หน้าแรก
คอมมูนิตี้
ห้อง
แท็ก
คลับ
ห้อง
แก้ไขปักหมุด
ดูทั้งหมด
เกิดข้อผิดพลาดบางอย่าง
ลองใหม่
แท็ก
แก้ไขปักหมุด
ดูเพิ่มเติม
เกิดข้อผิดพลาดบางอย่าง
ลองใหม่
{room_name}
{name}
{description}
กิจกรรม
แลกพอยต์
อื่นๆ
ตั้งกระทู้
เข้าสู่ระบบ / สมัครสมาชิก
เว็บไซต์ในเครือ
Bloggang
Pantown
PantipMarket
Maggang
ติดตามพันทิป
ดาวน์โหลดได้แล้ววันนี้
เกี่ยวกับเรา
กฎ กติกา และมารยาท
คำแนะนำการโพสต์แสดงความเห็น
นโยบายเกี่ยวกับข้อมูลส่วนบุคคล
สิทธิ์การใช้งานของสมาชิก
ติดต่อทีมงาน Pantip
ติดต่อลงโฆษณา
ร่วมงานกับ Pantip
Download App Pantip
Pantip Certified Developer
นี่คืออะไรครับ ผมเป็นอะไรครับ
กระทู้คำถาม
สุขภาพกาย
ทันตกรรม
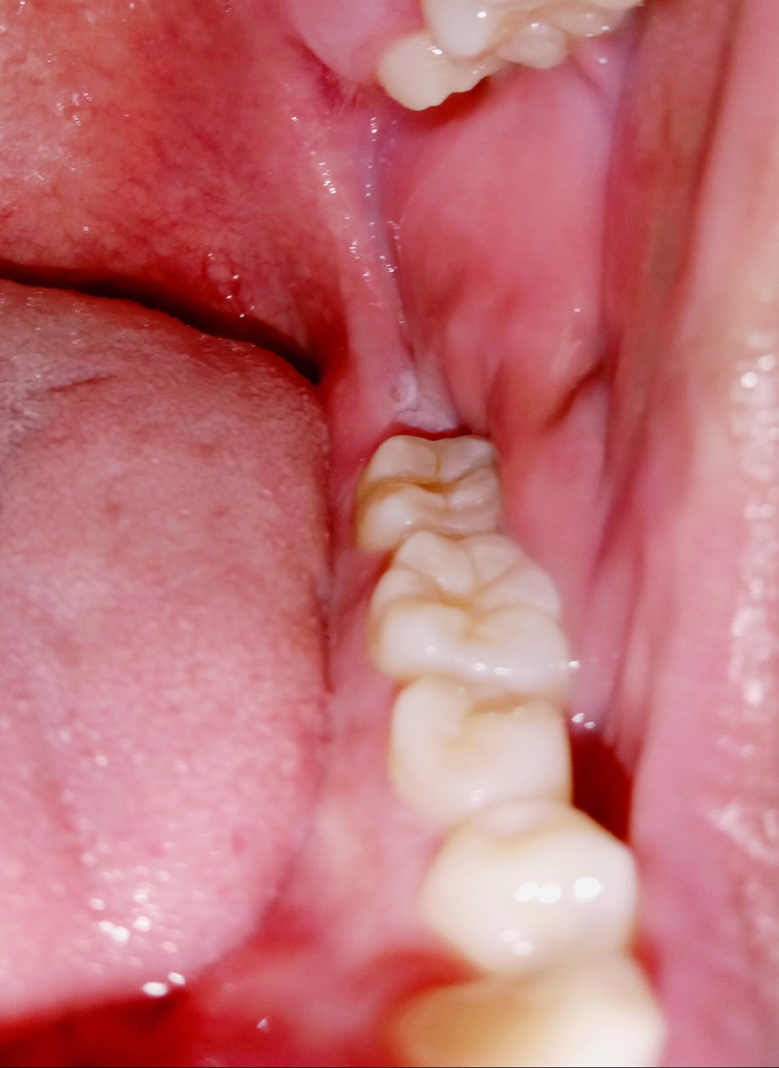
มีอาการจากไม่ปวดมาก จนตอนนี้เคี้ยวไม่ได้แล้วครับ แล้วรู้สึกว่ามีกลิ่นออกมาจากบริเวณสีขาวๆด้วยครับ มันคืออะไรครับ ตอนแรกคิดว่าฟันคุดจะงอกเลยรอมา 8 9 วันละครับ แต่อาการแย่ลง มันปวดมากขึ้น ตรงที่ ไม่สามารถ ประกบฟันบน กับ ล่างได้ครับ เพราะเหงือกไปโดนคือปวดมาก ถิาไม่โดนก็ไม่ปวดอะไรนะครับ
▼
กำลังโหลดข้อมูล...
▼
แสดงความคิดเห็น
กระทู้ที่คุณอาจสนใจ
ปวดฟันจิ้ดเวลาเคี้ยวอาหาร ไม่เคี้ยวไม่เจ็บ
ตอนไปหาหมอ ขุดหินปูนให้หมอเช็คให้ บอกว่าปกติเลย งง ค่ะ ตอนแรกปวดอีกซี่(โดนความร้อนแล้วเสียว ตอนนี้เปลี่ยนเป็นซี่ที่อุด ( ฝันกรามบน) แต่มีฟันคุดกำลังงอกขี้นมาค่ะ แต่เอียงนิดๆ หรือเพราะฟันคุดค่ะ
สมาชิกหมายเลข 2564839
แบบนี้ใช่ฟันคุดรึเปล่า (มีภาพปลากรอบ)
สมาชิกหมายเลข 4665441
ขอถามเรื่องฟันในปากหน่อยค่ะรบกวนด้วยนะคะ
ตั้งแต่เกิดแทบไม่เคยมีปัญหาเรื่องปวดฟันแต่เท่าที่สังเกตมาหลายวันจะชอบปวดฟันตอนกลางคืนค่ะแล้วจขกทมีฟันคุดงอกในปากด้วยมันงอกมายังโผล่ออกมาได้แต่ยังไม่หมดมีประมาณสามซี่อีกซี่นึงยังงอกแค่ติ๊ดเดียวเวลาเคี้
สมาชิกหมายเลข 2830164
ผ่าฟันคุดแล้วเหมือนจะอักเสบเป็นหนอง แต่ไม่ปวด
ไปผ่าฟันคุดมาเมื่อวันพฤหัสที่แล้ว วันนี้เข้าวันที่6แล้ว ที่ผ่านมาไม่ค่อยมีอากาปวดอะไรเลย มีตึงๆ ระบมๆนิดหน่อย อ้าปากกว้างไม่ค่อยได้ เคี้ยวอาหารไมาค่อยได้ แต่ก็ใช้ชีวิตได้ปกติดี พอมาวันนี้ตอนเช้ารู้สึก
สมาชิกหมายเลข 5499871
ผ่าฟันคุดแล้วมีกลิ่นเหม็น
เราผ่าฟันคุดเมื่อ4วันที่แล้วค่ะ ตรงแผลที่ผ่ามีกลิ่นเหม็นมากTT กลืนน้ำลายก็รู้สึกเหม็น ยิ่งเอานิ้วแตะๆดูนี้กลิ่นติดนิ้วเลยค่ะ มีใครเป็นบ้างคะ แล้วทำยังไงให้กลิ่นลดลง เราบ้วนปากด้วยน้ำเกลือก็แล้ว เอาไซ
สมาชิกหมายเลข 8201560
ขูดหินปูน กับ อุดฟัน อันไหนเจ็บกว่ากันครับ
ก็อยู่ที่หมอด้วยนะครับว่ามือเบาหรือไม่เบา สำหรับผมเจอหมอมือเบาครับ ล่าสุดไปผ่าฟันคุดมา ก็เจ็บนะแค่ตอนเข็มจิ้ม หลังจากนั้นก็ไม่แล้ว ผ่าเสร็จก็ไม่เจ็บเลย หมอที่เราเลือกดูแลดีมาก แต่จำรสชาติของการอุดฟั
สมาชิกหมายเลข 7467900
ครอบฟัน คือการแก้ปัญหาฟันแบบชั่วคราวหรือระยะยาว
หลายคนสงสัยเวลาหมอฟันแนะนำให้ทำ "ครอบฟัน" ว่าตกลงมันเป็นการแก้ปัญหาแค่ชั่วคราว แตกก็ครอบ ผุก็ครอบ หรือจริงๆ แล้วมันช่วยปกป้องฟันในระยะยาวกันแน่? กระทู้นี้มีคำตอบตามหลักทันตกรรมมาฝากครับ คร
Heysmile Dental Clinic
ร้อนในหรือฟันคุด
มีใครเคยเป็นแบบนี้หรือมีความรู้บ้างคะ ตอนนี้กลืนมีอาการเจ็บค่ะ อ้าปากก็เจ็บเคี้ยวก็เจ็บมันตึง รอบๆแดง เป็นฟันบนในสุดข้างซ้ายค่ะ ตอนแรกไม่เจ็บเท่านี้นึกว่าร้อนในปกติพอส่องดูเห็นเป็นแบบนี้เริ่มไม่แน่ใจค
สมาชิกหมายเลข 6257542
ขูดหินปูน ฟันขาวขึ้น เกี่ยวกันไหม หมอมีคำแนะนำแก้ปัญหาถูกวิธี
หลายคนที่มีปัญหาฟันเหลืองมักจะสงสัยว่า ขูดหินปูน ฟันขาวขึ้นไหม ทำครั้งเดียวแล้วฟันจะกลับมาขาววิ้งเลยหรือเปล่า? ความจริงแล้วปัญหาฟันเหลืองมีหลายสาเหตุครับ การขูดหินปูนช่วยแก้ปัญหาได้ "แค่บางกรณีเท
Heysmile Dental Clinic
หลังขูดหินปูน ควรกินอะไร–เลี่ยงอะไร? ทันตแพทย์มีคำตอบให้ครบ
หลังขูดหินปูน ควรกินอะไร – เลี่ยงอะไร? ทันตแพทย์มีคำตอบให้ครบ เพิ่งไปขูดหินปูนมาแล้วรู้สึกเสียวฟัน หรือเหงือกตึงๆ กันบ้างไหมครับ? รู้หรือไม่ว่าการดูแลตัวเองหลังทำฟันสำคัญมาก กระทู้นี้หมอจะมาสรุ
Heysmile Dental Clinic
อ่านกระทู้อื่นที่พูดคุยเกี่ยวกับ
สุขภาพกาย
ทันตกรรม
บนสุด
ล่างสุด
อ่านเฉพาะข้อความเจ้าของกระทู้
หน้า:
หน้า
จาก
แชร์ :
โปรดศึกษาและยอมรับนโยบายข้อมูลส่วนบุคคลก่อนเริ่มใช้งาน
อ่านเพิ่มเติมได้ที่นี่
ยอมรับ
นี่คืออะไรครับ ผมเป็นอะไรครับ