หน้าแรก
คอมมูนิตี้
ห้อง
แท็ก
คลับ
ห้อง
แก้ไขปักหมุด
ดูทั้งหมด
เกิดข้อผิดพลาดบางอย่าง
ลองใหม่
แท็ก
แก้ไขปักหมุด
ดูเพิ่มเติม
เกิดข้อผิดพลาดบางอย่าง
ลองใหม่
{room_name}
{name}
{description}
กิจกรรม
แลกพอยต์
อื่นๆ
ตั้งกระทู้
เข้าสู่ระบบ / สมัครสมาชิก
เว็บไซต์ในเครือ
Bloggang
Pantown
PantipMarket
Maggang
ติดตามพันทิป
ดาวน์โหลดได้แล้ววันนี้
เกี่ยวกับเรา
กฎ กติกา และมารยาท
คำแนะนำการโพสต์แสดงความเห็น
นโยบายเกี่ยวกับข้อมูลส่วนบุคคล
สิทธิ์การใช้งานของสมาชิก
ติดต่อทีมงาน Pantip
ติดต่อลงโฆษณา
ร่วมงานกับ Pantip
Download App Pantip
Pantip Certified Developer
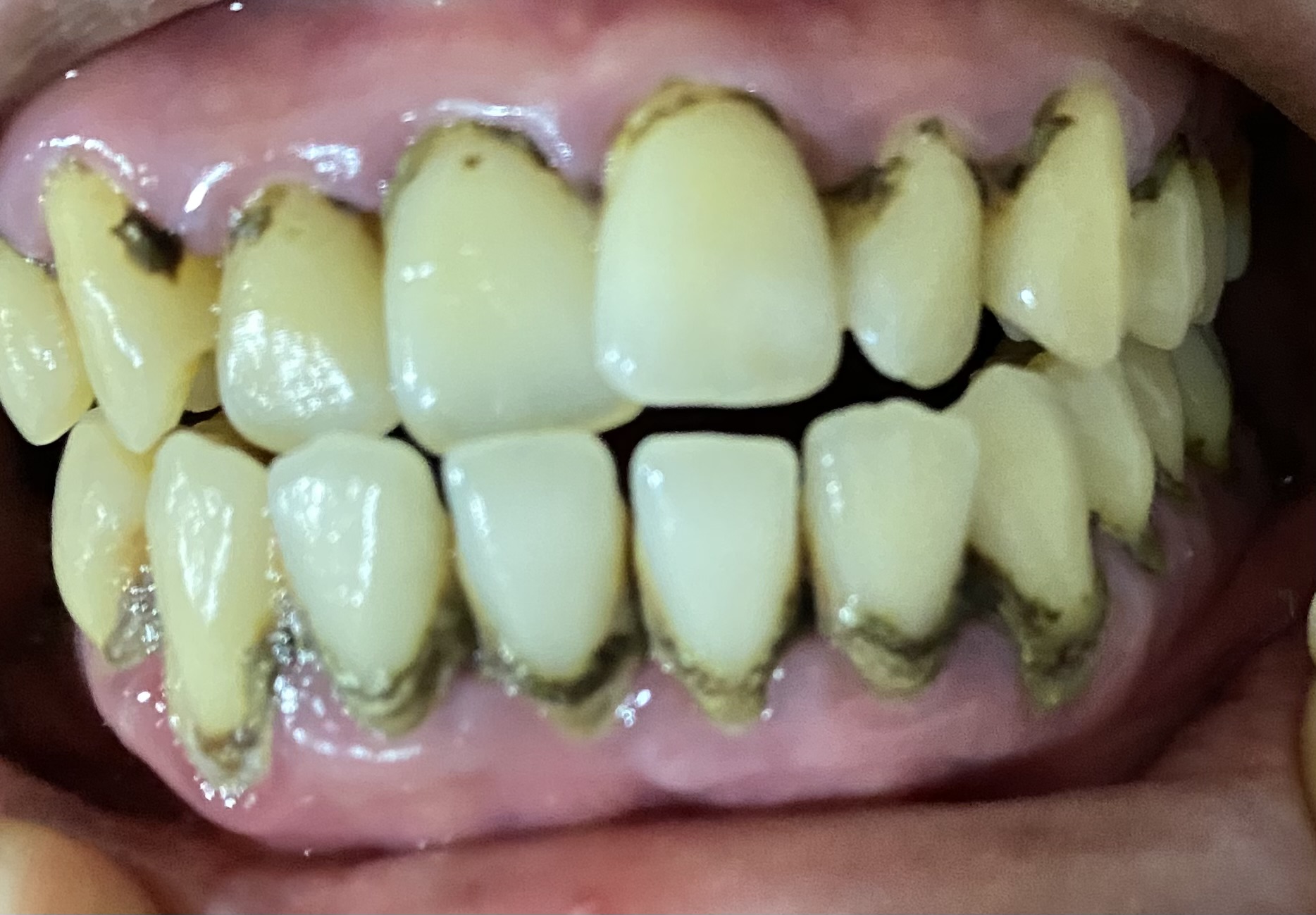
สอบถามผู้รู้หรือคุณหมอฟัน ถ้าฟันเป็นโรคปริทันต์ และมีหินปูนแบบนี้รักษาที่คลินิกทั่วไปได้ไหม แล้วต้องถอนฟันทิ้งหมดไหม
กระทู้คำถาม
ทันตกรรม
ทันตแพทย์
แพทย์
คลินิกทันตกรรม
คณะทันตแพทยศาสตร์
▼
กำลังโหลดข้อมูล...
▼
แสดงความคิดเห็น
กระทู้ที่คุณอาจสนใจ
ขูดหินปูน ราคาเท่าไหร่เมื่อมีคราบลึก เหงือกบวม หรือฟันเสียว
เวลาไปทำฟัน หลายคนคงเคยสงสัยว่า ขูดหินปูน ราคาเท่าไหร่ ทำไมจ่ายไม่เคยเท่าเพื่อน? กระทู้นี้จะมาไขข้อข้องใจครับว่า สภาพช่องปากที่ต่างกัน โดยเฉพาะคนที่มีปัญหาคราบฝังลึก เหงือกบวม หรือฟันเสียวจี๊ดๆ ส่งผลต
Heysmile Dental Clinic
ขูดหินปูน ราคาต่างกันเพราะอะไร หมออธิบายทุกปัจจัยแบบชัดเจน
หลายคนอาจเคยสงสัยว่า ทำไมเวลาไปทำฟัน ขูดหินปูน ราคา ของแต่ละคลินิกถึงต่างกันลิบลับ บางที่หลักร้อย บางที่หลักพัน จนสับสนว่าจริงๆ แล้วมาตรฐานควรอยู่ที่เท่าไหร่? กระทู้นี้จะมาสรุปให้ฟังชัดๆ ครับว่า ต้นทุ
Heysmile Dental Clinic
จัดฟันเหลือกันกี่ซี่
วันนี้ไปหาหมอมา แล้วดึงยางเกินที่หมอให้ดึง ทำให้ฟันด้านซ้ายงุ้มเข้ามากเกินไป หมอจึงติดเครื่องมือข้างในอีก2ตัวเพื่อดึงให้ออกมา แต่หมอบอกว่าถ้าแก้ไม่ได้ต้องถอนข้างด้านล่างอีก2ซี่(หมอแจ้งว่ามันเป็นฟันขุด
สมาชิกหมายเลข 3877956
ที่วงกลมสีแดงไว้คือฟันคุดใช่ไหมคะ?
สวัสดีค่ะ อยากทราบว่าฟันซี่ที่วงกลมสีแดงไว้คือฟันคุดหรือเปล่าคะ ตอนนี้มีอาการเหงือกบวมและปวดฟันมากๆ แต่ไม่แน่ใจว่าฟันคุดคือซี่ที่วงไว้ซึ่งขึ้นพ้นเหงือกเกือบหมดแล้ว หรือมีอีกซี่อยู่ถัดไปด้านใน หากที่วง
สมาชิกหมายเลข 9178580
ครอบฟัน โรงพยาบาลรัฐ ราคาเท่าไหร่?
สวัสดีค่ะ เรากำลังจะไปทำครอบฟันที่โรงพยาบาลรัฐแห่งหนึ่ง แต่อยากทราบราคาค่ะ คุณหมอเคยบอกราคามาแล้ว แต่เราฟังไม่ชัดค่ะ เลยอยากมาถามเพื่อนๆอีกรอบ
สมาชิกหมายเลข 7535730
ถ้าอุดฟันเสร็จต้องบ้วนน้ำหรือไม่
คือผมไปหาหมอฟัน เพื่อทำการอุดฟันที่ผุมาครับ ตอนทำฟันก็ทำเหมือนอุดฟันปกติ ก็มีให้ลุกขึ้นมาบ้วนปากเป็นครั้งเป็นคราวเหมือนที่เคยทำ แต่ประเด็นคือผมเป็นพวกทำฟันแล้วเพลินจนสมองเหมือนพักผ่อน(ในห้องมันเย็น ๆ
สมาชิกหมายเลข 6818757
อยากติดหมอ ม.รังสิต ต้องรู้! FAQ เจาะลึกรับตรงแบบตัวมัม!
น้องๆ คนไหนที่กำลังเล็ง คณะแพทยศาสตร์ ทันตแพทยศาสตร์ และเภสัชศาสตร์ ม.รังสิต รอบรับตรงอยู่บ้าง? บอกเลยว่าสนามนี้ไม่ได้ยากอย่างที่คิดถ้าเรามีเทคนิคและข้อมูลที่เป๊ะ! วันนี้พี่ๆ MSTMED รวบรวมคำถามท
สมาชิกหมายเลข 9260029
เด็กอายุ14หางานทำเพื่อจัดฟันได้ไหม
สวัสดีค่ะ หนูอายุ14 ตอนนี้เป็นช่วงปิดเทอมหนูอยากหารายได้เพื่อจัดฟัน เพราะครอบครัวหนูบอกตรงๆ ตอนนี้มีปัญหามากๆ จากผลกระทบต่างๆหนูเชื่อว่าหลายครอบครัวคงมีปัญหาเหมือนกัน หนูเลยอยากหารายได้เพื่อทำในสิ่งที
สมาชิกหมายเลข 9107358
ขอความรู้เกี่ยวกับใบตรวจฟันครับ
ในใบตรวจฟันที่คุณหมอให้มา มีตัวอักษรภาษาอังกฤษ อยากรู้ว่าซี่ไหนต้องอุด (แล้วอุดกี่ด้านครับ) 1 ซี่ OLD / 1 ซี่ D / 1 ซี่ B / 1 ซี่ OD / 1 ซี่ DB ขอบคุณล่วงหน้าครับ
สมาชิกหมายเลข 9297642
ถ้าเราไปขูดหินปูนเป็นประจำ แต่ขูดไม่สะอาด จะเกิดอะไรขึ้นบ้างครับ
ปกคิ หมอฟันจะแนะนำให้ขูดหินปูน อย่างน้อยปีละ 1 ครั้ง แต่ถ้าเราไปขูดเป็นประจำทุกปี แล้ว ถ้าบางปี หมอฟันที่ขูดไม่ใช่คนเดิม สงสัยว่า ถ้าขูดหินปูนไม่สะอาด จะเกิดอะไรขึ้นไหมครับ ในระยะยาว
สมาชิกหมายเลข 5140212
อ่านกระทู้อื่นที่พูดคุยเกี่ยวกับ
ทันตกรรม
ทันตแพทย์
แพทย์
คลินิกทันตกรรม
คณะทันตแพทยศาสตร์
บนสุด
ล่างสุด
อ่านเฉพาะข้อความเจ้าของกระทู้
หน้า:
หน้า
จาก
แชร์ :
โปรดศึกษาและยอมรับนโยบายข้อมูลส่วนบุคคลก่อนเริ่มใช้งาน
อ่านเพิ่มเติมได้ที่นี่
ยอมรับ
สอบถามผู้รู้หรือคุณหมอฟัน ถ้าฟันเป็นโรคปริทันต์ และมีหินปูนแบบนี้รักษาที่คลินิกทั่วไปได้ไหม แล้วต้องถอนฟันทิ้งหมดไหม