หน้าแรก
คอมมูนิตี้
ห้อง
แท็ก
คลับ
ห้อง
แก้ไขปักหมุด
ดูทั้งหมด
เกิดข้อผิดพลาดบางอย่าง
ลองใหม่
แท็ก
แก้ไขปักหมุด
ดูเพิ่มเติม
เกิดข้อผิดพลาดบางอย่าง
ลองใหม่
{room_name}
{name}
{description}
กิจกรรม
แลกพอยต์
อื่นๆ
ตั้งกระทู้
เข้าสู่ระบบ / สมัครสมาชิก
เว็บไซต์ในเครือ
Bloggang
Pantown
PantipMarket
Maggang
ติดตามพันทิป
ดาวน์โหลดได้แล้ววันนี้
เกี่ยวกับเรา
กฎ กติกา และมารยาท
คำแนะนำการโพสต์แสดงความเห็น
นโยบายเกี่ยวกับข้อมูลส่วนบุคคล
สิทธิ์การใช้งานของสมาชิก
ติดต่อทีมงาน Pantip
ติดต่อลงโฆษณา
ร่วมงานกับ Pantip
Download App Pantip
Pantip Certified Developer
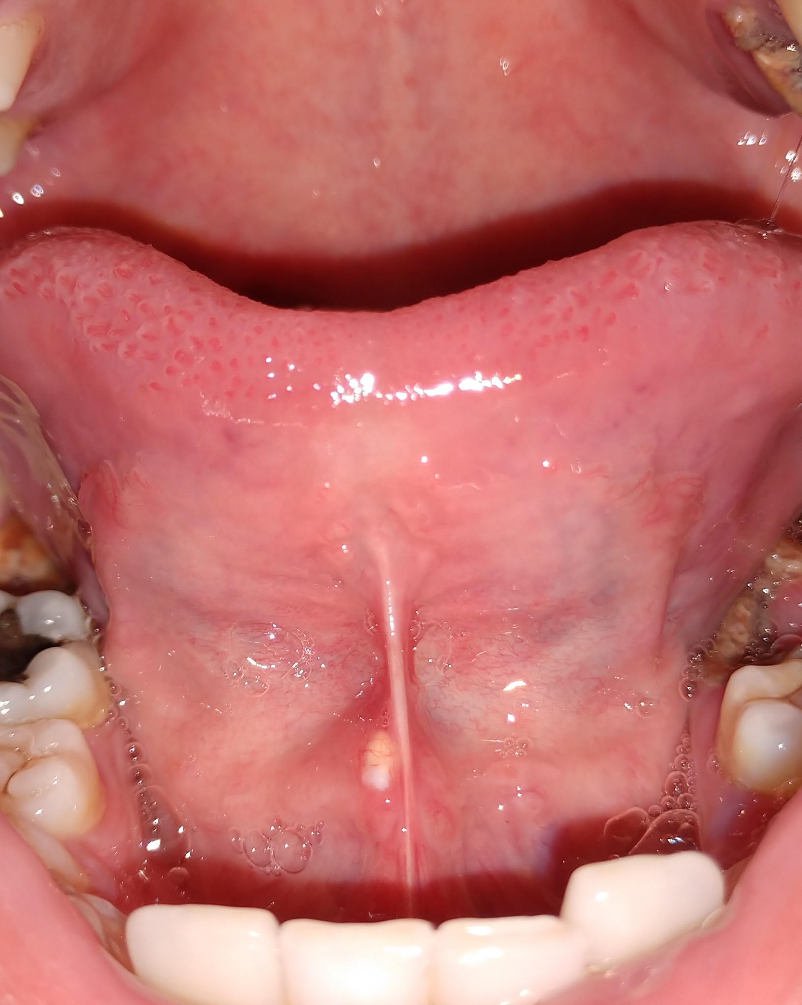
มีติ่งโผล่ออกมาไต้ลิ้นเป็นเพราะอะไรครับ
กระทู้คำถาม
สุขภาพกาย
สวัสดีครับ ขออภัยที่รูปมันไม่สุภาพนะครับ มีไครเคยเป็นแบบนี้มั้งมั้ยครับสังเกตุเห็นมา2วันแล้ว
มันเกิดจากสาเหตุอะไรครับ ตอนนี้รู้สึกกังวลมากแต่ว่ายังไม่มีเวลาไปหาหมอ *ขอบคุณสำหรับคำตอบครับ
▼
กำลังโหลดข้อมูล...
▼
แสดงความคิดเห็น
กระทู้ที่คุณอาจสนใจ
มีใครกินนมดีมอลล์บางกล่องทีเพิ่งซื้อมาแล้วรู้สึกว่ามันบูดไหมคะ😔
เราเป็นคนกินนมดีมอลล์ตลอดเลยค่ะ แล้วช่วงนี้ กินนมดีมอลล์ตามปกติ แต่ว่า นมดีมอลล์บ้างกล่องที่พึ่งซื้ื้อมามันเปรี้ยวๆเหมือนบูดเลยค่ะ บ้างกล่องก็รู้สึกเหมือนว่ามีกินอยู่ด้วยเลยแบบเหมือนกินดินด้วย เราไม่ร
สมาชิกหมายเลข 9291363
ญี่ปุ่นยังงงเสาเหล็กโผล่ขึ้นมากลางถนนต้องเติมน้ำให้มันหนักแล้วกดลงไปไหม่
ติดตามข่าวนี้กันสักเล็กน้อย . เช้าวันนี้ (11 มีนา) ที่ย่านอุเมดะ โอซาก้า มีท่อขนาดยักษ์โผล่มาจากใต้ดิน . พลเมืองดีโทรแจ้งตำรวจตอน 06:50 น. พอตรวจสอบพื้นที่ก็พบว่าเป็นท่อเหล็กขนาดใหญ่ที่ฝังอยู่ใต้ดินค
สมาชิกหมายเลข 9290467
สุภาพฟันและลิ้น แผลขาวๆตรงกลางลิ้นเกิดจากสาเหตุอะไรครับ
สมาชิกหมายเลข 1282406
ติ่ง/เนื้องอกใต้ลิ้นเป็นอันตรายไหม
ผมมีติ่ง/เนื้องอกใต้ลิ้นได้ประมาณ2วันครับ ผมเลยกังวลว่าจะมีอะไรผิดปกติกับร่างกายของผม อาการก็ตามรูปที่ผมได้แปะไว้เลยครับ
สมาชิกหมายเลข 3492760
อาการติ่งใต้โคลนลิ้น
เกิดมีอาการติ่งใต้โคลนลิ้น (ลักษณะเส้นยาวๆ) มีอาการเจ็บ มีใครเคยเป็น พอจะทราบสาเหตุบ้างคะ ตอนนี้เครียดมากๆเลย
สมาชิกหมายเลข 7181539
เจ็บที่ใต้ลิ้นมีติ่งเนื้อขาวๆขึ้นสองข้างไม่เจ็บมากเกิดจากอะไร
เรามีอาการเจ็บที่ใต้ลิ้นเหมือนจะเจ็บบ้างช่วงเป็นมา2-3วันลำบาคตอนทานข้าวช่วยหน่อยคะอยากรู้เป็นอะไรกังวลมาก
สมาชิกหมายเลข 8011508
ไปผ่าฟันคุดมาได้3วันแผลแบบนี้ฉีกไหมคะ?
คือว่าเราไปผ่าฟันคุดมาที่รพ.คุณหมอใจดีมากๆแนะนำดีมาก แต่ว่าเรากังวลมากเพราะหลังจากผ่าตอนอ้าปากกินโจ้กมันมีเสียงดังกึ้ก.. แบบมันตึงๆแบบนี้ปกติไหมคะแต่ไม่มีอาการปวด นี่ภาพเพิ่มเติมค่ะขออภัยด้วยนะคะ
สมาชิกหมายเลข 7510512
อาการที่ต้องระวังหลังรถซ่อมเพราะจมน้ำท่วม
รถเราเป็น yaris 2011 จมน้ำท่วมหาดใหญ่ครั้งล่าสุด แต่เราถอดแบตเตอรี่ยกออกเลย เอาไปซ่อมรถสตาร์ทติดได้เรียบร้อยแล้ว ระบบกระจกที่ยังรวนอยู่ ช่างได้แก้ไขให้แล้ว แต่ว่าพวงมาลัยหนัก ฉันแจ้งว่าแร็คอาจจมน้ำน
สมาชิกหมายเลข 6463037
มีติ่งเนื้อใต้ลิ้น
สวัสดีค่ะ พอดีใต้ลิ้นเราเกิดอาการบวมขึ้นมาเป็นติ่งเนื้อตรงที่ใต้ลิ้นมันจะมีเส้นเยื่ออ่อนๆ ใกล้ๆกับเส้นเลือดใต้ลิ้นตรงนั้นแหละค่ะที่บวม กระดกลิ้นขึ้นมาจะเจอ เวลาจับจะรู้สึกเจ็บกินข้าวก็เจ็บ มันจะเคืองๆ
สมาชิกหมายเลข 3264519
หมอให้รอคิว3เดือนค่อยไปกลืนแร่หลังผ่าตัดมะเร็งไทรอยด์หมดแล้วมันนานเกินไปหรือเปล่าค่ะเพื่อนๆที่มีประสบการณ์ช่วยตอบทีนะคะ
กังวลมากๆค่ะเพราะหลังผ่าตัดมามีอาการข้างเคียงเยอะมากๆเจ็บและชาลิ้นปวดชาไต้คางมา3เดือนเจ็บหน่วงที่รังไข่ถามหมอๆบอกไม่ได้แตะตรงนั้นเลยนะมันเป็นเพราะอะไรยังหาคำตอบให้ตัวเองไม่ได้เลย..ไปหาหมอมา5คนก็บอกไม่
สมาชิกหมายเลข 4743712
อ่านกระทู้อื่นที่พูดคุยเกี่ยวกับ
สุขภาพกาย
บนสุด
ล่างสุด
อ่านเฉพาะข้อความเจ้าของกระทู้
หน้า:
หน้า
จาก
แชร์ :
โปรดศึกษาและยอมรับนโยบายข้อมูลส่วนบุคคลก่อนเริ่มใช้งาน
อ่านเพิ่มเติมได้ที่นี่
ยอมรับ
มีติ่งโผล่ออกมาไต้ลิ้นเป็นเพราะอะไรครับ
มันเกิดจากสาเหตุอะไรครับ ตอนนี้รู้สึกกังวลมากแต่ว่ายังไม่มีเวลาไปหาหมอ *ขอบคุณสำหรับคำตอบครับ