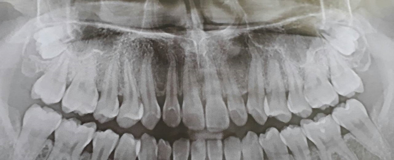
คือไปเอกซเรย์ฟันมาค่ะ มีฟันคุดสองซี่บน เหมือนไม่มีรากหรือมีนิดนึงอ่ะค่ะ คิดว่าจะไปถอนค่ะ แต่ไม่รู้ว่าจะเจ็บไหม
แล้วแบบนี้จะถอนยากไหมคะ คือจะได้ทำใจถูกค่ะว่าจะต้องจ่ายเท่าไหร่
[Spoil] คลิกเพื่อดูข้อความที่ซ่อนไว้
ปล.ตอนนี้อายุ 20 แล้วค่ะ
หรือยังไม่ต้องถอนดีคะ ถ้าเก็บไว้จนรากงอกแล้วผ่าออกจะเจ็บไหมคะ
แล้วอีกอยากไม่รู้เกี่ยวไหมค่ะ คือเวลาพูด หรืออ้าปากค่ะ บางทีมีจะมีเสียงกริกๆอะค่ะ
เป็นมาสักพักใหญ่แล้วค่ะประมาณตอน ขึ้น ม.ปราย ใหม่ๆ ค่ะ ไม่รู้ว่าอนออกจะหายไหมคะ
ขอบคุณสำหรับคำตอบล่วงหน้านะคะ
มีฟันคุดค่ะแต่ยังไม่มีรากถ้าถอนออกจะเจ็บไหมคะ
แล้วแบบนี้จะถอนยากไหมคะ คือจะได้ทำใจถูกค่ะว่าจะต้องจ่ายเท่าไหร่
[Spoil] คลิกเพื่อดูข้อความที่ซ่อนไว้
ปล.ตอนนี้อายุ 20 แล้วค่ะ
หรือยังไม่ต้องถอนดีคะ ถ้าเก็บไว้จนรากงอกแล้วผ่าออกจะเจ็บไหมคะ
แล้วอีกอยากไม่รู้เกี่ยวไหมค่ะ คือเวลาพูด หรืออ้าปากค่ะ บางทีมีจะมีเสียงกริกๆอะค่ะ
เป็นมาสักพักใหญ่แล้วค่ะประมาณตอน ขึ้น ม.ปราย ใหม่ๆ ค่ะ ไม่รู้ว่าอนออกจะหายไหมคะ
ขอบคุณสำหรับคำตอบล่วงหน้านะคะ