สภาวะร่างกายอัมพาตทั้งตัว หรือ โรคแอลไอเอส (ชื่อภาษาอังกฤษ:Locked-in syndrome ชื่อย่อ : LIS)
ภาพผู้ที่ป่วยเป็นโรค Locked-in syndrome (ปัจจุบันเสียชีวิตแล้ว)
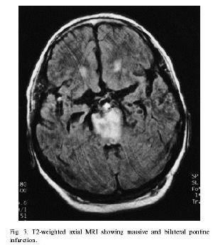
สภาพสมองของผู้ป่วย โรค Locked-in syndrome
ขณะนี้ละคร คุณนายลั่นทม เรตติ้งกระชู้ดกันเลยทีเดียว และสิ่งสำคัญในละครเรื่องนี้ก็คือ โรคคุณนายลั่นทม หรือ โรคแอลไอเอส นั่นเอง
หลายคนคงสงสัยว่าทำไมผู้ป่วยบางคนรู้ตัวดี แต่ไม่สามารถเคลื่อนไหวแขนขาได้เลย แม้ กระทั่งการยกศีรษะหรืออ้าปาก กลืนอาหาร หรือกลอกตาไปด้านข้างก็ไม่สามารถทำได้ ทำได้เพียงแค่หลับตา ลืมตา และกลอกตาขึ้นบน-ล่างเท่านั้น ผู้ป่วยเป็นอะไรกันแน่ ทำไมเหมือนคนถูกใส่กุญแจล็อก (Lock) ไว้ไม่ให้เคลื่อนไหวไปไหนได้เลย อาการผิดปกตินี้เรียกว่า “กลุ่มอาการอัม พาตทั้งตัว หรือ ย่อว่าโรค แอลไอเอส (Locked-in syndrome:LIS)” แล้วกลุ่มอาการนี้คืออะไร เกิดจากอะไร จะรักษาหายไหม แล้วจะป้องกันไม่ให้เกิดได้หรือไม่ เพราะน่าสงสารผู้ป่วยจริงๆ ลองศึกษารายละเอียดจากบทความนี้ครับ แล้วท่านจะได้ห่างไกลจากอาการเจ็บป่วยนี้
กลุ่มอาการแอลไอเอสคืออะไร?
กลุ่มอาการ/โรคแอลไอเอสนี้คือ ภาวะที่สมองส่วนท้าย ที่เรียกว่า Pons เกิดความผิดปกติ ส่งผลให้ผู้ป่วยไม่สามารถเคลื่อนไหวร่างกายได้เลย ยกเว้นการกลอกตา หลับตา ลืมตา เท่านั้น คล้ายผู้ป่วยโคม่า แต่ไม่ใช่ เพราะผู้ป่วยยังรู้สึกตัวดี แต่ผู้ป่วยสามารถสื่อสารได้โดยการหลับตา- ลืมตาเท่านั้น
กลุ่มอาการแอลไอเอสเกิดจากอะไร?
กลุ่มอาการ/โรคแอลไอเอสนี้ เกิดจากสมองส่วนท้ายที่เรียกว่า Pons ซึ่งเป็นสมองส่วนสำคัญ อยู่บริเวณก้านสมอง (Brain stem) ทำงานเป็นทางผ่านของเส้นใยประสาท (Nerve fiber)ของทุกส่วนของสมองผ่านจากสมองใหญ่ 2 ข้าง (Cerebral hemispheres) มาที่ก้านสมอง และที่ไขสันหลัง (Spinal cord) จึงเป็นสมองส่วนที่มีความสำคัญมาก ดังนั้นเมื่อเกิดมีรอยโรคบริเวณสมองส่วนนี้ จึงทำให้ผู้ป่วยมีอาการทางสมองที่รุนแรง
กลุ่มอาการแอลไอเอสมีสาเหตุจากอะไร?
กลุ่มอาการ/โรคแอลไอเอสนี้มีสาเหตุหลัก ดังต่อไปนี้
* โรคหลอดเลือดสมอง พบบ่อยในกลุ่มหลอดเลือดสมองแตก แต่ที่เกิดจากหลอดเลือดสมองตีบจึงขาดเลือด พบได้ไม่บ่อย
* การบาดเจ็บอักเสบเฉพาะส่วนของ Pons ที่ไม่ได้เกิดจากการติดเชื้อ (Central pontine myelinolysis:CPM) ที่เกิดจากการเปลี่ยนแปลงของระดับเกลือแร่ และความเข้มข้นของเลือดอย่างรวดเร็ว (Osmotic demyelinating syndrome: ODS)
ใครมีโอกาส/ปัจจัยเสี่ยงต่อการเกิดกลุ่มอาการแอลไอเอส?
ผู้มีโอกาส/ปัจจัยเสี่ยงต่อการเกิดเกิดกลุ่มอาการ/โรคแอลไอเอส คือ ผู้ป่วยโรคความดันโล หิตสูงที่ควบคุมไม่ดี ผู้ป่วยโรคไต ผู้ป่วยที่ใช้ยาขับปัสสาวะและเกิดระดับเกลือโซเดียมในเลือดต่ำ ผู้ป่วยโรคแอลกอฮอล์เรื้อรัง และผู้ป่วยภาวะขาดสารอาหารที่มีระดับแอลบูมิน (Albumin) ในเลือดต่ำ
แพทย์วินิจฉัยได้อย่างไรว่าเป็นกลุ่มอาการแอลไอเอส?
แพทย์ให้การวินิจฉัยกลุ่มอาการ/โรคแอลไอเอส โดยการพิจารณาจากลักษณะที่ผู้ป่วยมีอา การอัมพาตทั้งตัว แต่ยังสามารถหลับตา ลืมตาได้ และมีระดับความรู้สึกตัวดี ร่วมกับการตรวจแม่ เหล็กไฟฟ้า (เอมอาร์ไอ) หรือ เอกซเรย์คอมพิวเตอร์ภาพสมอง
แพทย์รักษาผู้ป่วยกลุ่มอาการแอลไอเอสอย่างไร?
หลักการรักษาผู้ป่วยกลุ่มอาการ/โรคแอลไอเอสประกอบด้วย 4 ประการ คือ
* การรักษาแก้ไขสาเหตุ เช่น กรณีที่เกิดจากโรคหลอดเลือดสมอง ก็ต้องรักษาควบคุมโรคดัง กล่าว รวมทั้งปัจจัยเสี่ยงของการเกิดโรคหลอดเลือดสมองด้วย เช่น โรคเบาหวาน โรคความดันโลหิตสูง โรคไขมันในเลือดสูง เป็นต้น
* การรักษาตามอาการ เนื่องจากผู้ป่วยจะไม่สามารถเคลื่อนไหวร่างกายได้เลย ต้องนอนบนเตียงตลอดเวลา ไม่สามารถทานอาหารเองและลุกขึ้นขับถ่ายได้ ดังนั้นการรักษาต้องให้การช่วยเหลือในทุกๆกิจกรรมของการดำรงชีวิต และถ้าผู้ป่วยไม่สามารถหายใจได้เองก็ต้องใส่ท่อช่วยหายใจและใช้เครื่องช่วยหายใจร่วมด้วย
* การป้องกันไม่ให้เกิดภาวะแทรกซ้อน (ผลข้างเคียง) เช่น แผลกดทับ การสำลักอาหาร การติดเชื้อในปอด การติดเชื้อทางเดินปัสสาวะ เป็นต้น
ฝึกการสื่อสารระหว่างกัน ทั้งผู้ดูแลและผู้ป่วย
อนึ่ง
* การใช้ยาบำรุงสมองหรือใช้ผลิตภัณฑ์เสริมอาหาร จากหลักฐานการศึกษาทางการ แพทย์ ยังไม่พบว่ามีประโยชน์
* การรักษาด้วยการแพทย์สนับสนุน เช่น ฝังเข็ม ก็เป็นการกระตุ้นระบบประสาท และกล้ามเนื้อให้ดีขึ้น แต่ก็เป็นเพียงการเสริมกับการรักษาด้วยการแพทย์แผนปัจจุบันดัง กล่าวข้างต้น
* การจะรักษาผู้ป่วยที่โรงพยาบาลหรือที่บ้านนั้น ขึ้นกับว่าผู้ป่วยมีอาการที่รุนแรงระดับไหน เช่น สามารถหายใจได้เองหรือไม่ และญาติมีความพร้อมในการดูแลที่บ้านหรือ ไม่ กรณีที่สามารถหายใจได้เอง ไม่ต้องใช้เครื่องช่วยหายใจ ก็สามารถกลับมารักษาที่บ้านได้ เพียงแต่ผู้ดูแลต้องมีความพร้อมทั้งความรู้ในการดูแล สถานที่ และอุปกรณ์ทางการแพทย์ที่จำเป็นในการดูแลผู้ป่วย ซึ่งแพทย์ พยาบาลที่ดูแลผู้ป่วยจะเป็นผู้ให้คำแนะนำ
* เมื่อนำผู้ป่วยกลับมารักษาที่บ้าน ควรพบแพทย์ก่อนนัด หรือ รีบไปโรงพยาบาล เมื่อผู้ ป่วยมีอาการทรุดลง เช่น มีไข้ เสมหะเขียวข้น ปัสสาวะมีกลิ่นเหม็นและ/หรือขุ่นมากขึ้น มีแผลกดทับ หายใจเร็วขึ้น และ/หรือระดับความรู้สึกตัวเลวลง ซึ่งมักเกิดจากภา วะแทรกซ้อน (ผลข้างเคียง) จากที่ผู้ป่วยไม่สามารถเคลื่อนไหวร่างกายได้
กลุ่มอาการแอลไอเอสรักษาให้หายขาดหรือไม่?
การพยากรณ์โรค หรือ ผลการรักษากลุ่มอาการ/โรคแอลไอเอส นั้น เป็นโรคที่ไม่สามารถรัก ษาให้หายได้ เพราะสมองส่วน Pons ที่เสียหาย มีโอกาสฟื้นตัวได้ยากมาก โดยส่วนใหญ่แล้ว อา การมักจะไม่ตอบสนองต่อการรักษา การรักษามีวัตถุประสงค์หลักเพียงเพื่อป้องกันไม่ให้เกิดโรคซ้ำที่จะทำให้อาการรุนแรงขึ้น จนถึงเสียชีวิต ร่วมกับการฟื้นฟูสุขภาพ (เช่น การทำกายภาพบำบัด) เพื่อป้องกันภาวะแทรกซ้อน (ผลข้างเคียง) ต่างๆ ดังนั้นการรักษาที่ดีที่สุดในโรคนี้ คือ การป้องกันไม่ให้เกิดโรคนี้
สามารถป้องกันกลุ่มอาการแอลไอเอสได้หรือไม่?
กลุ่มอาการ/โรคแอลไอเอส พบได้ไม่บ่อย ที่พบได้มักเกิดจากโรคความดันโลหิตสูง หรือโรคหลอดเลือดสมองตีบ (โรคหลอดเลือดสมอง) ดังนั้นการป้องกันโรคแอลไอเอส คือ การป้อง กัน และการควบคุม โรคความดันโลหิตสูง และโรคหลอดเลือดสมองให้ได้ดี
นอกจากนั้น อีกสาเหตุของโรคแอลไอเอส คือ จากผู้ป่วยมีการเปลี่ยนแปลงระดับเกลือแร่และความเข้มข้นของเลือดอย่างรวดเร็ว (เช่น ผลข้างเคียงจากยาทางจิตเวชบางชนิด หรือ ในผู้ ป่วยโรคไต) ซึ่งการป้องกันการเปลี่ยนแปลงระดับเกลือแร่และความเข้มข้นของเลือด คือ การป้อง กันสาเหตุที่จะทำให้เกิดภาวะเปลี่ยนแปลงนั้นๆ ซึ่งก็คือ การดูแลรักษาสุขภาพกายสุขภาพจิตด้วย การรักษาสุขอนามัยพื้นฐาน (สุขบัญญัติแห่งชาติ) และการตรวจสุขภาพประจำปีสม่ำเสมอ
ขอบคุณข้อมูลจาก :
http://haamor.com/th/อัมพาตทั้งตัว
ขยายรายละเอียดโรคคุณนายลั่นทม หรือ โรคแอลไอเอส (Locked-in syndrome:LIS)
ภาพผู้ที่ป่วยเป็นโรค Locked-in syndrome (ปัจจุบันเสียชีวิตแล้ว)
สภาพสมองของผู้ป่วย โรค Locked-in syndrome
ขณะนี้ละคร คุณนายลั่นทม เรตติ้งกระชู้ดกันเลยทีเดียว และสิ่งสำคัญในละครเรื่องนี้ก็คือ โรคคุณนายลั่นทม หรือ โรคแอลไอเอส นั่นเอง
หลายคนคงสงสัยว่าทำไมผู้ป่วยบางคนรู้ตัวดี แต่ไม่สามารถเคลื่อนไหวแขนขาได้เลย แม้ กระทั่งการยกศีรษะหรืออ้าปาก กลืนอาหาร หรือกลอกตาไปด้านข้างก็ไม่สามารถทำได้ ทำได้เพียงแค่หลับตา ลืมตา และกลอกตาขึ้นบน-ล่างเท่านั้น ผู้ป่วยเป็นอะไรกันแน่ ทำไมเหมือนคนถูกใส่กุญแจล็อก (Lock) ไว้ไม่ให้เคลื่อนไหวไปไหนได้เลย อาการผิดปกตินี้เรียกว่า “กลุ่มอาการอัม พาตทั้งตัว หรือ ย่อว่าโรค แอลไอเอส (Locked-in syndrome:LIS)” แล้วกลุ่มอาการนี้คืออะไร เกิดจากอะไร จะรักษาหายไหม แล้วจะป้องกันไม่ให้เกิดได้หรือไม่ เพราะน่าสงสารผู้ป่วยจริงๆ ลองศึกษารายละเอียดจากบทความนี้ครับ แล้วท่านจะได้ห่างไกลจากอาการเจ็บป่วยนี้
กลุ่มอาการแอลไอเอสคืออะไร?
กลุ่มอาการ/โรคแอลไอเอสนี้คือ ภาวะที่สมองส่วนท้าย ที่เรียกว่า Pons เกิดความผิดปกติ ส่งผลให้ผู้ป่วยไม่สามารถเคลื่อนไหวร่างกายได้เลย ยกเว้นการกลอกตา หลับตา ลืมตา เท่านั้น คล้ายผู้ป่วยโคม่า แต่ไม่ใช่ เพราะผู้ป่วยยังรู้สึกตัวดี แต่ผู้ป่วยสามารถสื่อสารได้โดยการหลับตา- ลืมตาเท่านั้น
กลุ่มอาการแอลไอเอสเกิดจากอะไร?
กลุ่มอาการ/โรคแอลไอเอสนี้ เกิดจากสมองส่วนท้ายที่เรียกว่า Pons ซึ่งเป็นสมองส่วนสำคัญ อยู่บริเวณก้านสมอง (Brain stem) ทำงานเป็นทางผ่านของเส้นใยประสาท (Nerve fiber)ของทุกส่วนของสมองผ่านจากสมองใหญ่ 2 ข้าง (Cerebral hemispheres) มาที่ก้านสมอง และที่ไขสันหลัง (Spinal cord) จึงเป็นสมองส่วนที่มีความสำคัญมาก ดังนั้นเมื่อเกิดมีรอยโรคบริเวณสมองส่วนนี้ จึงทำให้ผู้ป่วยมีอาการทางสมองที่รุนแรง
กลุ่มอาการแอลไอเอสมีสาเหตุจากอะไร?
กลุ่มอาการ/โรคแอลไอเอสนี้มีสาเหตุหลัก ดังต่อไปนี้
* โรคหลอดเลือดสมอง พบบ่อยในกลุ่มหลอดเลือดสมองแตก แต่ที่เกิดจากหลอดเลือดสมองตีบจึงขาดเลือด พบได้ไม่บ่อย
* การบาดเจ็บอักเสบเฉพาะส่วนของ Pons ที่ไม่ได้เกิดจากการติดเชื้อ (Central pontine myelinolysis:CPM) ที่เกิดจากการเปลี่ยนแปลงของระดับเกลือแร่ และความเข้มข้นของเลือดอย่างรวดเร็ว (Osmotic demyelinating syndrome: ODS)
ใครมีโอกาส/ปัจจัยเสี่ยงต่อการเกิดกลุ่มอาการแอลไอเอส?
ผู้มีโอกาส/ปัจจัยเสี่ยงต่อการเกิดเกิดกลุ่มอาการ/โรคแอลไอเอส คือ ผู้ป่วยโรคความดันโล หิตสูงที่ควบคุมไม่ดี ผู้ป่วยโรคไต ผู้ป่วยที่ใช้ยาขับปัสสาวะและเกิดระดับเกลือโซเดียมในเลือดต่ำ ผู้ป่วยโรคแอลกอฮอล์เรื้อรัง และผู้ป่วยภาวะขาดสารอาหารที่มีระดับแอลบูมิน (Albumin) ในเลือดต่ำ
แพทย์วินิจฉัยได้อย่างไรว่าเป็นกลุ่มอาการแอลไอเอส?
แพทย์ให้การวินิจฉัยกลุ่มอาการ/โรคแอลไอเอส โดยการพิจารณาจากลักษณะที่ผู้ป่วยมีอา การอัมพาตทั้งตัว แต่ยังสามารถหลับตา ลืมตาได้ และมีระดับความรู้สึกตัวดี ร่วมกับการตรวจแม่ เหล็กไฟฟ้า (เอมอาร์ไอ) หรือ เอกซเรย์คอมพิวเตอร์ภาพสมอง
แพทย์รักษาผู้ป่วยกลุ่มอาการแอลไอเอสอย่างไร?
หลักการรักษาผู้ป่วยกลุ่มอาการ/โรคแอลไอเอสประกอบด้วย 4 ประการ คือ
* การรักษาแก้ไขสาเหตุ เช่น กรณีที่เกิดจากโรคหลอดเลือดสมอง ก็ต้องรักษาควบคุมโรคดัง กล่าว รวมทั้งปัจจัยเสี่ยงของการเกิดโรคหลอดเลือดสมองด้วย เช่น โรคเบาหวาน โรคความดันโลหิตสูง โรคไขมันในเลือดสูง เป็นต้น
* การรักษาตามอาการ เนื่องจากผู้ป่วยจะไม่สามารถเคลื่อนไหวร่างกายได้เลย ต้องนอนบนเตียงตลอดเวลา ไม่สามารถทานอาหารเองและลุกขึ้นขับถ่ายได้ ดังนั้นการรักษาต้องให้การช่วยเหลือในทุกๆกิจกรรมของการดำรงชีวิต และถ้าผู้ป่วยไม่สามารถหายใจได้เองก็ต้องใส่ท่อช่วยหายใจและใช้เครื่องช่วยหายใจร่วมด้วย
* การป้องกันไม่ให้เกิดภาวะแทรกซ้อน (ผลข้างเคียง) เช่น แผลกดทับ การสำลักอาหาร การติดเชื้อในปอด การติดเชื้อทางเดินปัสสาวะ เป็นต้น
ฝึกการสื่อสารระหว่างกัน ทั้งผู้ดูแลและผู้ป่วย
อนึ่ง
* การใช้ยาบำรุงสมองหรือใช้ผลิตภัณฑ์เสริมอาหาร จากหลักฐานการศึกษาทางการ แพทย์ ยังไม่พบว่ามีประโยชน์
* การรักษาด้วยการแพทย์สนับสนุน เช่น ฝังเข็ม ก็เป็นการกระตุ้นระบบประสาท และกล้ามเนื้อให้ดีขึ้น แต่ก็เป็นเพียงการเสริมกับการรักษาด้วยการแพทย์แผนปัจจุบันดัง กล่าวข้างต้น
* การจะรักษาผู้ป่วยที่โรงพยาบาลหรือที่บ้านนั้น ขึ้นกับว่าผู้ป่วยมีอาการที่รุนแรงระดับไหน เช่น สามารถหายใจได้เองหรือไม่ และญาติมีความพร้อมในการดูแลที่บ้านหรือ ไม่ กรณีที่สามารถหายใจได้เอง ไม่ต้องใช้เครื่องช่วยหายใจ ก็สามารถกลับมารักษาที่บ้านได้ เพียงแต่ผู้ดูแลต้องมีความพร้อมทั้งความรู้ในการดูแล สถานที่ และอุปกรณ์ทางการแพทย์ที่จำเป็นในการดูแลผู้ป่วย ซึ่งแพทย์ พยาบาลที่ดูแลผู้ป่วยจะเป็นผู้ให้คำแนะนำ
* เมื่อนำผู้ป่วยกลับมารักษาที่บ้าน ควรพบแพทย์ก่อนนัด หรือ รีบไปโรงพยาบาล เมื่อผู้ ป่วยมีอาการทรุดลง เช่น มีไข้ เสมหะเขียวข้น ปัสสาวะมีกลิ่นเหม็นและ/หรือขุ่นมากขึ้น มีแผลกดทับ หายใจเร็วขึ้น และ/หรือระดับความรู้สึกตัวเลวลง ซึ่งมักเกิดจากภา วะแทรกซ้อน (ผลข้างเคียง) จากที่ผู้ป่วยไม่สามารถเคลื่อนไหวร่างกายได้
กลุ่มอาการแอลไอเอสรักษาให้หายขาดหรือไม่?
การพยากรณ์โรค หรือ ผลการรักษากลุ่มอาการ/โรคแอลไอเอส นั้น เป็นโรคที่ไม่สามารถรัก ษาให้หายได้ เพราะสมองส่วน Pons ที่เสียหาย มีโอกาสฟื้นตัวได้ยากมาก โดยส่วนใหญ่แล้ว อา การมักจะไม่ตอบสนองต่อการรักษา การรักษามีวัตถุประสงค์หลักเพียงเพื่อป้องกันไม่ให้เกิดโรคซ้ำที่จะทำให้อาการรุนแรงขึ้น จนถึงเสียชีวิต ร่วมกับการฟื้นฟูสุขภาพ (เช่น การทำกายภาพบำบัด) เพื่อป้องกันภาวะแทรกซ้อน (ผลข้างเคียง) ต่างๆ ดังนั้นการรักษาที่ดีที่สุดในโรคนี้ คือ การป้องกันไม่ให้เกิดโรคนี้
สามารถป้องกันกลุ่มอาการแอลไอเอสได้หรือไม่?
กลุ่มอาการ/โรคแอลไอเอส พบได้ไม่บ่อย ที่พบได้มักเกิดจากโรคความดันโลหิตสูง หรือโรคหลอดเลือดสมองตีบ (โรคหลอดเลือดสมอง) ดังนั้นการป้องกันโรคแอลไอเอส คือ การป้อง กัน และการควบคุม โรคความดันโลหิตสูง และโรคหลอดเลือดสมองให้ได้ดี
นอกจากนั้น อีกสาเหตุของโรคแอลไอเอส คือ จากผู้ป่วยมีการเปลี่ยนแปลงระดับเกลือแร่และความเข้มข้นของเลือดอย่างรวดเร็ว (เช่น ผลข้างเคียงจากยาทางจิตเวชบางชนิด หรือ ในผู้ ป่วยโรคไต) ซึ่งการป้องกันการเปลี่ยนแปลงระดับเกลือแร่และความเข้มข้นของเลือด คือ การป้อง กันสาเหตุที่จะทำให้เกิดภาวะเปลี่ยนแปลงนั้นๆ ซึ่งก็คือ การดูแลรักษาสุขภาพกายสุขภาพจิตด้วย การรักษาสุขอนามัยพื้นฐาน (สุขบัญญัติแห่งชาติ) และการตรวจสุขภาพประจำปีสม่ำเสมอ
ขอบคุณข้อมูลจาก : http://haamor.com/th/อัมพาตทั้งตัว