หน้าแรก
คอมมูนิตี้
ห้อง
แท็ก
คลับ
ห้อง
แก้ไขปักหมุด
ดูทั้งหมด
เกิดข้อผิดพลาดบางอย่าง
ลองใหม่
แท็ก
แก้ไขปักหมุด
ดูเพิ่มเติม
เกิดข้อผิดพลาดบางอย่าง
ลองใหม่
{room_name}
{name}
{description}
กิจกรรม
แลกพอยต์
อื่นๆ
ตั้งกระทู้
เข้าสู่ระบบ / สมัครสมาชิก
เว็บไซต์ในเครือ
Bloggang
Pantown
PantipMarket
Maggang
ติดตามพันทิป
ดาวน์โหลดได้แล้ววันนี้
เกี่ยวกับเรา
กฎ กติกา และมารยาท
คำแนะนำการโพสต์แสดงความเห็น
นโยบายเกี่ยวกับข้อมูลส่วนบุคคล
สิทธิ์การใช้งานของสมาชิก
ติดต่อทีมงาน Pantip
ติดต่อลงโฆษณา
ร่วมงานกับ Pantip
Download App Pantip
Pantip Certified Developer
ตุ่มแดง ๆ ในแผลถอนฟัน
กระทู้คำถาม
ทันตกรรม
คลินิกทันตกรรม
ทันตแพทย์
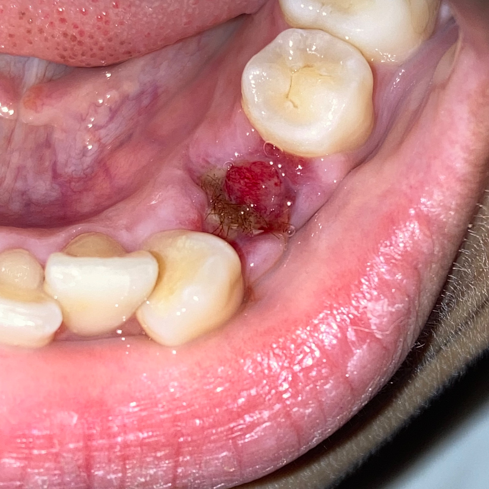
รูปแรกคือวันที่ไปหาหมอแล้วหมอบอกเป็น Dry socket ให้ยาไอบูโพรเฟนกับใส่ยาแก้ปวดในแผลให้ นัดเปลี่ยนยาวันเว้นวัน
เมื่อวานไปใส่ยา บอกหมอว่าไม่ปวดแผลแล้วแต่รู้สึกปวด ๆ แถวเหงือก หมอก็ไม่ว่าอะไร พอกลับบ้านมายาดันหลุด แล้วเห็นตุ่มแดง ๆ เล็ก ๆ (รูป 2 ) นึกว่าเหงือก
พอมาวันนี้ตุ่มบวมขึ้นมาก (รูป 3) เมื่อกี้มีเลือดไหลออกมา แบบนี้คืออาการอะไรหรอคะ
กังวลมากเลยค่ะ ต้องรอไปพบหมออีกวันจันทร์ เพราะเสาร์อาทิตย์ แผนกทันตกรรมปิด
▼
กำลังโหลดข้อมูล...
▼
แสดงความคิดเห็น
กระทู้ที่คุณอาจสนใจ
เหงือกเป็นหนอง
ไปหาทันตแพทย์เมื่อต้นเดือน ด้วยอาการเหงือกเป็นหนอง แต่ไม่ปวดฟันเลย หมอตรวจ และนัดรักษารากฟัน เกือบกลางเดือนพฤศจิกายนค่ะ โดยหมอสั่งอะม๊อกซี่500 ให้กิน7 วันๆละ3เม
สมาชิกหมายเลข 1469157
ระบายและอยากร้องเรียนค่ะ
วันนี้ไปหาหมอที่โรงพยาบาลเกษมราฏบางแคมาค่ะ ไม่ได้เจอหมอ คุยผ่านทางโทรศัพท์ แล้วหมอจ่ายยา เพราะ หมอหูคอจมูกไม่มี คลินิคปิด แต่เราไปตั้งแต่ 3 โมง รอผล ATK เลยไม่ท
สมาชิกหมายเลข 2596775
หมอใส่ยาที่แผลถอนฟันให้
อยากทราบว่าไปถอนฟันคุดมา จากวันที่ถอน วันนี้วันที่ 5 แล้วค่ะ แต่มีอาการปวดมากก ยาแก้ปวดกินไปก็ได้แค่บรรเทา พอยาหมดฤทธิ์ก็ปวดหนักอีก เลยตัดสินใจเข้าหาหมอที่คลินิ
สมาชิกหมายเลข 8041949
สอบถามตัวยาตัวนี้ค่ะ
สวัสดีค่ะ หนูไปผ่าฟันคุดที่โรงพยาบาลมาได้ 6 วันแล้ว สองวันแรกปวดปกติ ได้ทานยาพารากับยาUMAFEN-200ไป แต่พอเข้าวันที่สามตอนกลางดึกมีอาการปวดมาก ตอนเช้าวันถัดมาจึงไ
สมาชิกหมายเลข 4009245
ผ่าฟันคุดได้ 3 วัน ไหมหลุด และยังปวดอยู่ ต้องกลับไปหาหมอไหมคะ?
เพิ่งผ่าฟันคุดมาได้ 3 วัน ไหมหลุดซะงั้น แต่ยังรู้สึกปวดอยู่เลย ยิ่งฤิทธิ์ยาหมด จะปวดตุบๆๆ ไม่มากขนาดทนไม่ไหว ดูสภาพแผลเป็นรูโบ๋เลยค่ะ เห็นเบ้าฟันสีขาวข้างใน แผล
สมาชิกหมายเลข 2895150
แบบนี้เป็นอะไรคะ เครียดมากเลยค่ะ
ภาพที่1 ก่อนหน้านี้เป็นแผลคีย์ลอยจากการเกิดอุบัติเหตุเป็นมานานแล้ว แต่เริ่มเป็นผื่นคันขึ้นนิดหน่อยตามภาพ ภาพที่2 เริ่มเป็นหนักขึ้น ภาพที่3 หนักมากและมีหนอง มีใค
สมาชิกหมายเลข 8724700
ทำไมผู้ชาย (ผิวขาว) ถึงมีสีตรงหัวนมแตกต่างกัน บางคนนมคล้ำ บางคนนมชมพู
ทั้งที่เป็นคนผิวขาว ทำไมสีของหัวนม ถึงคล้ำแตกต่างกัน สงสัย 🧐🧐 ใครรู้ มาอธิบายที
แพรนรินทร์
เป็นผื่นแบบนี้ใกล้เคียงกันโรคอะไรครับ ผู้รู้ช่วยทีครับ กังวลมาก
พอดีพึ่งสังเกตุตอนแรกคันเฉยๆไม่เคยมองดูดีๆ ว่าเป็นผื่นแดงมีขุยสีขาว มันใกล้เคียงกับโรคอะไรครับ ผมนี่กลัวเป็นสะเก็ดเงินมาก้ลยกังวลนอนไม่หลับ
สมาชิกหมายเลข 4863451
กระทรวงแรงงานปรับปรุงสิทธิประโยชน์ด้านทันตกรรมครั้งใหญ่สำหรับผู้ประกันตน ม.33 และ ม.39
กระทรวงแรงงานปรับปรุงสิทธิประโยชน์ด้านทันตกรรมครั้งใหญ่สำหรับผู้ประกันตน ม.33 และ ม.39 โดยเพิ่มการเข้าถึงบริการในโรงพยาบาลรัฐแบบไม่ต้องสำรองจ่าย ไม่จำกัดจำนวนคร
สมาชิกหมายเลข 2933266
เช็คด่วน! อาการ "เสียวฟัน" 4 ระดับของคุณรุนแรงแค่ไหน?
สวัสดีค่ะเพื่อนๆ หมอส้ม จากคลินิกทันตกรรมต้นส้มค่ะ 😊 จบช่วงหยุดยาวสงกรานต์กันไปแล้ว หวังว่าทุกคนจะได้ชาร์จแบต พักผ่อน และเต็มอิ่มกับอาหารมื้ออร่อยร่วมกับครอบคร
คลินิกทันตกรรมต้นส้ม
อ่านกระทู้อื่นที่พูดคุยเกี่ยวกับ
ทันตกรรม
คลินิกทันตกรรม
ทันตแพทย์
บนสุด
ล่างสุด
อ่านเฉพาะข้อความเจ้าของกระทู้
หน้า:
หน้า
จาก
แชร์ :
โปรดศึกษาและยอมรับนโยบายข้อมูลส่วนบุคคลก่อนเริ่มใช้งาน
อ่านเพิ่มเติมได้ที่นี่
ยอมรับ
ตุ่มแดง ๆ ในแผลถอนฟัน
เมื่อวานไปใส่ยา บอกหมอว่าไม่ปวดแผลแล้วแต่รู้สึกปวด ๆ แถวเหงือก หมอก็ไม่ว่าอะไร พอกลับบ้านมายาดันหลุด แล้วเห็นตุ่มแดง ๆ เล็ก ๆ (รูป 2 ) นึกว่าเหงือก
พอมาวันนี้ตุ่มบวมขึ้นมาก (รูป 3) เมื่อกี้มีเลือดไหลออกมา แบบนี้คืออาการอะไรหรอคะ
กังวลมากเลยค่ะ ต้องรอไปพบหมออีกวันจันทร์ เพราะเสาร์อาทิตย์ แผนกทันตกรรมปิด