รบกวนคุณหมอช่วยดูรูปถ่ายฟันให้หน่อยครับ ช่วงนี้covid19ระบาด ไปทำฟันไม่ได้ครับ
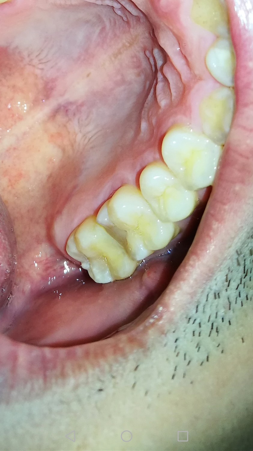
เสียวฟันซี่ 26 (ฟันซี่รองสุดท้าย ข้างซ้ายบน) ที่ไปอุดมา เอานิ้วแตะๆก็เสียวแล้ว ควรทำยังไงดีครับ เพราะเคยไปแก้มาแล้ว แต่อาการหนักกว่าเดิม ช่วยดูจากรูปถ่ายให้หน่อยครับ (เพิ่งถ่ายด้วยกล้องมือถือ)

1. เมื่อเดือนตุลาคม62 ผมไปขูดหินปูน แล้วคุณหมอพอว่า เจอฟันซี่#26ผุ (แต่ผมไม่รู้ เพราะไม่เสียว ไม่ปวด) จากนั้นจึงอุด ตอนกรอฟัน รู้สึกเสียวฟันสะท้านมากๆ หมอบอกว่าฟันผุลึก ผุด้านข้างด้วย พอทำเสร็จ ผมรู้สึกเสียวฟันถ้าไปสัมผัสโดน หมอบอก เดี๋ยวก็ดีขึ้น แต่ใช้เวลาเป็นเดือน
2. ผ่านไปประมาณ 2 เดือน รู้สึกอาการเสียวฟันน้อยลง ยังเสียวอยู่บ้าง เคี้ยวข้าวได้ แต่เคี้ยวถั่วไม่ได้ แต่สิ่งที่เปลี่ยนไปคือ ฟันห่างมาก ผมต้องใช้dental frossทุกมื้อ แล้วเศษอาหารจะติดออกมาขนาดเท่าเม็ดถั่วเขียว ถ้ามมื้อไหนเอาเศษอาหารออกไม่หมด จะปวดเหงือกมากๆ ผมจึงตัดสินใจกลับไปหาหมออีกครั้ง
3. หมอบอกว่า ต้องกรอทิ้ง แล้วอุดใหม่ ซึ่งเมื่อกรอฟัน ความรู้สึกก็เหมือนครั้งแรก เสียวฟันมาก สะท้านไปทั้งคาง และหลังจากอุดเสร็จก็พบว่า ฟันชิดกัน ไม่เป็นร่องแล้ว แต่อาการเสียวฟันกลับมาเป็นเหมือนตอนแรก (เหมือนนับหนึ่งใหม่ อาการที่เคยดีขึ้นแล้ว กลับหายไปหมดเลย) จากนั้นหมอเอาเศษอะไรสักอย่างมาให้กัดๆ จากนั้นก็กรอแต่งที่อุดให้ต่ำลง ก็รู้สึกดีขึ้นนิดนึง ขบฟันแล้วไม่เสียว (แต่ถ้าไปโดนก็ยังเสียวอยู่)
4. ตอนนี้ผ่านมา3เดือนแล้วหลังจากการอุดแก้ครั้งที่ 2 ผมพบว่าอาการเสียวฟันเวลาเคี้ยวอาหารไม่ดีขึ้นเลย ผมควรทำอย่างไรครับ? กลับไปหาคุณหมอคนเดิม หรือว่าเปลี่ยนหมอใหม่? ผมหวังเป็นอย่างยิ่งว่า คงไม่ต้องถึงขั้นทำรากฟันเทียม
ปล. อีกสิ่งหนึ่งที่ผมสงสัยมากคือ ทำไมหมอบอกว่าผมฟันผุลึก แต่ผมไม่เห็นรู้สึกมีอาการอะไรเลย มารู้สึกแย่ก็ตอนที่กรอฟันนี่แล่ะ
ขอบคุณครับ
ปรึกษาครับ อุดฟันแล้วเสียวฟัน อุดใหม่แล้วเสียวกว่าเดิม
เสียวฟันซี่ 26 (ฟันซี่รองสุดท้าย ข้างซ้ายบน) ที่ไปอุดมา เอานิ้วแตะๆก็เสียวแล้ว ควรทำยังไงดีครับ เพราะเคยไปแก้มาแล้ว แต่อาการหนักกว่าเดิม ช่วยดูจากรูปถ่ายให้หน่อยครับ (เพิ่งถ่ายด้วยกล้องมือถือ)
1. เมื่อเดือนตุลาคม62 ผมไปขูดหินปูน แล้วคุณหมอพอว่า เจอฟันซี่#26ผุ (แต่ผมไม่รู้ เพราะไม่เสียว ไม่ปวด) จากนั้นจึงอุด ตอนกรอฟัน รู้สึกเสียวฟันสะท้านมากๆ หมอบอกว่าฟันผุลึก ผุด้านข้างด้วย พอทำเสร็จ ผมรู้สึกเสียวฟันถ้าไปสัมผัสโดน หมอบอก เดี๋ยวก็ดีขึ้น แต่ใช้เวลาเป็นเดือน
2. ผ่านไปประมาณ 2 เดือน รู้สึกอาการเสียวฟันน้อยลง ยังเสียวอยู่บ้าง เคี้ยวข้าวได้ แต่เคี้ยวถั่วไม่ได้ แต่สิ่งที่เปลี่ยนไปคือ ฟันห่างมาก ผมต้องใช้dental frossทุกมื้อ แล้วเศษอาหารจะติดออกมาขนาดเท่าเม็ดถั่วเขียว ถ้ามมื้อไหนเอาเศษอาหารออกไม่หมด จะปวดเหงือกมากๆ ผมจึงตัดสินใจกลับไปหาหมออีกครั้ง
3. หมอบอกว่า ต้องกรอทิ้ง แล้วอุดใหม่ ซึ่งเมื่อกรอฟัน ความรู้สึกก็เหมือนครั้งแรก เสียวฟันมาก สะท้านไปทั้งคาง และหลังจากอุดเสร็จก็พบว่า ฟันชิดกัน ไม่เป็นร่องแล้ว แต่อาการเสียวฟันกลับมาเป็นเหมือนตอนแรก (เหมือนนับหนึ่งใหม่ อาการที่เคยดีขึ้นแล้ว กลับหายไปหมดเลย) จากนั้นหมอเอาเศษอะไรสักอย่างมาให้กัดๆ จากนั้นก็กรอแต่งที่อุดให้ต่ำลง ก็รู้สึกดีขึ้นนิดนึง ขบฟันแล้วไม่เสียว (แต่ถ้าไปโดนก็ยังเสียวอยู่)
4. ตอนนี้ผ่านมา3เดือนแล้วหลังจากการอุดแก้ครั้งที่ 2 ผมพบว่าอาการเสียวฟันเวลาเคี้ยวอาหารไม่ดีขึ้นเลย ผมควรทำอย่างไรครับ? กลับไปหาคุณหมอคนเดิม หรือว่าเปลี่ยนหมอใหม่? ผมหวังเป็นอย่างยิ่งว่า คงไม่ต้องถึงขั้นทำรากฟันเทียม
ปล. อีกสิ่งหนึ่งที่ผมสงสัยมากคือ ทำไมหมอบอกว่าผมฟันผุลึก แต่ผมไม่เห็นรู้สึกมีอาการอะไรเลย มารู้สึกแย่ก็ตอนที่กรอฟันนี่แล่ะ
ขอบคุณครับ