แบบนี้เป็นปริทันต์มั้ยคับหรือเหงือกอักเสบ

กระทู้คำถาม
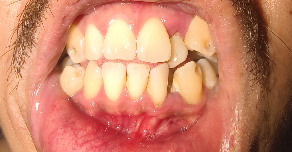
ตามรูปผมเป็นปริทันต์หรือเหงือกอักเสบคับ เหงือกด้านบนบวมปวดตุ่ยๆ เปนมาเกือบจะ3อาทิตย์แล้วคับ แล้วแสบร้อนในปากโดยเฉพาะด้านล่างเหงือกกับกระพุ้งแก้ม เกี่ยวกับที่เราอมน้ำยาบ้วนปากบ่อยมั่ยคับ เลยกังวลมากๆ ถ้าผมเป็นปริทันต์ระะยะไหนแล้วคับ แล้วเหงือกนี่ถือว่าร่นมากมั้ยคับ
แสดงความคิดเห็น
โปรดศึกษาและยอมรับนโยบายข้อมูลส่วนบุคคลก่อนเริ่มใช้งาน อ่านเพิ่มเติมได้ที่นี่