สวัสดีค่ะ ขออนุญาตปรึกษาเรื่องสุขภาพน้องหมาหน่อยนะคะ💖
น้องสุนัขน้ำหนัก 15 kg. เรื่องพันธุ์เราไม่แน่ใจค่ะ น้องเป็นหมาจร อายุประมาณสี่ปี
มีอาการอาเจียนเรื้อรังค่ะ 1 วันอาเจียนประมาณ 5-6 ครั้ง น้องอาเจียนได้ร่วมปีแล้ว ไปรักษากับคลินิกสัตว์และรพ.สัตว์ในลำปางมาสามที่แล้ว (ขออนุญาตไม่เปิดเผยชื่อนะคะ) แต่น้องก็ยังไม่ดีขึ้นค่ะ
ลักษณะของอาหารที่อาเจียนออกมายังเป็นรูปทรงอยู่ เหมือนน่าจะยังไม่ได้ย่อยค่ะ กินข้าวสัก 10-15 นาทีอาเจียนออกมาแล้ว แต่กินอาหารได้ปกตินะคะ ส่วนการขับถ่ายเนื่องจากเลี้ยงระบบปล่อยเลยไม่เห็นน้องขับถ่ายเลยค่ะเพราะมักจะไปทำธุระกันข้างนอก น้องเคยกินยาจำพวก ลดอาเจียน, ลดกรดในกระเพาะ, เคลือบกระเพาะ มาแล้ว แต่ก็ยังไม่ดีขึ้นค่ะ เคยไปเอกซเรย์คุณหมอบอกไม่มีปัญหาอะไร ส่วนอัลตราซาวด์คร่าว ๆ ว่ามีแผลในกระเพาะอาหารจนเห็นเป็นพังผืดในกระเพาะค่ะ ทำได้แต่ให้ยาไปเรื่อย ๆ แต่ก็ยังไม่ดีขึ้นค่ะ น้องกินยาไปแล้วอ้วกออกมากับอาหารบ้างก็มี เดี๋ยวนี้ช่วงนอนน้องจะครางหนักมากด้วยค่ะ ขออนุญาตส่งผลอัลตราซาวด์ให้ผู้มีความรู้ด้านนี้พิจารณาหน่อยนะคะ ว่าสามารถมีแนวทางการรักษาได้อย่างไรบ้าง ผ่าตัดได้ไหม หรือฉีดยาอะไรได้บ้างไหม ขอบคุณค่ะ🙇🏻♀️ เพื่อน ๆ คนอื่นก็สามารถแสดงความคิดเห็นได้เลยค่ะ เผื่อน้องหมามีอาการคล้าย ๆ กันจะได้มาแชร์กันค่ะ🥹
อีกเรื่องคือ เราพยายามหาคลินิกและรพ.สัตว์ในลำปางเรื่อง ๆ ที่คิดว่าสามารถรักษาน้องในระยะยาวให้หายและดีขึ้นได้ค่ะ ตอนนี้สนใจคลินิกสัตว์ยิ้มหวานอยู่ แต่หาช่องทางออนไลน์พวก เฟสหรือไลน์คลินิกไม่ได้เลยค่ะ ใครที่มีคอนแทคคลินิก เราขอคอนแทคหน่อยนะคะ🙇🏻♀️ หรือมีคลินิกและโรงพยาบาลในลำปางที่ใส่ใจน้อง ราคาสมเหตุสมผล หรือมีคุณหมอที่เชี่ยวชาญด้านกระเพาะสามารถแจ้งได้เลยนะคะ เราไม่ได้อยู่ในตัวเมืองลำปาง แต่หากมีที่ไหนที่น่าสนใจเราจะพยายามพาน้องไปให้ได้ค่ะ ปีที่ผ่านมาบ้านเราหมดค่ารักษากับน้องกันไปร่วมหลักหลายหมื่น ถึงแม้จะยังหาเช้ากินค่ำกันอยู่ จนหมดกำลังใจในการรักษาน้องแล้วค่ะ แต่การที่ได้ยินเสียงน้องครางช่วงกลางคืนทุกวัน เป็นความทรมานที่พูดออกมาไม่ได้เลยค่ะเราเลยอยากรักษาน้องให้ถึงที่สุด ขอบคุณที่อ่านมาจนถึงตรงนี้นะคะ
ขอบคุณทุกคนค่ะ🙇🏻♀️🙇🏻♀️
ปรึกษาอาการน้องหมาหน่อยค่ะ & หาคลินิกสัตว์ในลำปาง
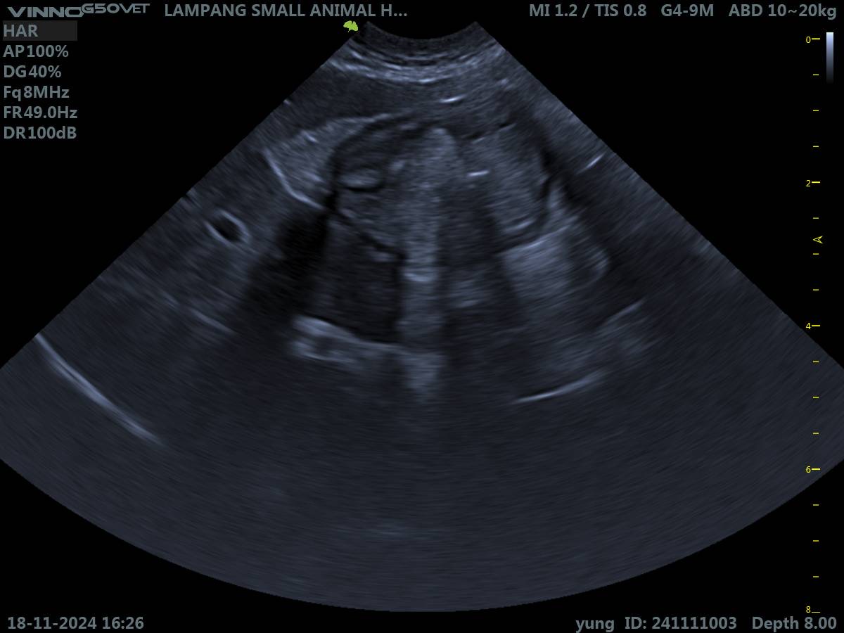
น้องสุนัขน้ำหนัก 15 kg. เรื่องพันธุ์เราไม่แน่ใจค่ะ น้องเป็นหมาจร อายุประมาณสี่ปี
มีอาการอาเจียนเรื้อรังค่ะ 1 วันอาเจียนประมาณ 5-6 ครั้ง น้องอาเจียนได้ร่วมปีแล้ว ไปรักษากับคลินิกสัตว์และรพ.สัตว์ในลำปางมาสามที่แล้ว (ขออนุญาตไม่เปิดเผยชื่อนะคะ) แต่น้องก็ยังไม่ดีขึ้นค่ะ
ลักษณะของอาหารที่อาเจียนออกมายังเป็นรูปทรงอยู่ เหมือนน่าจะยังไม่ได้ย่อยค่ะ กินข้าวสัก 10-15 นาทีอาเจียนออกมาแล้ว แต่กินอาหารได้ปกตินะคะ ส่วนการขับถ่ายเนื่องจากเลี้ยงระบบปล่อยเลยไม่เห็นน้องขับถ่ายเลยค่ะเพราะมักจะไปทำธุระกันข้างนอก น้องเคยกินยาจำพวก ลดอาเจียน, ลดกรดในกระเพาะ, เคลือบกระเพาะ มาแล้ว แต่ก็ยังไม่ดีขึ้นค่ะ เคยไปเอกซเรย์คุณหมอบอกไม่มีปัญหาอะไร ส่วนอัลตราซาวด์คร่าว ๆ ว่ามีแผลในกระเพาะอาหารจนเห็นเป็นพังผืดในกระเพาะค่ะ ทำได้แต่ให้ยาไปเรื่อย ๆ แต่ก็ยังไม่ดีขึ้นค่ะ น้องกินยาไปแล้วอ้วกออกมากับอาหารบ้างก็มี เดี๋ยวนี้ช่วงนอนน้องจะครางหนักมากด้วยค่ะ ขออนุญาตส่งผลอัลตราซาวด์ให้ผู้มีความรู้ด้านนี้พิจารณาหน่อยนะคะ ว่าสามารถมีแนวทางการรักษาได้อย่างไรบ้าง ผ่าตัดได้ไหม หรือฉีดยาอะไรได้บ้างไหม ขอบคุณค่ะ🙇🏻♀️ เพื่อน ๆ คนอื่นก็สามารถแสดงความคิดเห็นได้เลยค่ะ เผื่อน้องหมามีอาการคล้าย ๆ กันจะได้มาแชร์กันค่ะ🥹
อีกเรื่องคือ เราพยายามหาคลินิกและรพ.สัตว์ในลำปางเรื่อง ๆ ที่คิดว่าสามารถรักษาน้องในระยะยาวให้หายและดีขึ้นได้ค่ะ ตอนนี้สนใจคลินิกสัตว์ยิ้มหวานอยู่ แต่หาช่องทางออนไลน์พวก เฟสหรือไลน์คลินิกไม่ได้เลยค่ะ ใครที่มีคอนแทคคลินิก เราขอคอนแทคหน่อยนะคะ🙇🏻♀️ หรือมีคลินิกและโรงพยาบาลในลำปางที่ใส่ใจน้อง ราคาสมเหตุสมผล หรือมีคุณหมอที่เชี่ยวชาญด้านกระเพาะสามารถแจ้งได้เลยนะคะ เราไม่ได้อยู่ในตัวเมืองลำปาง แต่หากมีที่ไหนที่น่าสนใจเราจะพยายามพาน้องไปให้ได้ค่ะ ปีที่ผ่านมาบ้านเราหมดค่ารักษากับน้องกันไปร่วมหลักหลายหมื่น ถึงแม้จะยังหาเช้ากินค่ำกันอยู่ จนหมดกำลังใจในการรักษาน้องแล้วค่ะ แต่การที่ได้ยินเสียงน้องครางช่วงกลางคืนทุกวัน เป็นความทรมานที่พูดออกมาไม่ได้เลยค่ะเราเลยอยากรักษาน้องให้ถึงที่สุด ขอบคุณที่อ่านมาจนถึงตรงนี้นะคะ
ขอบคุณทุกคนค่ะ🙇🏻♀️🙇🏻♀️