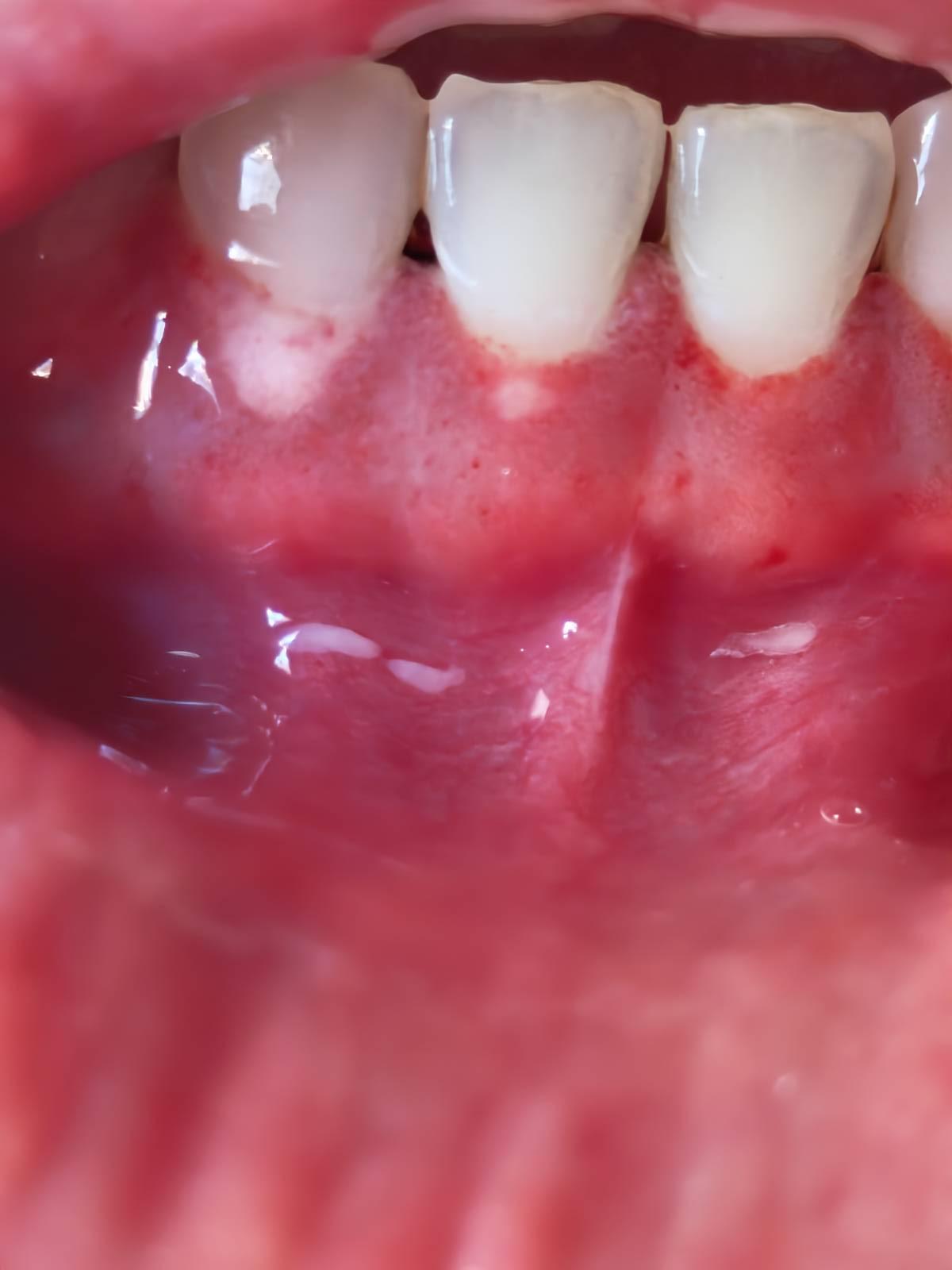
สวัสดีครับ เมื่ออาทิตย์ที่ผ่านมา จู่ๆก็เกิดอาการปวดเหงือกทุกซี่ จะว่าเหมือนเหงือกร่นก็ไม่ใช่ครับ มันบวมแดงหมดเลย บวกกับแผลที่กระพุ้งแก้ม เมื่อเอาลิ้นไปสัมผัสแล้วรู้สึกชา ๆ บนเพดานปากก็เช่นกัน หากกินร้อนๆก็จะมีอาการครับ บริเวณริมฝีปากจะมีตุ่มคล้ายเริมแต่ก็ไม่เหมือนครับ แตะแล้วเจ็บๆ ตามรูปที่สปอยเลยครับ
[Spoil] คลิกเพื่อดูข้อความที่ซ่อนไว้
และเหมือนมีแผลร้อนในใต้ร่องเหงือกด้วยครับ
[Spoil] คลิกเพื่อดูข้อความที่ซ่อนไว้
ผ่านไป 7 วัน เมื่อวานเลยเข้าไปปรึกษาทันตแพทย์ของอนามัย เค้าบอกว่าเป็นเพราะคราบหินปูน แผลอาจจะเพราะพักผ่อนน้อยเป็นร้อนใน แต่หินปูนก็ไม่ได้เยอะขนาดนั้นครับ แปรงฟันก็ไม่ได้แรงมาก
ส่วนตัวเกรงว่าจะเป็นโรคที่ร้ายแรงกว่านั้น เลยอยากลองมาปรึกษาเพื่อนๆพี่ๆดูครับ ถ้าอีก 3 วันอาการไม่ดีขึ้น น่าจะไปโรงพยาบาลแทนแล้วครับ กลัวเป็นมะเร็ง 😅
ใครเคยเป็นอาการแบบนี้ไหมครับ ไม่ใช่เริม มีแผลในปาก เหงือกอักเสบ
[Spoil] คลิกเพื่อดูข้อความที่ซ่อนไว้
และเหมือนมีแผลร้อนในใต้ร่องเหงือกด้วยครับ
[Spoil] คลิกเพื่อดูข้อความที่ซ่อนไว้
ผ่านไป 7 วัน เมื่อวานเลยเข้าไปปรึกษาทันตแพทย์ของอนามัย เค้าบอกว่าเป็นเพราะคราบหินปูน แผลอาจจะเพราะพักผ่อนน้อยเป็นร้อนใน แต่หินปูนก็ไม่ได้เยอะขนาดนั้นครับ แปรงฟันก็ไม่ได้แรงมาก
ส่วนตัวเกรงว่าจะเป็นโรคที่ร้ายแรงกว่านั้น เลยอยากลองมาปรึกษาเพื่อนๆพี่ๆดูครับ ถ้าอีก 3 วันอาการไม่ดีขึ้น น่าจะไปโรงพยาบาลแทนแล้วครับ กลัวเป็นมะเร็ง 😅