หน้าแรก
คอมมูนิตี้
ห้อง
แท็ก
คลับ
ห้อง
แก้ไขปักหมุด
ดูทั้งหมด
เกิดข้อผิดพลาดบางอย่าง
ลองใหม่
แท็ก
แก้ไขปักหมุด
ดูเพิ่มเติม
เกิดข้อผิดพลาดบางอย่าง
ลองใหม่
{room_name}
{name}
{description}
กิจกรรม
แลกพอยต์
อื่นๆ
ตั้งกระทู้
เข้าสู่ระบบ / สมัครสมาชิก
เว็บไซต์ในเครือ
Bloggang
Pantown
PantipMarket
Maggang
ติดตามพันทิป
ดาวน์โหลดได้แล้ววันนี้
เกี่ยวกับเรา
กฎ กติกา และมารยาท
คำแนะนำการโพสต์แสดงความเห็น
นโยบายเกี่ยวกับข้อมูลส่วนบุคคล
สิทธิ์การใช้งานของสมาชิก
ติดต่อทีมงาน Pantip
ติดต่อลงโฆษณา
ร่วมงานกับ Pantip
Download App Pantip
Pantip Certified Developer
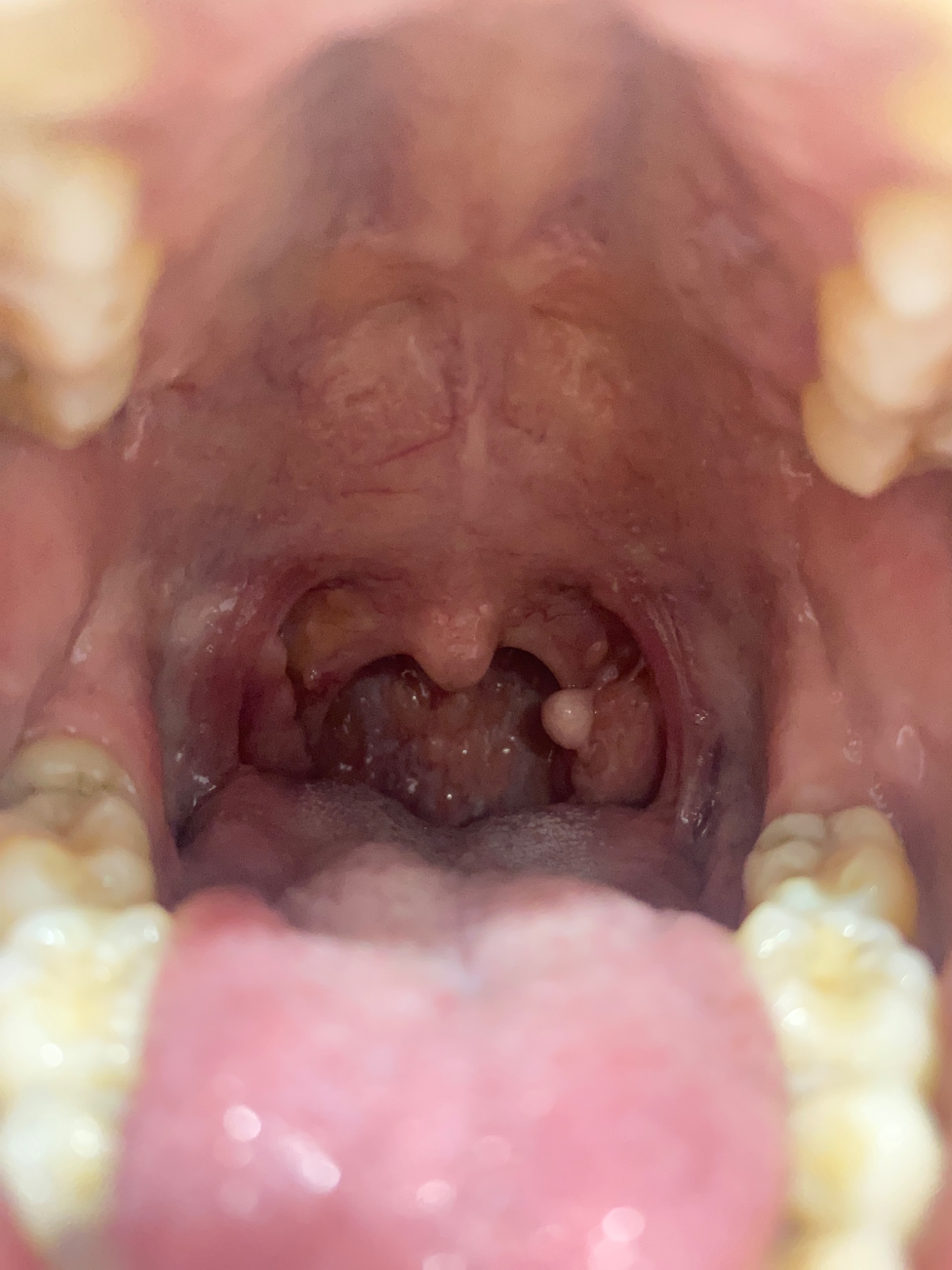
สวัสดีค่ะ ขออนุญาตสอบถามเกี่ยวกับปัญหาช่องปากค่ะ
กระทู้คำถาม
แพทย์
พอดีหนูมีติ่งเนื้อตรงทอนซิลค่ะ กังวลมากค่ะ มีใครพอจะทราบมั้ยค่ะ ว่าคืออะไร
▼
กำลังโหลดข้อมูล...
▼
แสดงความคิดเห็น
กระทู้ที่คุณอาจสนใจ
ตะคริวกินเวลาเล่นแบด
ทุกครั้งเวลาตีแบดหรือตีออกแรงเยอะมากๆ หรือกระโดดขึ้นตบลูกตะคริวจะกินน่องตลอดเลยครับ บางทีแค่ตั้งท่ายืนตบลูกมันก็กินแล้ว เป็นเฉพาะตอนตั้งท่าตบลูกและตอนขึ้นฟาดครับ แต่ตอนวิ่งทั่วสนามก็ปกติเลย สาเหตุเกิด
สมาชิกหมายเลข 6156210
แยมบลูเบอร์รี่ยี่ห้อนึง มีเศษสีดำแบบนี้คืออะไร
https://www.dropbox.com/scl/fi/k03i63aixakl06hkssuvc/IMG_20260207_202148_047-2.jpg?rlkey=o2x8jl6oqsepum7nywmt58dyh&st=rrlg22e4&dl=0 ซื้อแยมบลูเบอร์รี่มา มีเศษดำๆแบบนี้คืออะไรครับ
สมาชิกหมายเลข 3415269
ใครเคยสอบห้องSMTของเพชรพิทยาคมบ้าง
อยากคุยกับรุ่นพี่ครับมาแชร์ประสบการณ์หน่อย🆘
สมาชิกหมายเลข 8124647
หลังผ่าทอนซิลได้เกือบ1เดือนมีติ่งเล็กๆเป็นปกติของแผลไหมครับ?
ตามภาพเลยครับ มีติ่งเนื้อเล็กๆนี่ปกติของแผลไหมครับ แล้วทอนซิลสามารถเกิดซ้ำได้หรือป่าว ใครเคยผ่าแล้วแผลเป็นแบบผมบ้างครับ ตอนนี้เครียดมากครับ กลับว่าจะเป็นทอนซิลอีกรอบแล้วได้ผ่าตัดรอบ2
สมาชิกหมายเลข 8776225
ตรงบริเวณฟรีนุ่ม มีติ่งเนื้อครับ อันตรายไหมถ้าปล่อยไว้
สอบถามหน่อยครับ คือในช่องปากผม ตรงบริเวณเอ็นยึดเหงือกกับปาก หรือ ฟรีนุ่ม มันมีติ่งเนื้อ ขยับได้ เหมือนก้อนอะไรมาติด ไม่แน่ใจว่าจะอันตรายหรือป่าวครับ กังวลมาก
สมาชิกหมายเลข 5712565
บริเวณใต้ลิ้นมีติ่งแบบนี้ขึ้นมาคืออะไรคะ
สวัสดีค่ะ ขอสอบถาม คือว่าใต้ลิ้นของเรามีมีติ่งเนื้อแบบนี้ขึ้นมาค่ะ -ก่อนหน้านี้เราเป็นเริมที่ปาก *ไม่เคยมีเพศสัมพันธ์* ได้ทำการกินยาฆ่าเชื้อที่ซื้อโดยเภสัช และรู้สึกเจ็บที่ใต้ลิ้นมากค่ะเวลาทานของเผ
สมาชิกหมายเลข 9241230
มีติ่งเนื้อในช่องปากลูกสาว มันคือติ่งอะไรค่ะ
ทันตกรรม สุขภาพเด็กและทารก คือลูกสาวเลิกเรียนมาบอกว่าไม่รู้อะไรติดฟันหนู เลยให้ลูกอ่าปากดูเจอติ่งเนื้อในช่องปากลูก หาข้อมูล ในเน๊ต ก็ไม่มี อยากรุ้ว่าคืออะไรค่ะ ใ
สมาชิกหมายเลข 8274860
ทอนซิล สโตน (Tonsil stones) หรือง่ายๆ โรคปากเหม็น
สวัสดีทุกคนนะคะ นี่เป็นกระทู้แรกที่แท็กห้องประเภทนี้ เนื่องจากหนูเป็น ทอลซิลสโตน (Tonsil stones) หรือโรคที่หนูอยากให้เปลี่ยนมาเรียกง่ายๆเลยคือ " โรคปากเหม็น" และหนูก็เป็นมาประมาณ2-3ปีแล้ว
สมาชิกหมายเลข 2022452
ผ่าตัดเอาต่อมทอนซิลออกเจ็บมั้ยค่ะ??
เป็นเกี่ยวกับทอนซิลมานานแล้วแต่ไม่โตเท่าไรวันนี้เลยไปหาหมอเพราะไม่สบายหมอก็บอกว่าต้องตัดทอนซิลได้แล้วน่ะมันโตเกินไป....ตอนตัดเจ็บมั้ยค่ะ?พอตัดแล้วอาการจะเป็นยังไงค่ะ?เสียงจะเหมือนเดิมมั้ย?ต้องนอนรพ.นา
สมาชิกหมายเลข 2089495
ติ่งเนื้อ vestibular
เนื่องจากมีผู้หญิงหลายคน ได้ลองส่องดูน้องหนูของตัวเองแล้วพบติ่งเนื้อเล็กๆสีชมพูขึ้นบริเวณแคมเล็กของอวัยวะเพศหญิง แล้วมีความกังวลว่าตัวเองจะเป็นโรคติดต่อทางเพศหรือไม่ บางคนที่ยังไม่เคยมีเพศสัมพันธ์พลอย
สมาชิกหมายเลข 1406175
อ่านกระทู้อื่นที่พูดคุยเกี่ยวกับ
แพทย์
บนสุด
ล่างสุด
อ่านเฉพาะข้อความเจ้าของกระทู้
หน้า:
หน้า
จาก
แชร์ :
โปรดศึกษาและยอมรับนโยบายข้อมูลส่วนบุคคลก่อนเริ่มใช้งาน
อ่านเพิ่มเติมได้ที่นี่
ยอมรับ
สวัสดีค่ะ ขออนุญาตสอบถามเกี่ยวกับปัญหาช่องปากค่ะ