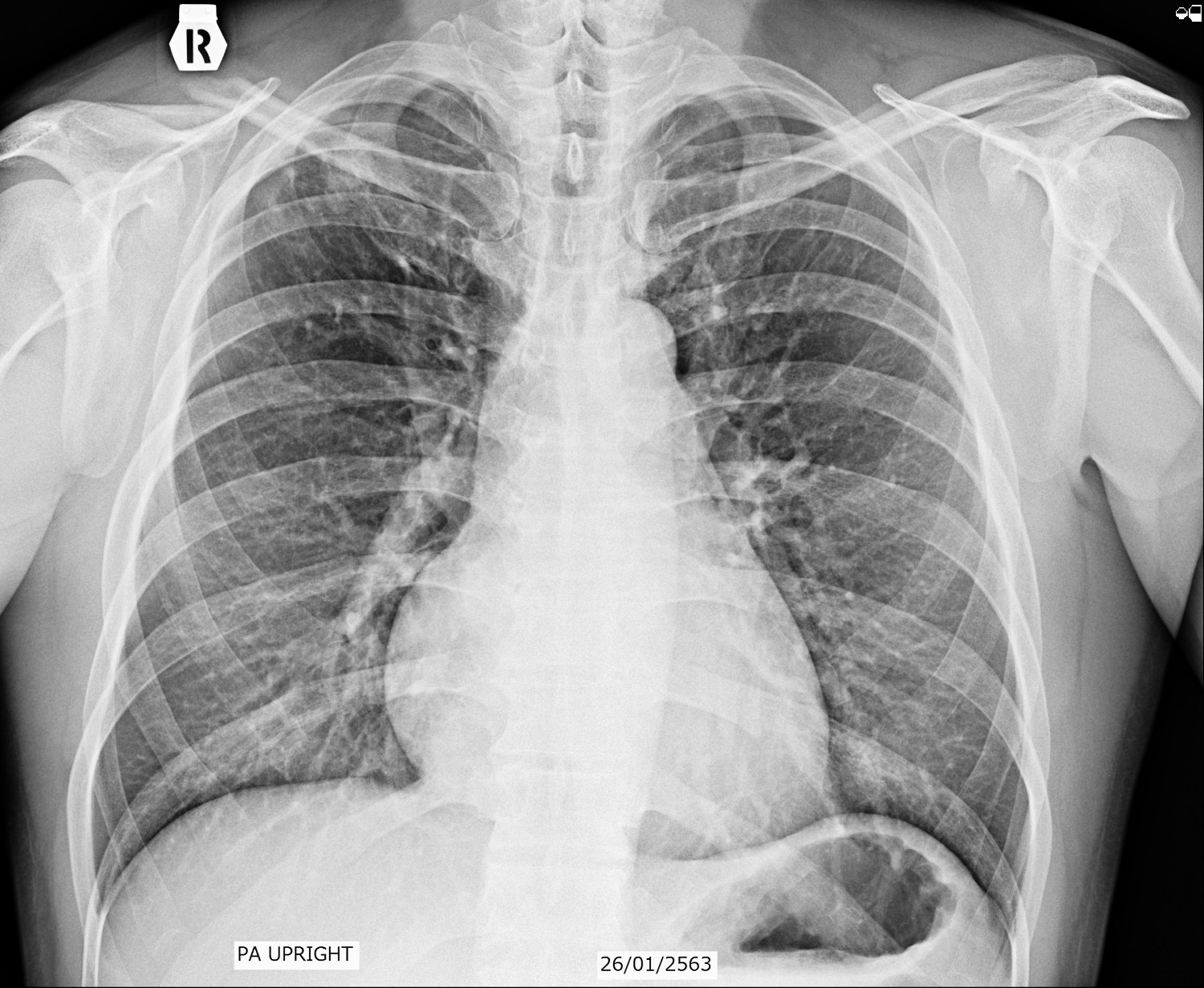
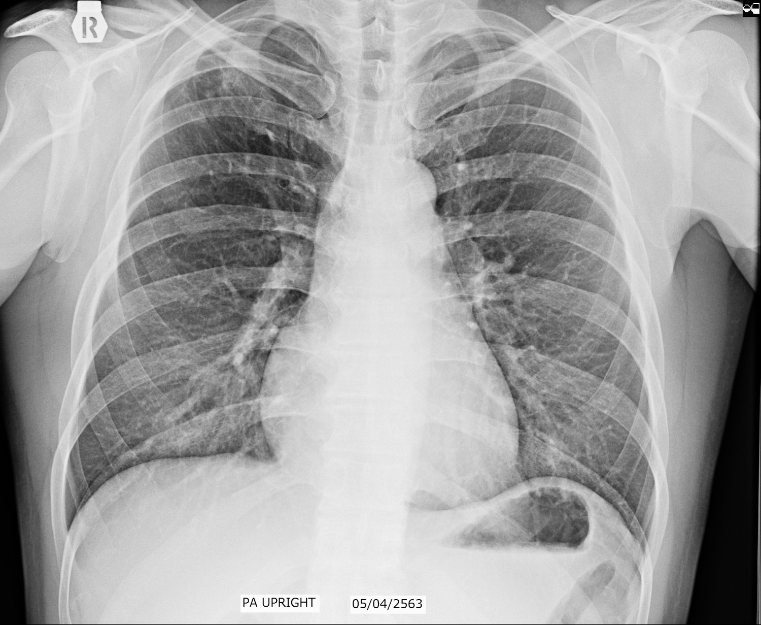
รบกวนอ่านฟิลม์เอ็กซ์เรย์ปอดเกี่ยวกับ TB และช่วยอธิบายด้วยครับ

ผมกำลังรักษาตัว TB อยู่ครับ ตั้งแต่ พย 62 ที่ผ่านมาจน ถึงบัจุบัน 24 พค 63 ทานยามมาแล้ว 6 เดือน คุณหมอให้ทานยาต่ออีก 2 เดือนเพื่อความชัวร์
ตรวจเสมหะไม่เคยเจอเชื้อ คุณหมอให้เข้ารับการรักษาเพราะผลฟิลม์ บ่งชี้ชัดเจนครับ ส่วนอาการไอไม่เคยมีเลย

รบกวนอ่านฟิลม์และวิเคราะให้ผมทีครับ จุดประสงค์เพื่อที่จะนำบันทึกไว้ในไดอารี่ของผมเอง พอดีได้รายละเอียดจากคุณหมอมาแล้ว แต่รวบรวมไม่ถูก
ฟิลม์เรียงวันที่ 26 มค 63,  5 เมษา 63. และ 24 พค 63 ครับผม. กราบขอบพระคุณในความอนุเคราะห์ล่วงหน้าครับผม

แสดงความคิดเห็น
โปรดศึกษาและยอมรับนโยบายข้อมูลส่วนบุคคลก่อนเริ่มใช้งาน อ่านเพิ่มเติมได้ที่นี่