หน้าแรก
คอมมูนิตี้
ห้อง
แท็ก
คลับ
ห้อง
แก้ไขปักหมุด
ดูทั้งหมด
เกิดข้อผิดพลาดบางอย่าง
ลองใหม่
แท็ก
แก้ไขปักหมุด
ดูเพิ่มเติม
เกิดข้อผิดพลาดบางอย่าง
ลองใหม่
{room_name}
{name}
{description}
กิจกรรม
แลกพอยต์
อื่นๆ
ตั้งกระทู้
เข้าสู่ระบบ / สมัครสมาชิก
เว็บไซต์ในเครือ
Bloggang
Pantown
PantipMarket
Maggang
ติดตามพันทิป
ดาวน์โหลดได้แล้ววันนี้
เกี่ยวกับเรา
กฎ กติกา และมารยาท
คำแนะนำการโพสต์แสดงความเห็น
นโยบายเกี่ยวกับข้อมูลส่วนบุคคล
สิทธิ์การใช้งานของสมาชิก
ติดต่อทีมงาน Pantip
ติดต่อลงโฆษณา
ร่วมงานกับ Pantip
Download App Pantip
Pantip Certified Developer
ภายในหูเป็นแบบนี้ปกติไหม
กระทู้คำถาม
แพทย์
การแพทย์
การแพทย์แผนปัจจุบัน
การแพทย์ผสมผสาน
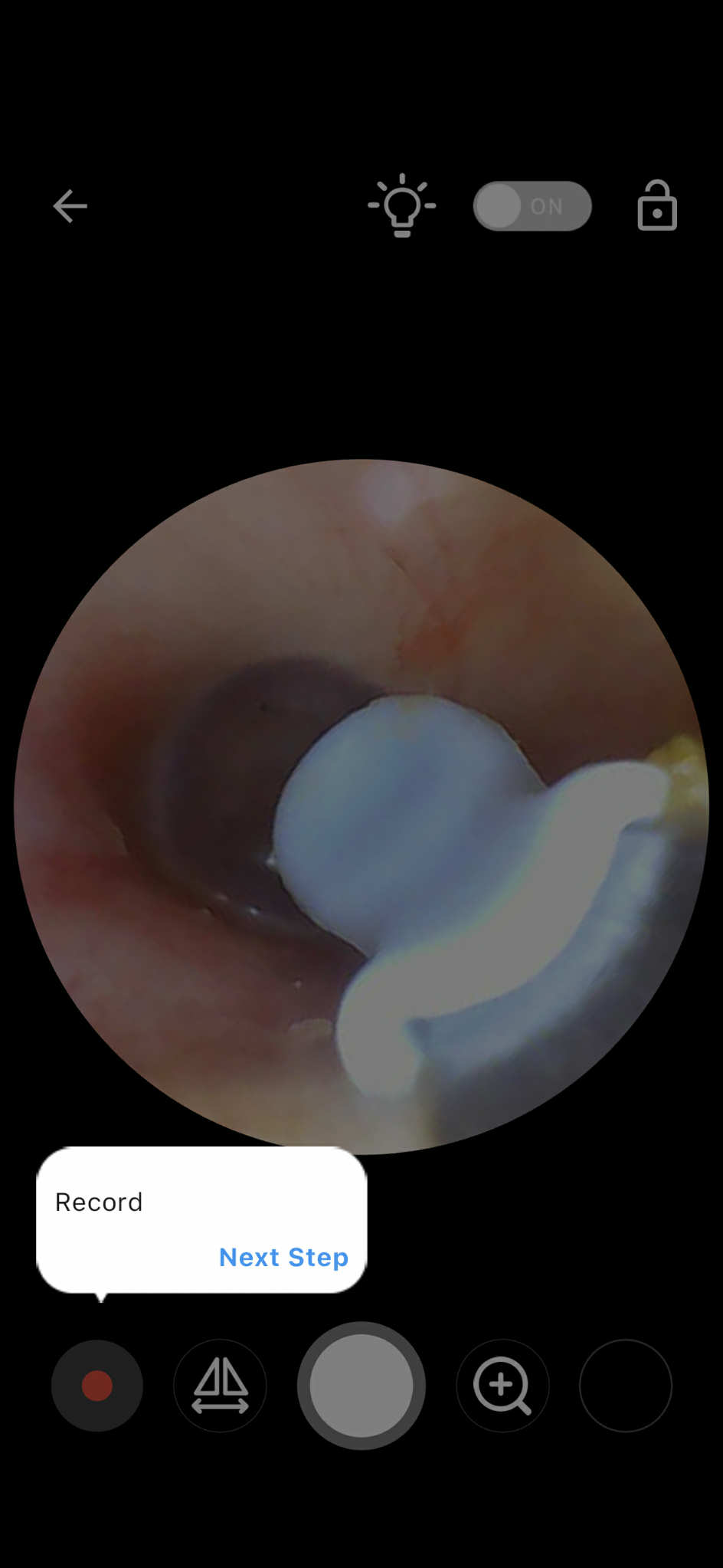
เรามีน้ำไหลออกจากหูตอนตื่นแต่ไม่ทุกครั้ง ตอนกินอาหาร ผลไม้ต่างๆเป็นช่วงต้นปีจนถึงตอนนี้ แต่มาทำงานได้เกือบเดือนต้องใส่แมสแล้วมันปวดหูมากกกปวดด้านนอกด้านในแก้วหู พึ่งได้ไปหาหมอแต่ไปห้องฉุกเฉินหมอบอกว่าปกติแต่ถ้ามีอาการอีกแนะนำให้ไปหาหมอหูเฉพาะทาง แต่อันนี้คือปกติมั้ยนะ(ส่องเองเอารูปให้หมอดูแล้ว)เหมือนมีน้ำข้างในหรือทุกคนก็เป็นแบบนี้คะ
▼
กำลังโหลดข้อมูล...
▼
แสดงความคิดเห็น
กระทู้ที่คุณอาจสนใจ
อาการหูอื้อมีน้ำไหลตลอดหลังเป็นเชื้อราในหู ควรทำยังไงคะ?
สวัสดีค่ะ ต้องบอกก่อนว่าเคยหูชั้นนอกอักเสบมาแล้วสามเดือนก่อนหน้านี้ พอมาครั้งนี้เริ่มจากเรามีอาการปวดหูแบบหูเต้นตุ้บๆด้านในและมีหนองไหลออกมาหูอื้อๆตันๆเหมือนมีอ
สมาชิกหมายเลข 2652534
มีเสียงในหูตลอด จะหายขาดไหม?
หนูมีปัญหาเกี่ยวกับหูค่ะ จริงๆเป็นหูชั้นนอกอักเสบมาแล้วสองครั้ง เพราะชอบปั่นหู ครั้งนี้ปั่นอีกแล้วอาการมันไม่เหมือนเดิม อาการคือมีเสียงดังในหูค่ะ แล้วหลังจากเป็
สมาชิกหมายเลข 6763051
ไม่รู้ว่าเป็นไซนัสมั้ยหาหมอทุก รพ.ก็ไม่ได้รับการยืนยัน
ก่อนหน้านี้เราเคยตั้งกระทู้ไปแล้วการปวดเราไม่ดีขึ้นเลย จะปวดมากหลังจากตื่นนอนเวลาปกติก็ปวดแบบรำคาญ เวลานอนสะดุงตื่นเพราะหายใจไม่ออกข้างเดียวไปหาหมอมาเยอะหมดตังไ
สมาชิกหมายเลข 2146487
คิดว่าน่าจะขี้หูอุดตันแต่อาการดีขึ้นแล้วต้องไปหาหมอมั้ยคะ
คือเราปวดหูมากในวันแรก วันที่2มีอาการหูอื้อปวดกรามและปวดหูเหมือนกัน เลยตัดสินใจไปหาหมอ หมอให้ยาปฏิชีวนะมากิน 5วัน และยาหยอดหูที่ทำให้ขี้หูนุ่ม หมอบอกถ้า5วันไม่ด
สมาชิกหมายเลข 5276489
ปวดหัวมาก+เสียงวี๊ดในหู บางครั้งคล้ายจิ้งหรีดร้อง
เราปวดหัวมากตุบๆเลยบวกกับได้ยินเสียงวี๊ดในหูดังมายิ่งทำให้ปวด ไปหาหมอ หมอบอกว่ามีเศษสำลีในหูอาจจะปั่นแรง ใช้ที่ปั่นหูไม่ดีหมอก็เอาออกให้ แต่เราก็บอกว่าแต่เสียงว
สมาชิกหมายเลข 5072626
เมื่อหมอ รพ เอกชน มีค่าสอบถามทางโทรศัพท์ 500 บาท ปกติไหม
สมาชิกหมายเลข 780013
<<แชร์ประสบการณ์ทำ MRI ครั้งแรกในชีวิต นอนนิ่งๆในอุโมงค์เป็นเวลา 1ชั่วโมงเกือบครึ่ง>>
<<แชร์ประสบการณ์ทำ MRI ครั้งแรกในชีวิต นอนนิ่งๆในอุโมงค์เป็นเวลา 1ชั่วโมงเกือบครึ่ง...ไม่เป็นอย่างที่คิดไว้>> เราเจ็บสะโพกขวามากปวดชนิดที่ว่ากินยาแก
โอ ติ๊ง ต่อง
เตือนสติ ... ไป รพ.เอกชนอย่าเพิ่งบอกว่ามีประกันสุขภาพนะ
เตือนสติ ... ไป รพ.เอกชนอย่าเพิ่งบอกว่ามีประกันสุขภาพนะ ใจเย็นๆ คุยกับหมอแล้วดูให้ดีๆ ก่อน อย่าเพิ่งโชว์พาว คืนวันศุกร์ก่อนเข้าเทศกาลฯ ผมกับลูกชายวัย 24 เป็นหวั
norapob
คนเรียนเป็นหมอ เป็นแพทย์หญิง เคยใช้ชีวิต One Night Stand ด้วยเหรอ?
ตกใจมาก ๆ กับคอมเมนท์หนึ่ง ของกระทู้นี้ https://pantip.com/topic/37733470 กับความเห็นที่ 11 เค้าบอกประมาณว่า "มีนักเรียนแพทย์ มีผช.ตลอดไม่ขาดช่วง เพียงแต่พ
สมาชิกหมายเลข 3641240
สิทธิ์รักษาประกันสังคม ผลเลือด Uric Acid = 7.9 เกินเกณฑ์มา 0.9 ปกติคุณหมอต้องให้ยารักษาไหมครับ
ขออภัยในความไม่รู้จริงๆ ครับ ถ้าผมถามแปลกๆ ก็ขออภัยล่วงหน้าครับ ผมใช้สิทธิ์ประกันสังคม คุณหมอก็นัดตรวจตามนัดครับ มีเจาะเลือด แล้วก็พบคุณหมอ ผมก็กลับบ้านมา เห็นใ
GODBABY
อ่านกระทู้อื่นที่พูดคุยเกี่ยวกับ
แพทย์
การแพทย์
การแพทย์แผนปัจจุบัน
การแพทย์ผสมผสาน
บนสุด
ล่างสุด
อ่านเฉพาะข้อความเจ้าของกระทู้
หน้า:
หน้า
จาก
แชร์ :
โปรดศึกษาและยอมรับนโยบายข้อมูลส่วนบุคคลก่อนเริ่มใช้งาน
อ่านเพิ่มเติมได้ที่นี่
ยอมรับ
ภายในหูเป็นแบบนี้ปกติไหม