"กระดูกหัก จะเดินไม่ได้ ถ้ายังเดินได้ แสดงว่า กระดุกไม่หัก " ไม่จริงเสมอไป ?
กรณีตัวอย่าง
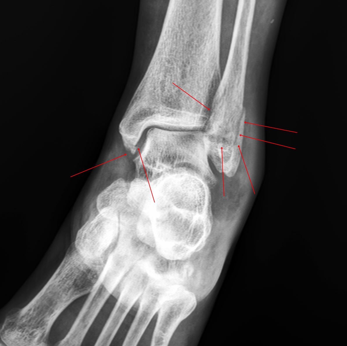
ผู้ป่วยหญิง อายุ 74 ปี ปวดบวมข้อเท้าซ้าย เท้าซ้าย เดินกะเผลก 5 วัน เริ่มมีอาการ หลังจากลื่นล้ม ไปพบแพทย์ บอกว่า กระดูกไม่หัก ไม่ได้เอกซเรย์ แต่มาตรวจเพราะสงสัยว่า ทำไมยังบวมอยู่ (ผู้ป่วยและญาติ ก็คิดว่า กระดูกไม่หักเพราะยังเดินได้)
ตรวจร่างกาย ข้อเท้าและเท้าบวม เดินกะเผลก ไม่สามารถยืนลงน้ำหนักขาข้างซ้ายข้างเดียว กดเจ็บด้านในและด้านนอกข้อเท้า แต่หลังเท้ากดไม่เจ็บ ส่งเอกซเรย์ข้อเท้า พบมีกระดูกข้อเท้าซ้ายแตก เลื่อนนิดหน่อย
แนะนำใส่เฝือก แต่ผู้ป่วยปฏิเสธ ขอไปรักษาน้ำมัน เพราะเคยกระดูกต้นขาหัก ก็ไม่ได้ผ่า ใส่เฝือกไม้ไผ่ น้ำมันนวด ก็หาย
อธิบาย ข้อดีข้อเสีย แต่ ผู้ป่วยและญาติ ยืนยันเหมือนเดิมว่า ไม่ใส่เฝือก ก็ตามนั้น
ข้อคิดฝากไว้ สำหรับ แพทย์ พยาบาล เจ้าหน้าที่ ..
- ควรหลีกเลี่ยงคำพูดทำนอง ถ้ากระดุกหักก็เดินไม่ได้แล้ว ไม่ต้องเอกซเรย์ อย่าพึ่งมั่นใจ ต้องตรวจให้แน่ชัด ถ้าไม่แน่ใจ ไม่มั่นใจจริง ๆ ก็ส่งเอกซเรย์ไปก่อน เพราะ เดี๋ยวนี้ ถ้าพลาดท่านอาจเจ็บหนักกว่าผู้ป่วย
- วิธีตรวจ the Ottawa Ankle Ruleปรับใช้ได้ ถ้ายืนขาเดียวไม่ไหว ก้ให้สงสัยไว้ก่อนว่า อาจมีอะไรผิดปกติ กระดูก?เส้นเอ็น? (ถ้าผู้ป่วยนั่งรถเข็นหรือนอนเปล ก็ต้องตรวจวิธีอื่น)
- ใน ผู้สูงวัยอาจมีปัญหา กระดูกพรุน ทำให้กระดูกแตกหักง่ายกว่าปกติ ล้มเล็กน้อยก็หักได้ เผื่อรักษาไปพร้อมกัน
ข้อเท้าพลิก ข้อเท้าเคล็ด ( ankle sprain ) .. แถม the Ottawa Ankle Rule
https://www.bloggang.com/viewblog.php?id=cmu2807&date=21-06-2008&group=6&gblog=15
กระดูกหัก รักษาอย่างไรดี
https://www.bloggang.com/viewblog.php?id=cmu2807&date=23-12-2007&group=6&gblog=1
การรักษาด้วยวิธีใส่ เฝือก
https://www.bloggang.com/viewblog.php?id=cmu2807&date=01-02-2008&group=6&gblog=5
กระดูกพรุน กระดูกโปร่งบาง
https://www.bloggang.com/viewblog.php?id=cmu2807&date=27-02-2008&group=5&gblog=55
การตรวจวัดความหนาแน่นของกระดูก (BONE DENSITOMERY)
https://www.bloggang.com/viewblog.php?id=cmu2807&date=29-02-2008&group=5&gblog=56
กระดูกหัก จะเดินไม่ได้ ถ้ายังเดินได้ แสดงว่า กระดุกไม่หัก .. ไม่จริงเสมอไป ?
"กระดูกหัก จะเดินไม่ได้ ถ้ายังเดินได้ แสดงว่า กระดุกไม่หัก " ไม่จริงเสมอไป ?
กรณีตัวอย่าง
ผู้ป่วยหญิง อายุ 74 ปี ปวดบวมข้อเท้าซ้าย เท้าซ้าย เดินกะเผลก 5 วัน เริ่มมีอาการ หลังจากลื่นล้ม ไปพบแพทย์ บอกว่า กระดูกไม่หัก ไม่ได้เอกซเรย์ แต่มาตรวจเพราะสงสัยว่า ทำไมยังบวมอยู่ (ผู้ป่วยและญาติ ก็คิดว่า กระดูกไม่หักเพราะยังเดินได้)
ตรวจร่างกาย ข้อเท้าและเท้าบวม เดินกะเผลก ไม่สามารถยืนลงน้ำหนักขาข้างซ้ายข้างเดียว กดเจ็บด้านในและด้านนอกข้อเท้า แต่หลังเท้ากดไม่เจ็บ ส่งเอกซเรย์ข้อเท้า พบมีกระดูกข้อเท้าซ้ายแตก เลื่อนนิดหน่อย
แนะนำใส่เฝือก แต่ผู้ป่วยปฏิเสธ ขอไปรักษาน้ำมัน เพราะเคยกระดูกต้นขาหัก ก็ไม่ได้ผ่า ใส่เฝือกไม้ไผ่ น้ำมันนวด ก็หาย
อธิบาย ข้อดีข้อเสีย แต่ ผู้ป่วยและญาติ ยืนยันเหมือนเดิมว่า ไม่ใส่เฝือก ก็ตามนั้น
ข้อคิดฝากไว้ สำหรับ แพทย์ พยาบาล เจ้าหน้าที่ ..
- ควรหลีกเลี่ยงคำพูดทำนอง ถ้ากระดุกหักก็เดินไม่ได้แล้ว ไม่ต้องเอกซเรย์ อย่าพึ่งมั่นใจ ต้องตรวจให้แน่ชัด ถ้าไม่แน่ใจ ไม่มั่นใจจริง ๆ ก็ส่งเอกซเรย์ไปก่อน เพราะ เดี๋ยวนี้ ถ้าพลาดท่านอาจเจ็บหนักกว่าผู้ป่วย
- วิธีตรวจ the Ottawa Ankle Ruleปรับใช้ได้ ถ้ายืนขาเดียวไม่ไหว ก้ให้สงสัยไว้ก่อนว่า อาจมีอะไรผิดปกติ กระดูก?เส้นเอ็น? (ถ้าผู้ป่วยนั่งรถเข็นหรือนอนเปล ก็ต้องตรวจวิธีอื่น)
- ใน ผู้สูงวัยอาจมีปัญหา กระดูกพรุน ทำให้กระดูกแตกหักง่ายกว่าปกติ ล้มเล็กน้อยก็หักได้ เผื่อรักษาไปพร้อมกัน
ข้อเท้าพลิก ข้อเท้าเคล็ด ( ankle sprain ) .. แถม the Ottawa Ankle Rule
https://www.bloggang.com/viewblog.php?id=cmu2807&date=21-06-2008&group=6&gblog=15
กระดูกหัก รักษาอย่างไรดี
https://www.bloggang.com/viewblog.php?id=cmu2807&date=23-12-2007&group=6&gblog=1
การรักษาด้วยวิธีใส่ เฝือก
https://www.bloggang.com/viewblog.php?id=cmu2807&date=01-02-2008&group=6&gblog=5
กระดูกพรุน กระดูกโปร่งบาง
https://www.bloggang.com/viewblog.php?id=cmu2807&date=27-02-2008&group=5&gblog=55
การตรวจวัดความหนาแน่นของกระดูก (BONE DENSITOMERY)
https://www.bloggang.com/viewblog.php?id=cmu2807&date=29-02-2008&group=5&gblog=56