม่ไปค่ะ ตอนนี้ยังทำใจไม่ได้เลย”
วิกฤติยังไม่จบ วันต่อมาใน รพ. หัวใจที่เคยขาดเลือดจากความเครียดรุนแรง ได้เกิดผลกระทบแล้ว หัวใจห้องล่างซ้ายบีบตัวเริ่มไม่ไหว น้ำเริ่มท่วมปอด หายใจเหนื่อยรุนแรงขึ้น ค่าที่แสดงว่าหัวใจโดนยืด (NT-proBNP) สูงขึ้น
แพทย์ได้รักษาอย่างเต็มที่ แล้วอาการก็ดีขึ้นเรื่อยๆ
จนในที่สุดก็หายเหนื่อยค่ะ
.
.
โรคนี้มีชื่อว่า Broken heart syndrome
หรือตั้งตามลักษณะหัวใจว่า Takotsubo cardiomyopathy
ไม่ใช่ทุกคนที่เครียดรุนแรงจะเป็นทุกคน
แต่หัวใจเองมักจะมีความเสี่ยงรอไว้อยู่แล้ว ซึ่งเชื่อว่าเป็นมาจากพันธุกรรม ร่วมกับปัจจัยทางร่างกายอื่นๆ โดยเฉพาะหญิงหลังหมดประจำเดือนจะยิ่งเสี่ยงมากขึ้น
แต่อย่างไรก็ตามเราไม่มีทางรู้ว่าพันธุกรรมเรารับอะไรมาบ้าง สุขภาพจิตคือสิ่งที่สำคัญมากๆ เลยนะคะ อย่าลืมดูแลสุขภาพจิตเสมอนะคะ
.
ปล. เคสนี้จริงๆ work up เยอะค่ะ เพื่อค้นหาสาเหตุอื่นที่ทำให้มี Catecholamine surge ด้วย เช่นเนื้องอก Pheochromocytoma
CR https://www.facebook.com/share/14QyeGPHK9j/?mibextid=wwXIfr