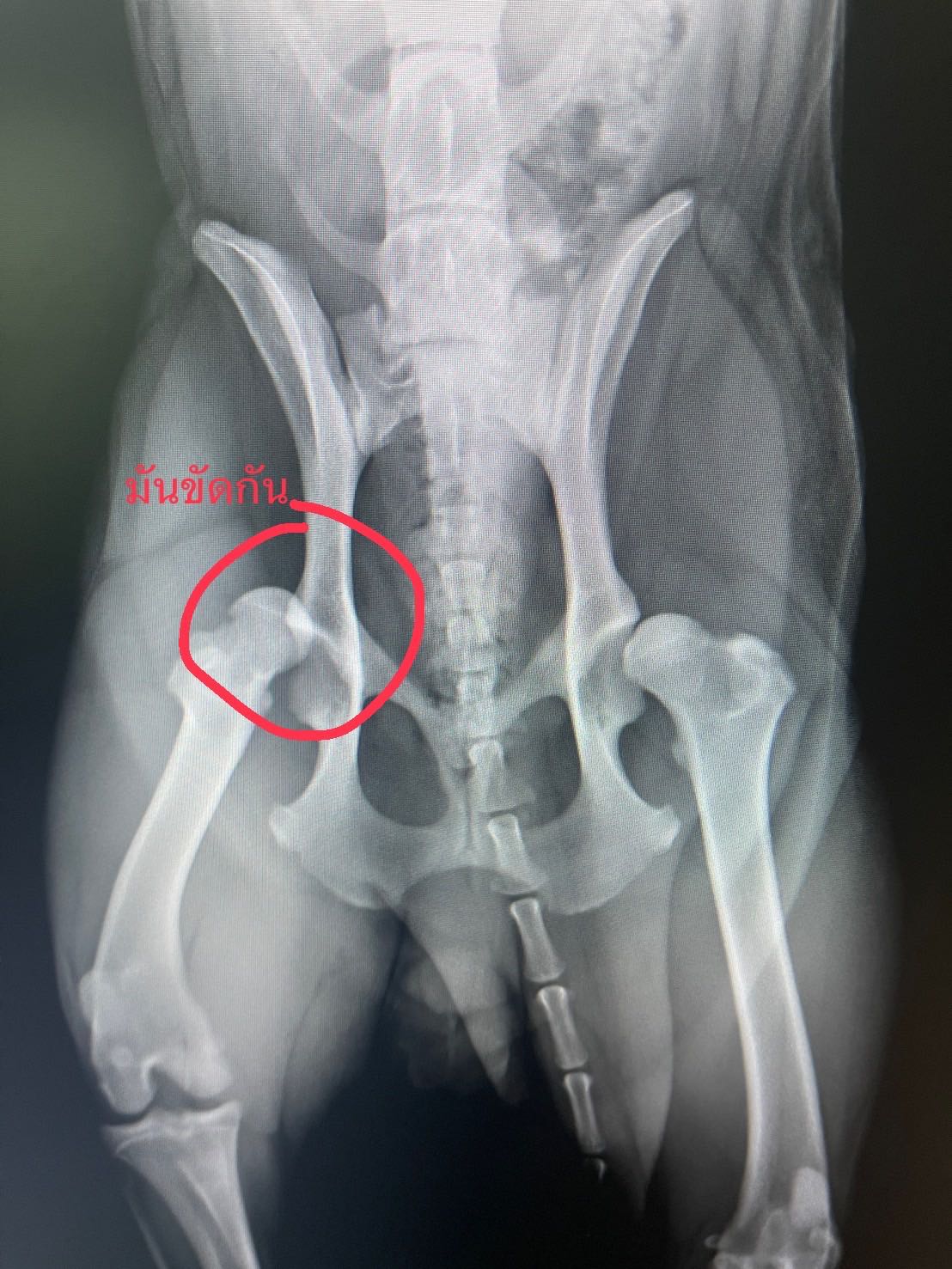
วันศุกร์ที่ 28 ที่ผ่านมาน้องหมาเรากระโดดขึ้นเตียงเพราะวิ่งเล่น แต่ก้าวไม่พ้นขอบเตียง ร่วงจากเตียงจนช่วงสะโพกกระแทกพื้น สะโพกหลุด แต่ไม่มีกระดูกร้าวหรือแตกนะคะ
ในวันแรก รีบพาไป รพ.สัตว์ใกล้บ้าน หมอตรวจเบื้องต้น ได้ฟิล์ม x-ray มา
** หมอรพ.แรกแนะนำว่า เหตุเพิ่งเกิด ให้หมอกระดูกวางยาแล้วสามารถดันกลับได้ จากนั้นบล็อกขา งดเคลื่อนไหวแรงๆได้ ไม่ต้องผ่าตัด จากนั้นหมอเขียนไปส่งตัว ส่งต่อไป รพ.ที่2 เพราะมีแพทย์เฉพาะทางกระดูก
** แพทย์ที่รพ.ที่2 แนะนำวิธีการรักษามา 2 แบบ
1. ผ่าตัดหัวกระดูกทิ้ง จากนั้นทำกายภาพ รอกล้ามเนื้อช่วยพยุงเอง
- วิธีนี้ใช้เวลาฟื้นตัวนาน กว่าจะกลับมาเดินได้ กายภาพบวกฟื้นตัวใช้เวลาประมาณ 4 เดือน
- ราคา 3x,000 บาท (ไม่รวมค่ากายภาพภายหลัง)
2. ผ่าตัดเปลี่ยนข้อกระดูกเทียม ในระยะยาวใช้งานดีขึ้น
- ใช้เวลาพักฟื้นสั้นกว่า แต่ก็ต้องกายภาพร่วม
- ราคา 160,000 บาท (รวมค่าผ่า ค่าพักฟื้น ค่ากายภาพ)
หมอคนที่สองบอกว่า ยังไงก็ต้องผ่า การผ่าตัดจะเป็นผลดีกับตัวน้องในระยะยาวมากกว่า
** แต่เราไม่มีเงิน ผ่าแบบแรกก็เสี่ยงเกินไป สงสารน้องมาก ต้องทนเจ็บตั้ง 4เดือน
เราอยากให้น้องหมาเราหายจากอาการเจ็บป่วยโดยเร็วที่สุด แต่เราไม่มีเงินขนาดนั้น รูดบัตรก็ต้องรูดเต็ม ไปผ่อนบัตรเอง เราไม่ไหว ไม่แน่ใจว่าไม่มีวิธีอื่นแล้วหรือคะ หรือถ้าทำแบบวิธีคุณหมอ รพ. แรกแนะนำ จะเป็นอะไรมั้ยคะ
ช่วยแนะนำคุณหมอ หรือรพ. ไหนที่ค่ารักษาไม่แพงเท่านี้ หรือมีหมอจัดกระดูกหมามั้ยคะ จนปัญญามาก อยากให้น้องหายค่ะ เห็นเค้าลุกนั่งไม่สะดวก จะลุกทีก็ร้อง จะนั่งก็ร้อง คนเป็นแม่ใจจะขาด
ปล. น้องหนัก 22.15กก. พันธุ์ไทย เป็นผู้ชายค่ะ
สอบถามเรื่องสุนัขข้อสะโพกหลุดค่ะ
ในวันแรก รีบพาไป รพ.สัตว์ใกล้บ้าน หมอตรวจเบื้องต้น ได้ฟิล์ม x-ray มา
** หมอรพ.แรกแนะนำว่า เหตุเพิ่งเกิด ให้หมอกระดูกวางยาแล้วสามารถดันกลับได้ จากนั้นบล็อกขา งดเคลื่อนไหวแรงๆได้ ไม่ต้องผ่าตัด จากนั้นหมอเขียนไปส่งตัว ส่งต่อไป รพ.ที่2 เพราะมีแพทย์เฉพาะทางกระดูก
** แพทย์ที่รพ.ที่2 แนะนำวิธีการรักษามา 2 แบบ
1. ผ่าตัดหัวกระดูกทิ้ง จากนั้นทำกายภาพ รอกล้ามเนื้อช่วยพยุงเอง
- วิธีนี้ใช้เวลาฟื้นตัวนาน กว่าจะกลับมาเดินได้ กายภาพบวกฟื้นตัวใช้เวลาประมาณ 4 เดือน
- ราคา 3x,000 บาท (ไม่รวมค่ากายภาพภายหลัง)
2. ผ่าตัดเปลี่ยนข้อกระดูกเทียม ในระยะยาวใช้งานดีขึ้น
- ใช้เวลาพักฟื้นสั้นกว่า แต่ก็ต้องกายภาพร่วม
- ราคา 160,000 บาท (รวมค่าผ่า ค่าพักฟื้น ค่ากายภาพ)
หมอคนที่สองบอกว่า ยังไงก็ต้องผ่า การผ่าตัดจะเป็นผลดีกับตัวน้องในระยะยาวมากกว่า
** แต่เราไม่มีเงิน ผ่าแบบแรกก็เสี่ยงเกินไป สงสารน้องมาก ต้องทนเจ็บตั้ง 4เดือน
เราอยากให้น้องหมาเราหายจากอาการเจ็บป่วยโดยเร็วที่สุด แต่เราไม่มีเงินขนาดนั้น รูดบัตรก็ต้องรูดเต็ม ไปผ่อนบัตรเอง เราไม่ไหว ไม่แน่ใจว่าไม่มีวิธีอื่นแล้วหรือคะ หรือถ้าทำแบบวิธีคุณหมอ รพ. แรกแนะนำ จะเป็นอะไรมั้ยคะ
ช่วยแนะนำคุณหมอ หรือรพ. ไหนที่ค่ารักษาไม่แพงเท่านี้ หรือมีหมอจัดกระดูกหมามั้ยคะ จนปัญญามาก อยากให้น้องหายค่ะ เห็นเค้าลุกนั่งไม่สะดวก จะลุกทีก็ร้อง จะนั่งก็ร้อง คนเป็นแม่ใจจะขาด
ปล. น้องหนัก 22.15กก. พันธุ์ไทย เป็นผู้ชายค่ะ