ขอปรึกษาคุณหมอและผู้มีประสบการณ์ ตอนนี้เราซึ่งเป็นลูกมีความกังวลเรื่องการผ่าตัดของคุณแม่ค่ะ
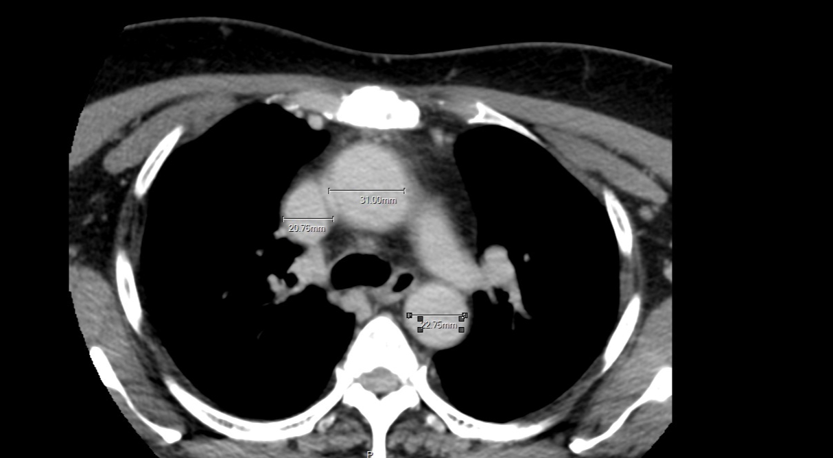
คุณแม่เป็นมะเร็งไทรอยด์ (papillary Thyroid Carcinoma) ระยะที่ 3-4 คือลามไปต่อมน้ำเหลืองแล้ว ต่อมน้ำเหลืองขนาด4-5 เซน ประมาณไข่ไก่เบอร์0 คุณหมอบอกแบบนั้น ตอนนี้แม่กับเราเดินมาถึงปลายอุโมงค์แล้ว คือการรอผ่าตัด
คุณแม่เริ่มมีอาการบวมสัมผัสได้ตั้งแต่ปลายมี.ค.63. ปูดออกมาเห็นได้ชัด
แต่เนื่องจากติดโควิดจึงไม่ได้ไปรพ.
และไปรพ.ครั้งแรก 16 พ.ค.63 จากนั้นมาก็เข้าออกรพ.เอกชนและรัฐไม่หยุด เพื่อเจอหมอและทำนัดผ่าตัด
ปล. เราเจอหมอสองท่านโดยการไปปรึกษาที่รพ.เอกชน เพราะรพ.รัฐเข้าไม่ถึง คิวยาวมากก ต้องขอใบเบิกทางมาเจอคุณหมอที่รพ.รัฐ เพราะอาการคุณแม่ค่อนข้างหนัก รพ.เอกชนถ้าไม่ใหญ่จริงไม่พร้อมด้านอุปกรณ์และบุคลากร
ตอนนี้แม่รอคิวผ่าตัดอยู่2ช่องทางคือ
1. ผ่าตัดในเวลาราชการกับ
หมอเฉพาะทางที่ดูเรื่องนอนกรนเป็นหลัก และมีนักเรียนแพทย์ประจำบ้าน
ค่าใช้จ่าย: เบิกได้ตามสิทธิ์ขรก. ตอนนี้รอคิว
คิวผ่าตัด: คาดว่ากลางส.ค.63 รอคุณหมอโทรนัด
2. ผ่าตัดนอกเวลาราชการกับคุณหมอเฉพาะทางที่เชียวชาญมะเร็งคอโดยเฉพาะ คุณหมอลงมือผ่าเอง ได้ยินชื่อเสียงจากผู้คนต่างๆมากมาย ว่ามือดีระดับ1ของรพ.
ค่าใช้จ่าย: 250,000-300,000 บาท เบิกไม่ได้ หรือเบิกได้แค่30% ของคชจ.ส่วนที่เบิกได้
คิวผ่าตัด: ปลายส.ค.63. (หลัง13 ส.ค.)ได้วันแน่นอน ระบุวันที่ต้องการผ่าได้
เงื่อนไขของการผ่าตัดคือ
- ต้องวางยาสลบ เพราะหมอทุกคนถือว่าผ่าตัดใหญ่
- ต้องผ่าเปิดคอจากตรงกลางด้านหน้า วนไปจนถึงตรงกลางด้านหลัง เฉพาะซีกซ้าย
- ต้องใช้เวลาในห้องผ่าตัด 4-5 ชั่วโมง
- ต้องพักฟื้นในรพ. 4-5 วัน เพื่อดูอาการ
ขอปรึกษาหน่อยนะค่ะ แบบนี้ควรเลือกทางไหนดีค่ะ เราเป็นห่วงแม่ เราอยากให้แม่ทำตามแนวทางของคลินิกนอกเวลา แต่แม่ศรัทธาหมอในเวลามากกว่า เพราะเรากับแม่เริ่มต้นจากในเวลา ส่วนนอกเวลาเนื่องจากรอคิวในเวลาไม่ไหว จึงวิ่งหาทางออกให้แม่ แทนการรอ จนวันนี้คิวทั้ง2ทางค่อนข้างมีวันผ่าตัดคาดว่าใกล้กัน จึงเริ่มตัดสินใจลำบาก
ขอบคุณค่ะ
มะเร็งไทรอยด์-ควรตัดสินใจยังไงดีกับการผ่าตัดใหญ่วางยาสลบของคุณแม่
คุณแม่เป็นมะเร็งไทรอยด์ (papillary Thyroid Carcinoma) ระยะที่ 3-4 คือลามไปต่อมน้ำเหลืองแล้ว ต่อมน้ำเหลืองขนาด4-5 เซน ประมาณไข่ไก่เบอร์0 คุณหมอบอกแบบนั้น ตอนนี้แม่กับเราเดินมาถึงปลายอุโมงค์แล้ว คือการรอผ่าตัด
คุณแม่เริ่มมีอาการบวมสัมผัสได้ตั้งแต่ปลายมี.ค.63. ปูดออกมาเห็นได้ชัด
แต่เนื่องจากติดโควิดจึงไม่ได้ไปรพ.
และไปรพ.ครั้งแรก 16 พ.ค.63 จากนั้นมาก็เข้าออกรพ.เอกชนและรัฐไม่หยุด เพื่อเจอหมอและทำนัดผ่าตัด
ปล. เราเจอหมอสองท่านโดยการไปปรึกษาที่รพ.เอกชน เพราะรพ.รัฐเข้าไม่ถึง คิวยาวมากก ต้องขอใบเบิกทางมาเจอคุณหมอที่รพ.รัฐ เพราะอาการคุณแม่ค่อนข้างหนัก รพ.เอกชนถ้าไม่ใหญ่จริงไม่พร้อมด้านอุปกรณ์และบุคลากร
ตอนนี้แม่รอคิวผ่าตัดอยู่2ช่องทางคือ
1. ผ่าตัดในเวลาราชการกับ
หมอเฉพาะทางที่ดูเรื่องนอนกรนเป็นหลัก และมีนักเรียนแพทย์ประจำบ้าน
ค่าใช้จ่าย: เบิกได้ตามสิทธิ์ขรก. ตอนนี้รอคิว
คิวผ่าตัด: คาดว่ากลางส.ค.63 รอคุณหมอโทรนัด
2. ผ่าตัดนอกเวลาราชการกับคุณหมอเฉพาะทางที่เชียวชาญมะเร็งคอโดยเฉพาะ คุณหมอลงมือผ่าเอง ได้ยินชื่อเสียงจากผู้คนต่างๆมากมาย ว่ามือดีระดับ1ของรพ.
ค่าใช้จ่าย: 250,000-300,000 บาท เบิกไม่ได้ หรือเบิกได้แค่30% ของคชจ.ส่วนที่เบิกได้
คิวผ่าตัด: ปลายส.ค.63. (หลัง13 ส.ค.)ได้วันแน่นอน ระบุวันที่ต้องการผ่าได้
เงื่อนไขของการผ่าตัดคือ
- ต้องวางยาสลบ เพราะหมอทุกคนถือว่าผ่าตัดใหญ่
- ต้องผ่าเปิดคอจากตรงกลางด้านหน้า วนไปจนถึงตรงกลางด้านหลัง เฉพาะซีกซ้าย
- ต้องใช้เวลาในห้องผ่าตัด 4-5 ชั่วโมง
- ต้องพักฟื้นในรพ. 4-5 วัน เพื่อดูอาการ
ขอปรึกษาหน่อยนะค่ะ แบบนี้ควรเลือกทางไหนดีค่ะ เราเป็นห่วงแม่ เราอยากให้แม่ทำตามแนวทางของคลินิกนอกเวลา แต่แม่ศรัทธาหมอในเวลามากกว่า เพราะเรากับแม่เริ่มต้นจากในเวลา ส่วนนอกเวลาเนื่องจากรอคิวในเวลาไม่ไหว จึงวิ่งหาทางออกให้แม่ แทนการรอ จนวันนี้คิวทั้ง2ทางค่อนข้างมีวันผ่าตัดคาดว่าใกล้กัน จึงเริ่มตัดสินใจลำบาก
ขอบคุณค่ะ