หน้าแรก
คอมมูนิตี้
ห้อง
แท็ก
คลับ
ห้อง
แก้ไขปักหมุด
ดูทั้งหมด
เกิดข้อผิดพลาดบางอย่าง
ลองใหม่
แท็ก
แก้ไขปักหมุด
ดูเพิ่มเติม
เกิดข้อผิดพลาดบางอย่าง
ลองใหม่
{room_name}
{name}
{description}
กิจกรรม
แลกพอยต์
อื่นๆ
ตั้งกระทู้
เข้าสู่ระบบ / สมัครสมาชิก
เว็บไซต์ในเครือ
Bloggang
Pantown
PantipMarket
Maggang
ติดตามพันทิป
ดาวน์โหลดได้แล้ววันนี้
เกี่ยวกับเรา
กฎ กติกา และมารยาท
คำแนะนำการโพสต์แสดงความเห็น
นโยบายเกี่ยวกับข้อมูลส่วนบุคคล
สิทธิ์การใช้งานของสมาชิก
ติดต่อทีมงาน Pantip
ติดต่อลงโฆษณา
ร่วมงานกับ Pantip
Download App Pantip
Pantip Certified Developer
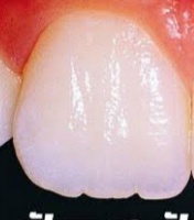
ฟันแตกแบบนี้รักษายังไงได้บ้างครับช่วยตอบที😭
กระทู้คำถาม
▼
กำลังโหลดข้อมูล...
▼
แสดงความคิดเห็น
กระทู้ที่คุณอาจสนใจ
ความรักเปนยังไงใครรู้ช่วยบอกที
สมาชิกหมายเลข 6242328
อายุน้อยผมกลางหัวบางมากแนะนำหน่อย
สมาชิกหมายเลข 4829017
ของพ่อที่เวียชีวิตธ.กรุงเทพต้องทำยังงัยบ้าง
สมาชิกหมายเลข 6301126
มีโอกาสที่นครนนท์จะได้อันดับ2ไหมครับ
สมาชิกหมายเลข 1692723
เเบบนี้เรียกผมอะไรครับ
สมาชิกหมายเลข 7783946
ฟันบนคู่หน้าห่างมาก จัดฟันแบบไม่ถอนฟัน เหยินมั้ย?
คือฟันบนคู่หน้าเราห่างมากค่ะ แต่ฟันซี่อื่นเรียงสวยปกติ ไปหาหมอจัดฟันหมอบอกว่าไม่ต้องถอนค่ะ ตอนนี้เราติดเครื่องมือได้เกือบ2อาทิตย์แล้วค่ะ พอมาอ่านกระทู้ของคนที่จ
สมาชิกหมายเลข 4820886
ปักหมุดจัดฟัน
สวัสดีค่ะ พอดีเราจัดฟันแล้วเคสของเราต้องมีการปีกหมุดเผื่อดึงฟัน แล้วเราก็พึ่งปักหมุดล่าสุดนี่ ผ่านไปสองวันหมุดเสียดสีกับปากทำให้เป็นร้อนใน กินข้าวและพูดก็ลำบาก
สมาชิกหมายเลข 2584766
ปลายลวดจัดฟันงอ
คือปลายลวดมันยาวค่ะทิ่มแก้มเป็นแผล เราก็มือไม่นิ่งไปแงะๆมัน จนมันงอไปข้างใน แต่ไม่ทิ่มแก้มแล้วค่ะ ส่งผลไรไหมคะ จะดึงคืนก้ไม่กลับมาตรงแล้วน่ะ😭😭😭
สมาชิกหมายเลข 6844593
ตามหาคลินิกจะฟันย่านรัชดา ลาดพร้าว
ช่วยแนะนำคลินิกทำฟันหน่อยครับ พอดีเพิ่งย้ายงานมาอยู่แถวนี้ไม่ค่อยรู้จักคลินิกเลย อยากให้ช่วยแนะนำคลินิกที่มีคุณหมอเฉพาะทางด้วยครับ เนื่องจากมีปัญหาเรื่องของฟันด
สมาชิกหมายเลข 8418866
ทำฟันโรงพยาบาลรัฐ
สวัสดีค่ะ เค้าอยากสอบถามนิดนึง เค้าอยู่แถวๆฉะเชิงเทรา อยากทราบราคาทำฟัน ของโรงพยาบาลรัฐ เช่น ร.พ พุทธโสธร / ร.พ ชลบุรี อยากจะเคลียช่องปากให้สะอาดไม่มีกลิ่น อุด/
สมาชิกหมายเลข 9060913
บนสุด
ล่างสุด
อ่านเฉพาะข้อความเจ้าของกระทู้
หน้า:
หน้า
จาก
แชร์ :
โปรดศึกษาและยอมรับนโยบายข้อมูลส่วนบุคคลก่อนเริ่มใช้งาน
อ่านเพิ่มเติมได้ที่นี่
ยอมรับ
ฟันแตกแบบนี้รักษายังไงได้บ้างครับช่วยตอบที😭