ผมกระดูกสันหลังบริเวณทรวงอกคด 33 องศา เอว 27 องศา โอกาสรอดเกณฑ์ทหารมากน้อยเเค่ไหนครับ

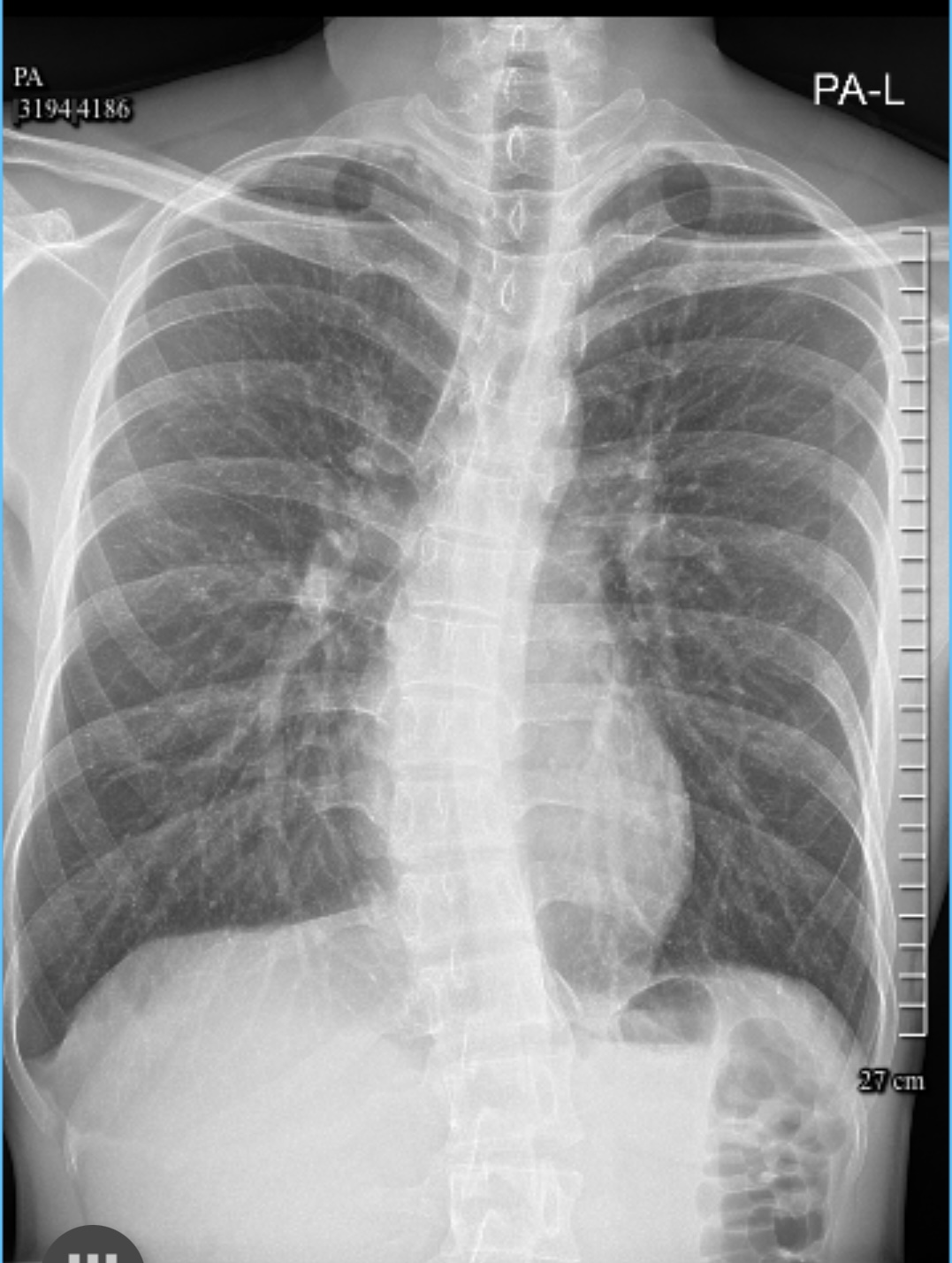
สวัสดีทุกคนครับ 🙏🏻เมื่อวานนี้ ผมเพิ่งไปตรวจที่ รพ.รัฐ(มหาราชนครเชียงใหม่) เนื่องจากมีอาการปวดร้าวลงขา เเละชาบริเวณก้น+รอบๆรูทวาร เพราะช่วง2-3เดือนที่ผ่านมา ไปฝึกงานเเล้วได้ยืนเกือบตลอดทั้งวัน วันละประมาณ7-8ชม เเล้วก็มีอาการปวดหลังเรื้อรังมานานเเล้วครับ นั่งนานๆประมาณ2ชม ก็จะเริ่มปวดหลังล่างมากๆ  เดิมมีประวัติกระดูกสันหลังคดมาหลายปีเเล้ว(เเต่ไม่เคยรักษา) หมอทำ Whole spine x-ray เเละวัดองศาความคด บริเวณทรวงอกคด 33 องศา เอว 27 องศา ออกใบรับรองเเพทย์มาให้ พร้อมกับ CD-X-ray หมอให้ยามากินเเละสั่งจองคิวทำ MRI น่าจะได้คิว2-3เดือน ในใบสั่ง MRI ระบุว่าเป็น หมอนรองกระดูกสันหลังทับเส้นประสาท(HNP Lumbar) เเต่ว่าในใบรับรองเเพทย์ระบุเเค่ตามรูปนี้ (เพราะยังไม่มีผล MRI มายืนยัน) สรุปเอกสารที่ผมมีตอนนี่คือ
1.ใบรับรองเเพทย์
2.CD-x-ray
3.ใบสั่งทำ MRI (ที่ระบุหมอนรองกระดูกสันหลังทับเส้นประสาท) --> รอเอาไปยื่นจองคิวอีกทีอาทิตย์หน้า (ผมว่าจะเอาไปให้ที่ รพ.ทหาร(ค่ายกาวิละ) ดูประกอบด้วยครับ
4.สด9, สด35

ถ้าผมเอาเอกสารพวกนี้ไปที่ รพ.ทหาร(ค่ายกาวิละ) ให้เเพทย์ทหารออกใบรับรอง จะเป็นยังไงบ้างครับ เเละเมษา69 นี้ไปคัดเลือกทหาร ผมจะได้เป็นคนจำพวกที่ 2หรือ4 ไหมครับ (ถ้าถอดเสื้อดูภายนอกดีๆจะเห็นว่าเอวมันไม่เท่ากันอยู่ครับ เเต่ว่าต้องดูดีๆถึงจะเห็นครับ)

สรุป ผมมีโอกาสรอดจากทหารมากน้อยเเค่ไหนครับ

ขอขอบพระคุณทุกความคิดเห็นล่วงหน้านะครับ🙏🏻☺️
ความคิดเห็นจาก Expert Account
ความคิดเห็นที่ 1
ถ้าเอาผลตรวจไปขอใบรับรองแพทย์ที่รพ.ทหาร

1) ถ้ายังไม่ได้ทำ MRI -> ต้องไปทำ MRI ยืนยันการวินิจฉัยก่อน ไม่เช่นนั้นออกใบรับรองแพทย์ “หมอนรองกระดูกกดทันเส้นประสาท” ไม่ได้

2) ถ้ากระดูกสันหลังคด รพ.ทหารพิจารณาหลักฐานซ้ำแล้ว เห็นด้วย -> เป็นคนจำพวกที่ 4

- อันนี้รพ.ค่ายกาวิละจะสามารถออกใบรับรองแพทย์คนจำพวกที่ 4 ให้ได้
แสดงความคิดเห็น
โปรดศึกษาและยอมรับนโยบายข้อมูลส่วนบุคคลก่อนเริ่มใช้งาน อ่านเพิ่มเติมได้ที่นี่