ข่าวพบรังหนอนในโพรงฟัน มันก็ทำให้นึกถึงนักอมน้ำเกลือในตำนาน ที่ฟันมีการผุจนเป็นโพรงใหญ่ในทั้งสองข้าง

เจ้าหน้าที่แผนกทันตกรรม โรงพยาบาลพระพรหม จ.นครศรีธรรมราช ออกตรวจเยี่ยมผู้ป่วยติดเตียง มีไข้ขึ้นสูง เหงือกบวม 
จากนั้นทีมแพทย์เรียกรถพยาบาลเพื่อนำมารักษาต่อที่โรงพยาบาล เมื่อถอนฟันพบรังหนอนนับ 10 ตัวในโพรงฟัน 
เตือนสำหรับคนดูแลผู้ป่วยติดเตียงอย่าให้คนไข้นอนอ้าปาก แมลงวันจะทำรัง
                  อ่านข่าวทั้งหมดได้ที่
https://mgronline.com/onlinesection/detail/9630000047510

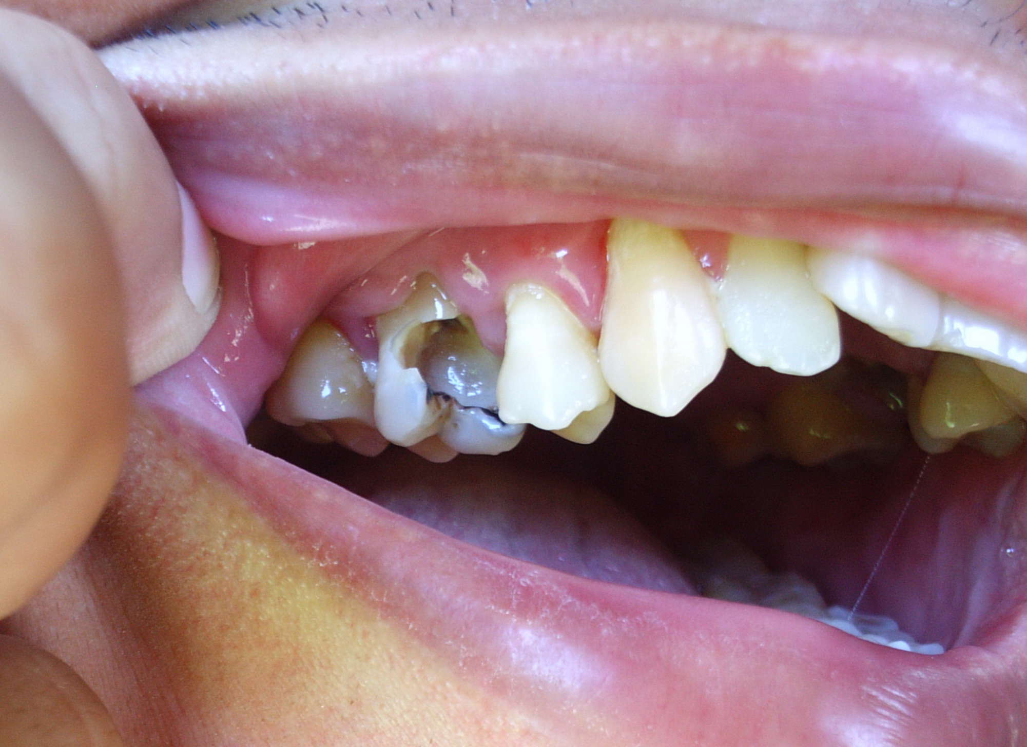
 ภาพฟันของนักอมน้ำเกลือในตำนาน
[Spoil] คลิกเพื่อดูข้อความที่ซ่อนไว้
แก้ไขข้อความเมื่อ
แสดงความคิดเห็น
โปรดศึกษาและยอมรับนโยบายข้อมูลส่วนบุคคลก่อนเริ่มใช้งาน อ่านเพิ่มเติมได้ที่นี่