หน้าแรก
คอมมูนิตี้
ห้อง
แท็ก
คลับ
ห้อง
แก้ไขปักหมุด
ดูทั้งหมด
เกิดข้อผิดพลาดบางอย่าง
ลองใหม่
แท็ก
แก้ไขปักหมุด
ดูเพิ่มเติม
เกิดข้อผิดพลาดบางอย่าง
ลองใหม่
{room_name}
{name}
{description}
กิจกรรม
แลกพอยต์
อื่นๆ
ตั้งกระทู้
Pantip MALL
เข้าสู่ระบบ / สมัครสมาชิก
เว็บไซต์ในเครือ
Bloggang
Pantown
PantipMarket
Maggang
ติดตามพันทิป
ดาวน์โหลดได้แล้ววันนี้
เกี่ยวกับเรา
กฎ กติกา และมารยาท
คำแนะนำการโพสต์แสดงความเห็น
นโยบายเกี่ยวกับข้อมูลส่วนบุคคล
สิทธิ์การใช้งานของสมาชิก
ติดต่อทีมงาน Pantip
ติดต่อลงโฆษณา
ร่วมงานกับ Pantip
Download App Pantip
Pantip Certified Developer
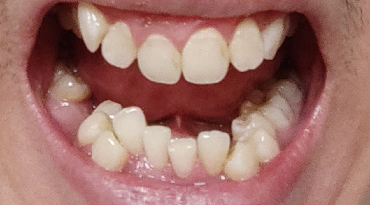
จัดฟันแบบไหนดีครับ
กระทู้คำถาม
ทันตกรรมจัดฟัน
ทันตแพทย์
คลินิกทันตกรรมจัดฟัน
▼
กำลังโหลดข้อมูล...
▼
แสดงความคิดเห็น
กระทู้ที่คุณอาจสนใจ
คลินิกทันตกรรมLovely tooth dental clinic
พอดีเราอยากจะขูดหินปูนและเริ่มจัดฟันเป็นครั้งแรก เราอยู่แจ้งวัฒนะกำลังสนใจคลินิกLovely tooth dental clinic คลินิกทันตกรรม เลิฟลี่ทูธ ทำฟัน จัดฟัน มีใครทำกับที่นี้บ้างดีมั้ยโอเคมั้ย
สมาชิกหมายเลข 9351895
ช่วยแนะนำคลินิกจัดราชบุรีหน่อยค่ะ
เราอยากได้คลินิกในตัวเมืองค่ะ อยากให้นัดเป็นช่วงเย็น หรือไม่ก็เสาร์-อาทิตย์ ค่ะ
สมาชิกหมายเลข 7913565
คลินิกดัดฟันเชียงใหม่
แนะนำคลินิกดัดฟันเชียงใหม่ดีๆหน่อยค่ะ ไม่เลี้ยงไข้ ผ่อนได้เดือนละไม่เกิน 2000-2500 ค่ะ แล้วก็หมอใจดีอันนี้ได้ไม่ได้ก็ได้ค่ะ
สมาชิกหมายเลข 8982226
เติมเต็มความสุขด้วยการฝัง " รากฟันเทียม "
ทำไม "รากฟันเทียม" ถึงเป็นการลงทุนที่คุ้มค่าที่สุดในระยะยาว 🦷✨ สวัสดีค่ะ คลินิกทันตกรรมต้นส้มนะคะ วันนี้มีเรื่องราวในคลินิกอยากมาแชร์ค่ะ 🙏 ช่วงที่ผ่านมา ทีมทันตแพทย์ของ
คลินิกทันตกรรมต้นส้ม
คลีนิกทันตเเพทย์รสวรรณ(หมอมิ้ว) อำเภอเมืองสงขลา
ใครเคยจัดฟันที่นี้บ้างเเนะนำหน่อยค่ะ เรากำลังจัดสินใจจัดฟันที่นี้
สมาชิกหมายเลข 4397456
ฟันล้มจัดฟันได้ไหม
สวัสดีค่ะ ปีนี้เราอายุ 19 ตอนนี้มีปัญหาฟันล้มเนื่องจากถอนฟันกรามแท้บนข้างละซี่ไปตอนประมาณอายุ 14-15 ตอนนี้สนใจอยากจัดฟัน(กำลังเก็บเงินอยู่) เลยอยากถามว่าฟันล้มสามารถจัดฟันได้ไหม หรือท่านใดมีประสบการณ
สมาชิกหมายเลข 7536613
กังวลเรื่องการเลือกคลินิกรักษาฟัน
ช่วยด้วยค่ะ อยากถอนฟันหรืออยากจัดฟันดูเเลฟันมากๆ เเต่กลัวหมอฟัน เพราะว่าเคยไปปรึกษาที่คลินิกหนึ่งเเถวบ้าน เขาไม่รับทำให้ คุณหมอบอกว่าฟันกรามของเราทั้งสองข้างผุจนถอนลำบากมีเหลือเเค่ตอกับเศษฟัน กลัวโดนเ
สมาชิกหมายเลข 7819763
ช่วยแนะนำ Water Flosser สำหรับคนจัดฟันหน่อยค่ะ 🦷🤏🏻
สวัสดีค่ะ 🙏 พอดีเพิ่งจัดฟันมา เลยอยากได้ Water Flosser ดี ๆ สักตัวไว้ใช้ดูแลช่องปากค่ะ เลยอยากขอคำแนะนำจากคนที่เคยใช้จริงหน่อยค่ะ ว่ามีแบรนด์ไหนที่คุณภาพดี ใช้ทน แรงดันน้ำโอเค แบตอึด ๆ บ้างไหมคะ เน้น
สมาชิกหมายเลข 7008884
จัดฟัน
มีคลินิคจัดฟันแนะนำไหมคะในชลบุรี/พนัสนิคม แบบไม่เลี้ยงไข้ง่ะ
สมาชิกหมายเลข 8562714
ควรจัดฟันกับ ทันตแพทย์ในหลักสูตรหลังปริญญา ไหมคะ จะมีความเสี่ยงไหม
ไปเจอมาจากในเพจคลินิกนึงค่ะ โปรโมชั่นไม่เกินสองหมื่นบาท แต่ทำกับทันตแพทย์หลักสูตรหลังปริญญา เลยอยากสอบถามว่า แบบนี้จะน่ากลัวมั้ยคะ
สมาชิกหมายเลข 7400025
อ่านกระทู้อื่นที่พูดคุยเกี่ยวกับ
ทันตกรรมจัดฟัน
ทันตแพทย์
คลินิกทันตกรรมจัดฟัน
บนสุด
ล่างสุด
อ่านเฉพาะข้อความเจ้าของกระทู้
หน้า:
หน้า
จาก
แชร์ :
โปรดศึกษาและยอมรับนโยบายข้อมูลส่วนบุคคลก่อนเริ่มใช้งาน
อ่านเพิ่มเติมได้ที่นี่
ยอมรับ
จัดฟันแบบไหนดีครับ