สวัสดีชาวพันทิปทุกคนค่ะ เราอยากมาแชร์ประสบการณ์จัดฟันปัญหาฟันล่างคร่อมฟันบนให้กับคนที่กำลังตัดสินใจจัดฟันหรือมปัญหาแบบเดียวกัน เพราะส่วนใหญ่เราแทบจะหาข้อมูลแบบละเอียดไม่ได้เลย ตอนนี้เราเพิ่งจัดได้แค่เดือนกว่า กว่าจะจัดเสร็จยังอีกยาวไกล (คุณหมอบอกใช้เวลาสามปี ถถถ)
ถ้าเพื่อนๆ ต้องการอ่านเกี่ยวกับเคลียร์ช่องปาก ผ่าฟันคุดอ่านได้ที่กระทู้ก่อนหน้านะคะ
https://pantip.com/topic/42209919
วันที่ 26/09/23
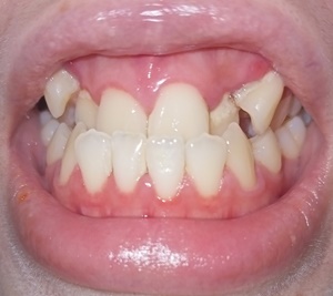
ที่คุยกับคุณหมอไว้ตอนแรก ให้ติดเครื่องมือขยายขากรรไกรบนก่อน เพราะขากรรไกรบนเล็กกว่าขากรรไกรล่าง พอมาถึงคลินิค พี่พนงให้เลือกสียาง เราก็เลือกเบอร์ 20 สีฟ้า ก็แอบงงว่าจะได้ติดเหล็กเลยหรอ ? พอเจอคุณหมอเลยถามด้วยความสงสัย คุณหมอบอกเพื่อให้เราประหยัดค่าใช้จ่าย ลองใช้เหล็กธรรมดาจัดด้านบนก่อนสามเดือน ถ้าไม่ขยายค่อยใช้เครื่องมืออื่น เพราะเครื่องมือขยายขากรรไกรบนจะยากกว่า ต้องมีคนช่วยไข วันนี้ถ่ายรูปฟัน ตอนเอาเครื่องมือถ่างฟันกับถาดเหล็กยัดเข้าปากทรมานมาก กลัวปากจะฉีก แต่แค่แป๊บเดียว และถ่ายหน้าตรง ด้านซ้ายขวา ยิ้มปกติ กับหน้าปกติ คุณหมออุดคอมโพสิทก่อนให้ฟันมันยกขึ้นเวลาติดเหล็ก ฟันจะได้ไม่กระทบกับเหล็ก กลิ่นเหมือนกาวตาช้างเลย เราเลือกแบ่งจ่าย 3000 บาทต่อครั้ง ซื้อแปรงสีฟันกับแปรงขัดฟัน 180 บาท ถ้าทำแบร็กเก็ตหลุด ตัวละ 300 บาท ตอนติดเหล็กวันแรกยังไม่รู้สึกอะไร แต่ถ้าล้างหน้า สั่งน้ำมูกแล้วไปกระทบกับหน้าแถวฟันก็เจ็บนิดนึง ตื่นเช้ามา รู้สึกฟันบนแน่นๆ เอาลิ้นแตะฟันกรามฝั่งขวาจะเจ็บทันที แต่ถ้าไม่ยุ่งกับมันก็ไม่เจ็บ แต่จะใช้ไหมขัดฟันก็คือเอาเข้าซอกฟันยากมาก เพราะ ฟันมันแน่น แตะนิดเดียวก็ปวดแล้ว ตอนนี้เหล็กตรงฟันเขี้ยวด้านขวากดกระพุ้งแก้มเป็นรอยแผลร้อนในแล้ว เลยต้องใช้ขี้ผึ้ง บางจังหวะฟันบนขบโดนฟันล่าง เหมือนคอมโพสิทไม่ค่อยช่วยยก เวลากินไม่เคี้ยวกลืนอย่างเดียว เพราะกลัวอาหารติดฟันแล้วเอาออกยาก (ไม่ควรทำตามนะคะ เพราะ จะมีปัญหาการย่อย)
ภาพก่อนจัดฟันและใส่เหล็กจัดฟันครั้งแรก ขออภัยสำหรับคราบพลัคค่ะ 555
[Spoil] คลิกเพื่อดูข้อความที่ซ่อนไว้
วันที่ 17/10/23
คุณหมอก็ไม่ได้ว่ายังไงรอบบนี้ บอกแค่ว่า เจ็บหน่อยนะ มันยาก ให้อดทน ตอนดึงฟันบนเจ็บมาก นึกว่าฟันจะหัก และติดแบล็คเก็ตฟันล่าง แต่ยังไม่ดึงลวด คงให้ชินก่อนมั้ง แต่คือฟันหน้ามันชนกันอีกแล้วจังหวะขบฟันหรือพูด กำลังคิดอยู่ไปหาหมอให้แก้คอทโพสิทยกฟันดีมั้ย แต่งงว่าเช้าวันนี้ไม่ปวดเลย รอบที่แล้ววันต่อมาปวดมากหลังจากติดเหล็กเปลี่ยนยาง เสียใจเลือกสีผิด ม่วงหม่นมาก ผ่านมาสองสัปดาห์ คอมโพสิทที่ยกฟันเริ่มทรุด ฟันหน้าเริ่มล่างคร่อมบน เพิ่งมาสังเกตฟันหน้าสองซี่มีจุดดำเล็กๆ เปลี่ยนยางครั้งต่อไปจะถามคุณหมอว่า ใข่ฟันผุหรือเปล่า ปกติเราแปรงฟันตอนเช้ากลับก่อนนอน ระหว่างวันใช้แค่แปรงขัดซอกฟันกับไหมขัดฟัน และเห็นฟันล่างมันบิ่นหรือแตกไม่แน่ใจ
ภาพจัดฟันเดือนที่สองค่ะ
[Spoil] คลิกเพื่อดูข้อความที่ซ่อนไว้
เราจะพยายามมาอัพเดตทุกเดือนนะคะ หวังว่ากระทู้ของเราจะมีประโยชน์ไม่มากก็น้อย อยากให้ทุกคนเป็นกำลังใจให้เราด้วยค่ะ เราก็จะเป็นกำลังใจให้ทุกคนที่(กำลังจะ)จัดฟันเหมือนกัน เราจะมีรอยยิ้มที่สวย ที่มั่นใจไปด้วยกันนะคะ

แชร์ประสบการณ์จัดฟันปัญหาฟันล่างคร่อมฟันบน 2023
ถ้าเพื่อนๆ ต้องการอ่านเกี่ยวกับเคลียร์ช่องปาก ผ่าฟันคุดอ่านได้ที่กระทู้ก่อนหน้านะคะ
https://pantip.com/topic/42209919
วันที่ 26/09/23
ที่คุยกับคุณหมอไว้ตอนแรก ให้ติดเครื่องมือขยายขากรรไกรบนก่อน เพราะขากรรไกรบนเล็กกว่าขากรรไกรล่าง พอมาถึงคลินิค พี่พนงให้เลือกสียาง เราก็เลือกเบอร์ 20 สีฟ้า ก็แอบงงว่าจะได้ติดเหล็กเลยหรอ ? พอเจอคุณหมอเลยถามด้วยความสงสัย คุณหมอบอกเพื่อให้เราประหยัดค่าใช้จ่าย ลองใช้เหล็กธรรมดาจัดด้านบนก่อนสามเดือน ถ้าไม่ขยายค่อยใช้เครื่องมืออื่น เพราะเครื่องมือขยายขากรรไกรบนจะยากกว่า ต้องมีคนช่วยไข วันนี้ถ่ายรูปฟัน ตอนเอาเครื่องมือถ่างฟันกับถาดเหล็กยัดเข้าปากทรมานมาก กลัวปากจะฉีก แต่แค่แป๊บเดียว และถ่ายหน้าตรง ด้านซ้ายขวา ยิ้มปกติ กับหน้าปกติ คุณหมออุดคอมโพสิทก่อนให้ฟันมันยกขึ้นเวลาติดเหล็ก ฟันจะได้ไม่กระทบกับเหล็ก กลิ่นเหมือนกาวตาช้างเลย เราเลือกแบ่งจ่าย 3000 บาทต่อครั้ง ซื้อแปรงสีฟันกับแปรงขัดฟัน 180 บาท ถ้าทำแบร็กเก็ตหลุด ตัวละ 300 บาท ตอนติดเหล็กวันแรกยังไม่รู้สึกอะไร แต่ถ้าล้างหน้า สั่งน้ำมูกแล้วไปกระทบกับหน้าแถวฟันก็เจ็บนิดนึง ตื่นเช้ามา รู้สึกฟันบนแน่นๆ เอาลิ้นแตะฟันกรามฝั่งขวาจะเจ็บทันที แต่ถ้าไม่ยุ่งกับมันก็ไม่เจ็บ แต่จะใช้ไหมขัดฟันก็คือเอาเข้าซอกฟันยากมาก เพราะ ฟันมันแน่น แตะนิดเดียวก็ปวดแล้ว ตอนนี้เหล็กตรงฟันเขี้ยวด้านขวากดกระพุ้งแก้มเป็นรอยแผลร้อนในแล้ว เลยต้องใช้ขี้ผึ้ง บางจังหวะฟันบนขบโดนฟันล่าง เหมือนคอมโพสิทไม่ค่อยช่วยยก เวลากินไม่เคี้ยวกลืนอย่างเดียว เพราะกลัวอาหารติดฟันแล้วเอาออกยาก (ไม่ควรทำตามนะคะ เพราะ จะมีปัญหาการย่อย)
ภาพก่อนจัดฟันและใส่เหล็กจัดฟันครั้งแรก ขออภัยสำหรับคราบพลัคค่ะ 555
[Spoil] คลิกเพื่อดูข้อความที่ซ่อนไว้
วันที่ 17/10/23
คุณหมอก็ไม่ได้ว่ายังไงรอบบนี้ บอกแค่ว่า เจ็บหน่อยนะ มันยาก ให้อดทน ตอนดึงฟันบนเจ็บมาก นึกว่าฟันจะหัก และติดแบล็คเก็ตฟันล่าง แต่ยังไม่ดึงลวด คงให้ชินก่อนมั้ง แต่คือฟันหน้ามันชนกันอีกแล้วจังหวะขบฟันหรือพูด กำลังคิดอยู่ไปหาหมอให้แก้คอทโพสิทยกฟันดีมั้ย แต่งงว่าเช้าวันนี้ไม่ปวดเลย รอบที่แล้ววันต่อมาปวดมากหลังจากติดเหล็กเปลี่ยนยาง เสียใจเลือกสีผิด ม่วงหม่นมาก ผ่านมาสองสัปดาห์ คอมโพสิทที่ยกฟันเริ่มทรุด ฟันหน้าเริ่มล่างคร่อมบน เพิ่งมาสังเกตฟันหน้าสองซี่มีจุดดำเล็กๆ เปลี่ยนยางครั้งต่อไปจะถามคุณหมอว่า ใข่ฟันผุหรือเปล่า ปกติเราแปรงฟันตอนเช้ากลับก่อนนอน ระหว่างวันใช้แค่แปรงขัดซอกฟันกับไหมขัดฟัน และเห็นฟันล่างมันบิ่นหรือแตกไม่แน่ใจ
ภาพจัดฟันเดือนที่สองค่ะ
[Spoil] คลิกเพื่อดูข้อความที่ซ่อนไว้