อยากจัดฟันมากแต่เป็นเคสยากคลินิคไม่รับเลยแนะนำให้ไปโรงพยาบาล ควรไปปรึกษาโรงพยาบาลไหนดีคะ

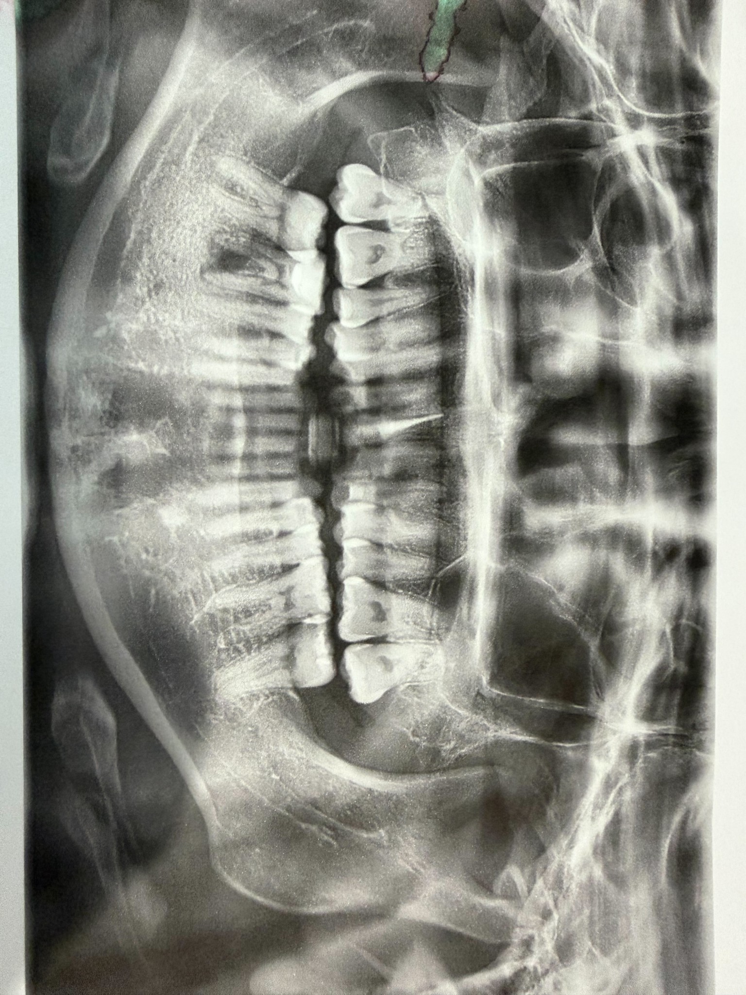
ขอสอบถามค่ะ พอดีเรามีปัญหารากฟัน ฟันล่างยื่นออกมา และอื่นๆตามภาพฟิล์มเลยค่ะ เคยไปสอบถามคลินิค เขาบอกว่าเป็นงานยากส่วนใหญ่ไม่รับเลย ให้ไปที่โรงพยาบาล เราไม่ทราบรายละเอียดเลย ปกติโรงพยาบาลจัดฟันได้ด้วยหรอคะ แล้วปกติส่วนมากจะไปที่โรงพยาบาลไหนกัน สอบถามผู้รุ้หน่อยค่ะ
แสดงความคิดเห็น
โปรดศึกษาและยอมรับนโยบายข้อมูลส่วนบุคคลก่อนเริ่มใช้งาน อ่านเพิ่มเติมได้ที่นี่