หน้าแรก
คอมมูนิตี้
ห้อง
แท็ก
คลับ
ห้อง
แก้ไขปักหมุด
ดูทั้งหมด
เกิดข้อผิดพลาดบางอย่าง
ลองใหม่
แท็ก
แก้ไขปักหมุด
ดูเพิ่มเติม
เกิดข้อผิดพลาดบางอย่าง
ลองใหม่
{room_name}
{name}
{description}
กิจกรรม
แลกพอยต์
อื่นๆ
ตั้งกระทู้
เข้าสู่ระบบ / สมัครสมาชิก
เว็บไซต์ในเครือ
Bloggang
Pantown
PantipMarket
Maggang
ติดตามพันทิป
ดาวน์โหลดได้แล้ววันนี้
เกี่ยวกับเรา
กฎ กติกา และมารยาท
คำแนะนำการโพสต์แสดงความเห็น
นโยบายเกี่ยวกับข้อมูลส่วนบุคคล
สิทธิ์การใช้งานของสมาชิก
ติดต่อทีมงาน Pantip
ติดต่อลงโฆษณา
ร่วมงานกับ Pantip
Download App Pantip
Pantip Certified Developer
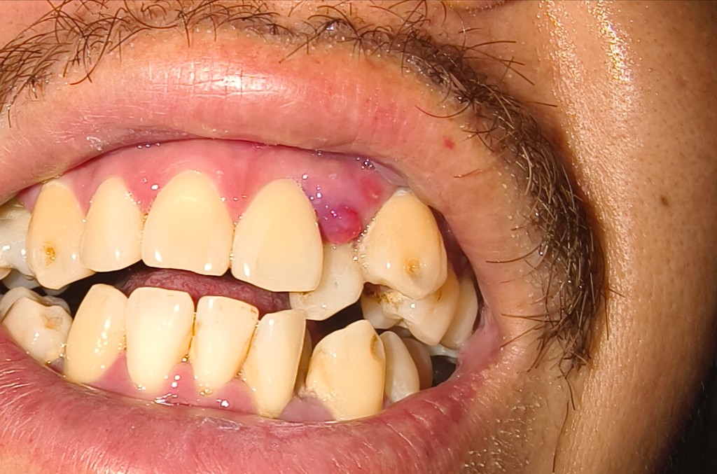
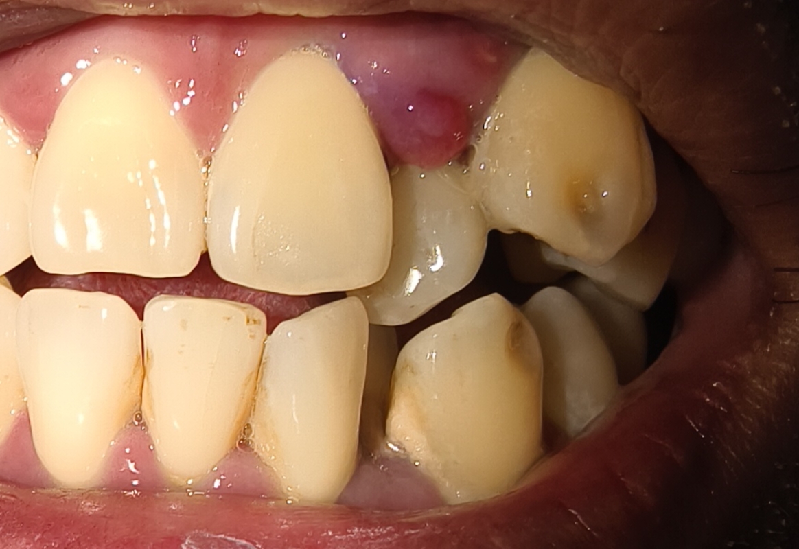
เหงือกบวมแดง
กระทู้สนทนา
ทันตกรรม
รบกวนสอบถามคับมีใครเคยเป็นบ้างคับ มีเหงือกบวมแดงยื่นออกมา แล้วมีอาการตุบๆที่เงือกกับฟัน กินยาทายาแล้วยังไม่หายคับ แต่ไม่ค่อยมีอาการปวดมากแค่มีอาการระคายเคือง รู้สึกกังวลใจคับ เครียดมากกลัวเป็นอะไรที่ร้ายแรงคับ รู้สึกวิตกกังวลมากๆ
แก้ไขข้อความเมื่อ
▼
กำลังโหลดข้อมูล...
▼
แสดงความคิดเห็น
กระทู้ที่คุณอาจสนใจ
== Late Shift (2025) คืนอันแสนสาหัส.. ของพยาบาลกะกลางคืน... ==
ฟลอเรีย พยาบาลผู้ทุ่มเทในห้องฉุกเฉิน หลังจากหยุดพักผ่อน.. เธอกลับมาสู้กับงานหนักอีกครั้ง โดยต้องเข้างานในกะดึกที่หนักหน่วงและผู้ป่วยเป็นจำนวนมาก แม้จะอยู่ภายใต้ความกดดัน แต่ฟลอเรียก็ทำหน้าที่ของตนอย
lunar_b
เจ็บคอ ปวดฟัน มีหนองบริเวรเหงือก ควรทำยังใงดีครับขอคำปรึกษาหน่อยครับ
ช่วยหน่อยคับอาการของผม คือผมเจ็บคอมากครับ แทบจะไม่อยากกลืนน้ำลายเลยอะครับกลืนแล้วเจ็บ คอมาก ไม่มีอาการไอหรือระคายเคืองใดๆทั้งนั้นและ ผมยังมีอาการปวดฟันมาก และผมสัมผัสได้ว่าเหงือกผมมันบวมและมีตุ่มเหลือ
สมาชิกหมายเลข 4307537
อุดฟันแล้วเหงือกบวม
คือผม ฟันหักและแตกคับ(ฟันหน้าครึ่งซีก)แต่ไม่ค่อยมีเวลาเลยปล่อยเอาไว้นาน จนฟันซีกที่แตกมันเหมือนกลิ่นเหม็นด้วย ผมจึงหยุดงานแล้วไปพบหมอที่คลีนิกว่าทำไงดี ฟันมันไม่โยก แต่มีอารปวด ถามหมอเขาบอกว่าอุดได้
สมาชิกหมายเลข 4566856
เหงือกบวมแบบไหน ? ต้องไปพบทันตแพทย์
หนึ่งในกิจวัตรประจำวันหลังตื่นนอนยามเช้าของคนเรา คือ การแปรงฟัน ผู้คนจำนวนมากให้ความสำคัญด้วยการเน้นแปรงฟันให้ขาวสะอาด เพื่อที่จะได้มีรอยยิ้มที่สวยงาม สะอาดตา ซึ่งช่วยส่ง
สมาชิกหมายเลข 6581133
เลือกยาสีฟันสำหรับการแปรงแห้งยี่ห้อไหนดี เทียบ2 สูตรยอดนิยมในไทย
ช่วงนี้กระแสแปรงแห้ง หรือ การที่เราไม่บ้วนน้ำหลังแปรงฟันกำลังมาแรงมากกก ซึ่งนับว่าเป็นวิธีแปรงฟันที่ทันตแพทย์ทุกคนแนะนำว่าดี เพราะการแปรงฟันแบบนี้จะดึงประสิทธิภาพของฟลูออไรด์ ให้สามารถเคลือบเพื่อป้องก
กล่องดินสอที่หายไป
ฟันสะอาด เหงือกแข็งแรง เริ่มง่ายๆ ด้วยการขูดหินปูนอย่างถูกวิธี
ฟันสะอาด เหงือกแข็งแรง เริ่มง่ายๆ ด้วยการขูดหินปูน อย่างถูกวิธี แปรงฟันทุกวัน ใช้น้ำยาบ้วนปากตลอด แต่ทำไมยังมีกลิ่นปาก เหงือกบวม หรือฟันเริ่มโยก? ปัญหาโลกแตกเหล่านี้มักมีต้นเหตุมาจาก "หินปูน&quo
Heysmile Dental Clinic
วันที่ประจำเดือนมาวันแรก ปวดหัว ปวดฟัน ปวดท้อง ในเวลาเดียวกัน .. ผญ ป้องกัน + รับมือกันยังไงคะ ?
วันแรกของการมีประจำเดือน ทุกเดือน เราไปทำงานไม่ไหวเลยค่ะ ต้องขอลาป่วย / work from home เนื่องจาก ปวดหัว ( ไมเกรน ) + ปวดเหงือกฟัน + ปวดท้อง พร้อมกัน ต้องนอนห้องแอร์เย็นๆ + กินยา Ponstan + ยาคลายกล้า
สมาชิกหมายเลข 8564134
5 สัญญาณเตือนว่าคุณควรขูดหินปูนได้แล้ว ก่อนเหงือกอักเสบลุกลาม
5 สัญญาณเตือนว่าคุณ ควรขูดหินปูน ได้แล้ว ก่อนเหงือกอักเสบลุกลาม หลายคนชอบคิดว่าคราบเหลืองๆ หรืออาการเหงือกบวมนิดหน่อยเป็นเรื่องปกติ แต่รู้ไหมครับว่านั่นคือสัญญาณเตือนของ “หินปูนสะสม” ซึ่ง
Heysmile Dental Clinic
ขูดหินปูนอย่างเดียวพอไหม? รวมคำตอบทุกข้อสงสัยที่คนกลัวจะถาม
ขูดหินปูนอย่างเดียวพอไหม? รวมคำตอบทุกข้อสงสัยที่คนกลัวจะถาม หลายคนชอบถามว่า “ขูดหินปูนจำเป็นไหม? ทำแล้วฟันโยกหรือเปล่า?” กระทู้นี้จะมาเคลียร์ทุกข้อสงสัยเกี่ยวกับการขูดหินปูน เพื่อให้ทุกคน
Heysmile Dental Clinic
ปวดฟันตุบๆ ตื่นมาเจอก้อนบวมตรงเหงือกที่ปวด
ค่ะ พน.จะไปหาหมอแล้วแต่กลัวอยู่นิดหน่อย คือ เราเคยปวดฟันอุด ตุ้บๆ ตามจังหวะหัวใจอ่ะ นอนไม่หลับ สองสามวันมันก็หายไปเป็นเดือน แล้วกลับมาปวดอีกตั้งแต่เมื่อสองวันก่อนเพราะเราคิดว่ามันคงหายเองได้ แต่มันไม
สมาชิกหมายเลข 4044367
อ่านกระทู้อื่นที่พูดคุยเกี่ยวกับ
ทันตกรรม
บนสุด
ล่างสุด
อ่านเฉพาะข้อความเจ้าของกระทู้
หน้า:
หน้า
จาก
แชร์ :
โปรดศึกษาและยอมรับนโยบายข้อมูลส่วนบุคคลก่อนเริ่มใช้งาน
อ่านเพิ่มเติมได้ที่นี่
ยอมรับ
เหงือกบวมแดง