หน้าแรก
คอมมูนิตี้
ห้อง
แท็ก
คลับ
ห้อง
แก้ไขปักหมุด
ดูทั้งหมด
เกิดข้อผิดพลาดบางอย่าง
ลองใหม่
แท็ก
แก้ไขปักหมุด
ดูเพิ่มเติม
เกิดข้อผิดพลาดบางอย่าง
ลองใหม่
{room_name}
{name}
{description}
กิจกรรม
แลกพอยต์
อื่นๆ
ตั้งกระทู้
Pantip MALL
เข้าสู่ระบบ / สมัครสมาชิก
เว็บไซต์ในเครือ
Bloggang
Pantown
PantipMarket
Maggang
ติดตามพันทิป
ดาวน์โหลดได้แล้ววันนี้
เกี่ยวกับเรา
กฎ กติกา และมารยาท
คำแนะนำการโพสต์แสดงความเห็น
นโยบายเกี่ยวกับข้อมูลส่วนบุคคล
สิทธิ์การใช้งานของสมาชิก
ติดต่อทีมงาน Pantip
ติดต่อลงโฆษณา
ร่วมงานกับ Pantip
Download App Pantip
Pantip Certified Developer
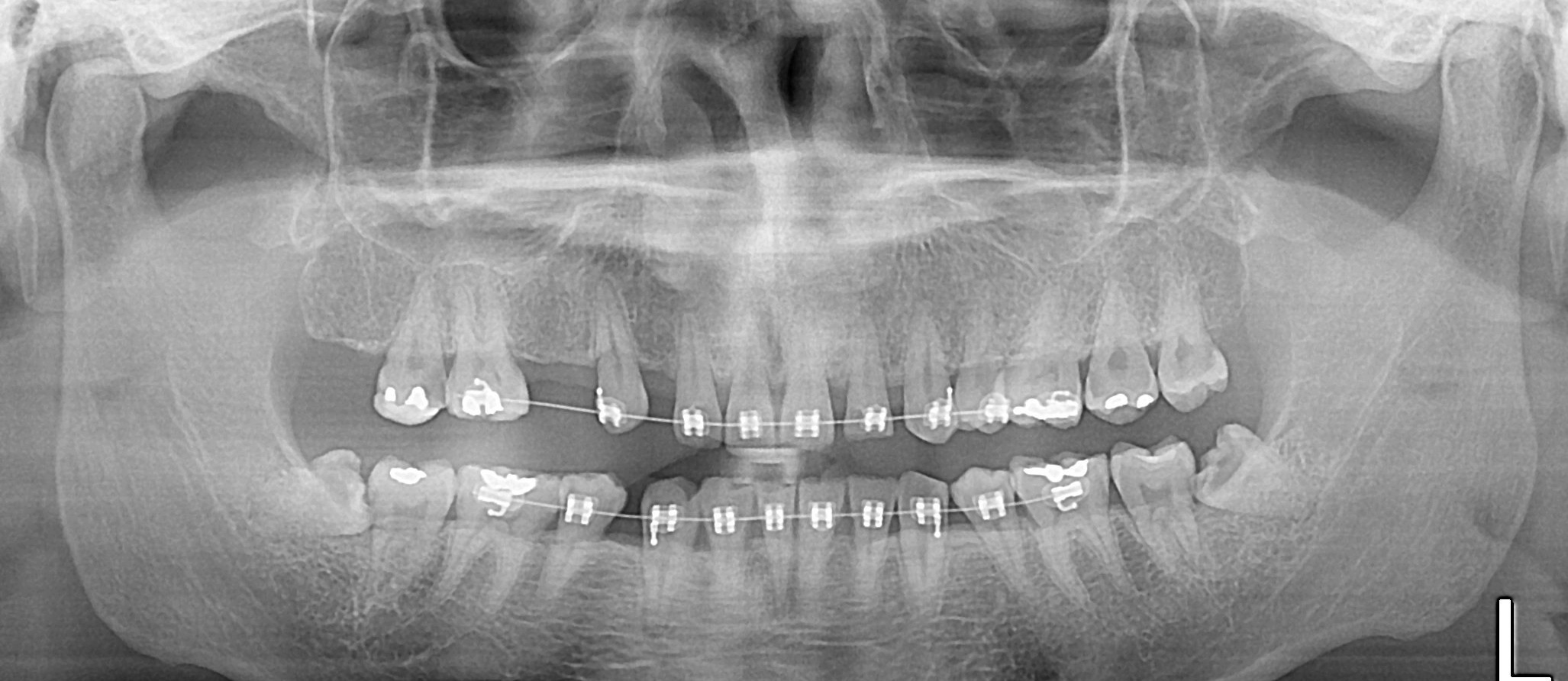
อยากสอบถามหน่อยครับว่ากรณีของผมฟันคุดผ่ายากไหม มีฟิล์ม ให้ดูครับ
กระทู้คำถาม
ทันตกรรม
ทันตกรรมจัดฟัน
คลินิกทันตกรรม
คณะทันตแพทยศาสตร์
ทันตแพทย์
1.อยากทราบว่าจากฟิล์มฟันผมด้านซ้ายทั้งบนและล่างคิดว่ายากไหมครับ
ตอนนี้ปวดฟันมาก ทานยามาหลายวันแล้ว
2.แล้วอยากรู้ว่าแนวเส้นประสาทคือตรงไหนหรือครับ
3.ผ่าฟันคุดน่ากลัวไม่ ผมกลัวหมอฟันมาก
4.ระหว่างผ่าฟันคุดกับปวดฟันอันไหนทรมานกว่ากัน
▼
กำลังโหลดข้อมูล...
▼
แสดงความคิดเห็น
กระทู้ที่คุณอาจสนใจ
คุณหมอให้เลือกระหว่าง จัดรากฟัน กับ ถอนฟัน อายุ13
ผมควรเลือกอะไรดีครับเป็นฟันกรามล่างซี่ที่สองครับอยู่ฝั่งซ้าย ขอคำแนะนำด้วยครับ ตอนนี้เครียดเอามากๆ เพราะ แค่อุดฟันก็เจ็บจนจะเป็นลมแล้ว กรณีที่คาดว่าจะเกิด 1.ถ้า
สมาชิกหมายเลข 5927167
ฟันคุดแบบนี้ผ่ายากไหมครับ (ฝั่งซ้าย)
ฟิมล์เมื่อประมาณ 5 ปีที่แล้วครับ ผมผ่าด้านขวาล่างออกเรียบร้อย บนขวาถอนปกติ สยองจนไม่กล้าไปเอาด้านซ้ายออก ตอนนั้นผ่าที่คณะทันต จุฬาครับ กับนิสิตป.โท ปัจจุบันทำกั
สมาชิกหมายเลข 5233864
เคสฟันคุดนี้ยากไหมครับฟันคุดทิ่มฟันกรามขนาดนี้เลย
ถ้าผ่าฟันคุดออกแล้ว พอจะมีโอกาสและมีวิธีรักษาฟันกรามนี้ได้ไหมครับ ไม่อยากเสียฟันเลย ไปหาหมอคลินิคไหนก็บอกยาก ต้องใช้เวลาผ่านาน และมีโอกาสที่หน้าจะชาหลังผ่าเพราะ
เซ็นคู
ผ่าฟันคุดใกล้เส้นประสาทเพื่อจัดฟัน
สวัสดีสมาชิคครับ พอดีผมจะผ่าฟันคุดตามภาพเพื่อจัดฟัน แต่กลัวเพราะมันใกล้เส้นประสาทมากและฟันคุดค่อยข้างลึก เลยอยากถามประสบการณ์สมาชิกที่เคยผ่าแล้วเป็นยังไงมั้งครั
สมาชิกหมายเลข 2029514
ผ่าฟันคุดแนวนอนเจ็บไหม
ผมปวดฟันกรามด้านซ้ายนึกว่าเป็นฟันผุเลยไปเอ็กซ์เรย์ที่โรงพยาบาล แต่เป็นหันคุดแบบแนวนอน ซึ่งการผ่าเอาออกมันเจ็บหรือเปล่าครับและควรดูแลรักษาหลังผ่ายังไงบ้างครั
สมาชิกหมายเลข 6390848
ควรขูดหินปูนเป็นประจำทุก 6 เดือนนะ!!!… “คุณหมอฟัน ขนลุก! ขูดหินปูนแต่ฟันหลุดยกแผง”
หมอฟันเผย เคยเจอเคสแรกในชีวิต หมอฟันสุดช็อก! คนไข้มาขูดหินปูน แต่ฟันจริงกลับหลุดติดกันออกมาทั้งแผง เหตุเพราะปล่อยให้หนาเกาะเตอะยึดฟันไว้ด้วยกัน ทำเอาคุณหมอถึงกั
Lady_Simplicity
ใครเคยเจอค่าขูดหินปูนแพงกว่า 900 ที่ได้จากประกันสังคมบ้างครับ
ครั้งนี้หมอบอกหินปูนเยอะโดนไป 1300 ต้องจ่ายเพิ่ม 400 บาท จำได้ว่าตอนขูดหินปูนครั้งแรกในชีวิต หินปูนเต็มปาก เยอะกว่าครั้งนี้มาก ใช้สิทธิประกันสังคม 500 บาท ก็ไม่
สมาชิกหมายเลข 1350998
มีฟันคุด 2 ซี่ข้างซ้ายกับข้างขวาตอนนี้ข้างขวาเริ่มปวดจนเจ็บหัวมากช่วยแนะหน่อยค่ะ
มีฟันคุด 2 ซี่ข้างซ้ายกับข้างขวาตอนนี้ข้างขวาเริ่มปวดจนเจ็บหัวมากช่วยแนะหน่อยค่ะ ตอนนี้ทำงานอยู่ที่เชียงใหม่ค่ะ
Harleen Quinzel
🦷🪥 กรอฟันกันสดๆ ด้วยหินแหลม! ทันตแพทย์อึ้ง มนุษย์ถ้ำเมื่อ 59,000 ปีก่อน รักษารากฟันเองได้แล้ว!
กรอฟันกันสดๆ ด้วยหินแหลม! ทันตแพทย์อึ้ง มนุษย์ถ้ำเมื่อ 59,000 ปีก่อน รักษารากฟันเองได้แล้ว!... มนุษย์นีแอนเดอร์ทัล (Neanderthal) เมื่อ 59,000 ปีก่อน ไม่ได้เป็นเ
เม่าบนยอดดอย
แปรงสีฟันไฟฟ้า ช่วยมากน้อยแค่ไหน แนะนำรุ่นไหนดี
เห็นคนรีวิวบอกประมาณว่า ไม่มีหินปูนเกาะติดเลย ซึ่งปกติผมไปทำฟันขูดหินปูนทุกๆ6เดือนก็มีนิดๆ เลยอยากรู้ว่าคุ้มค่าไหมที่จะหันมาใช้แปรงสีฟันไฟฟ้า - รุ่นไหนแนะนำใช้ด
สมาชิกหมายเลข 8564076
อ่านกระทู้อื่นที่พูดคุยเกี่ยวกับ
ทันตกรรม
ทันตกรรมจัดฟัน
คลินิกทันตกรรม
คณะทันตแพทยศาสตร์
ทันตแพทย์
บนสุด
ล่างสุด
อ่านเฉพาะข้อความเจ้าของกระทู้
หน้า:
หน้า
จาก
แชร์ :
โปรดศึกษาและยอมรับนโยบายข้อมูลส่วนบุคคลก่อนเริ่มใช้งาน
อ่านเพิ่มเติมได้ที่นี่
ยอมรับ
อยากสอบถามหน่อยครับว่ากรณีของผมฟันคุดผ่ายากไหม มีฟิล์ม ให้ดูครับ
ตอนนี้ปวดฟันมาก ทานยามาหลายวันแล้ว
2.แล้วอยากรู้ว่าแนวเส้นประสาทคือตรงไหนหรือครับ
3.ผ่าฟันคุดน่ากลัวไม่ ผมกลัวหมอฟันมาก
4.ระหว่างผ่าฟันคุดกับปวดฟันอันไหนทรมานกว่ากัน