หน้าแรก
คอมมูนิตี้
ห้อง
แท็ก
คลับ
ห้อง
แก้ไขปักหมุด
ดูทั้งหมด
เกิดข้อผิดพลาดบางอย่าง
ลองใหม่
แท็ก
แก้ไขปักหมุด
ดูเพิ่มเติม
เกิดข้อผิดพลาดบางอย่าง
ลองใหม่
{room_name}
{name}
{description}
กิจกรรม
แลกพอยต์
อื่นๆ
ตั้งกระทู้
เข้าสู่ระบบ / สมัครสมาชิก
เว็บไซต์ในเครือ
Bloggang
Pantown
PantipMarket
Maggang
ติดตามพันทิป
ดาวน์โหลดได้แล้ววันนี้
เกี่ยวกับเรา
กฎ กติกา และมารยาท
คำแนะนำการโพสต์แสดงความเห็น
นโยบายเกี่ยวกับข้อมูลส่วนบุคคล
สิทธิ์การใช้งานของสมาชิก
ติดต่อทีมงาน Pantip
ติดต่อลงโฆษณา
ร่วมงานกับ Pantip
Download App Pantip
Pantip Certified Developer
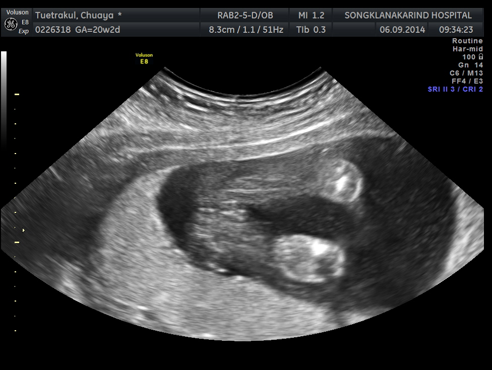
ช่วยดูให้หน่อยได้ไหมคะ ว่าภาพอัลตร้าซาวด์ เป็น ผู้หญิง หรือ ผู้ชาย คะ?
กระทู้คำถาม
สังคมคุณแม่
ฝากครรภ์
ตั้งครรภ์
ไปซาวด์ตอนอายุครรภ์ได้ 20 สัปดาห์ หมอบอกว่า ผู้หญิง ค่ะ
แต่พอท้องโตได้ 28 สัปดาห์ หมอคัดท้อง 2 คน และ ญาติๆ ต่างพากันทักว่า ว่าเป็นผู้ชายรึเปล่า? เพราะลักษณะท้องบ้าง สะดือบ้าง ออกแนวผู้ชาย
ก็เลยเอาผลอัลตร้าซาวด์มาดูอีกรอบ แต่ก็ยังไม่แน่ใจ เพราะดูไม่เป็นค่ะ
ขอรบกวนช่วยดูให้หน่อยนะคะว่าเป็นเพศชาย หรือ หญิงกันแน่ค่ะ
ขอบคุณมากค่ะ ^____^
▼
กำลังโหลดข้อมูล...
▼
แสดงความคิดเห็น
กระทู้ที่คุณอาจสนใจ
ช่วยดูผลอัลตร้าซาวน์หน่อยค่า (มีรูป) ชัวร์มั้ยคะแบบนี้
สืบเนื่องมาจากกระทู้นี้ ที่เคยใช้ที่ทดสอบเพศทารก https://pantip.com/topic/31739270 ผลออกมากำกวมมาก ได้ไป u/s มาแล้วค่ะ เมื่อวันที่ 27 มีนาคม ที่ผ่านมา คุณหมอแจ้
praewphan
รบกวนช่วยดูภาพอัลตร้าซาวด์ให้หน่อยค่ะ ว่าลูกในท้องเป็นเพศอะไร
เราเพิ่งไปซาวด์ครั้งแรก ตอนอายุครรภ์ 20+ สัปดาห์ คุณหมอที่ซาวด์ให้บอกว่าได้ลูกชาย (คนแรกก็ลูกชายค่ะ) แต่พอกลับไปบ้านเอาผลซาวด์ของลูกคนโตมาเปรียบเทียบดู เลยสงสัย
แม่น้ำ น้องนิวตั้น
ถามคุณแม่ที่ไป อัลตร้าซาวด์ เพศของลูกน้อยคะ ว่าผลพลิกแพลงบ้างไหมคะ?
เราไปซาวด์มาเมื่อวานคะ ได้ลูกชาย หมอบอกอ้าอร่างฉ่างเชียวคะ พอดีเราดูฟิล์มไม่ค่อยเก่ง แต่หมอก็บอกว่าจะเชื่อหรือไม่เชื่อก็ได้นะคะ พอดีว่าเราเองก็อยากได้ลูกชาย(ลูก
Uranus_must_gone
รบกวนแม่ๆชานเรือนช่วยดูผลอัลตร้าซาวด์ว่าเราได้ลูกเพศไหนคะ
ขอรบกวนแม่ๆชานเรือนช่วยดูด้วยนะคะ คุณหมอบอกว่าได้ลูกผู้หญิง 80% เพราะว่ามันเรียบๆ น่าจะผู้หญิงแหละ แต่เราก็อยากมั่นใจขึ้นอีกนิ้สๆนึง อยากได้ผู้หญิงมากๆค่ะ ซาวด์
nat nantawan
มาอวดภาพอัลตราซาวน์ลูกกันเถอะ....
เรามีกำหนดคลอด ปลายเดือนธันวาคม อัลตราซาวน์ครั้งที่ 1 ตอน 8 weeks แต่ตอนนั้นไมืได้รูปกลับมาด้วย อัลตราซาวน์ครั้งที่ 2 ตอน 12 weeks อัลตราซาวน์ครั้งที่ 2 ตอน 16
joyjung_pomkung
ช่วยดูเพศจากผลอัลตร้าซาวด์ทีค่ะ
คือไปซาวด์มาตอรอายุครรภ์ 20 สัปดาห์ หมอบอกว่าได้ ลูกสาว แต่เราเห็นมันนูนก็เลยเริ่มไม่แน่ใจอยากให้แม่ๆช่วยดูทีค่ะ ท้องแรกค่ะ
สมาชิกหมายเลข 1171230
อัลตร้าวซาวมาค่ะช่วยดูให้หน่อยค่ะว่าได้ผู้หญิงรึผู้ชาย อายุครร16วีคค่ะ หมอแจ้งว่าได้ลูกสาว
สมาชิกหมายเลข 6527230
รบกวนช่วยดูภาพอัลตร้าซาวด์ให้หน่อยค่ะ ว่าน้องเป็นเพศอะไร
ตอนนี้ท้องได้35w ค่ะ ไปซาวด์มาคุณหมอบอกว่าผู้หญิงค่ะ อยากให้ช่วยดูว่าผู้หญิงจริงใช่ไหมคะ5555
สมาชิกหมายเลข 2528598
ช่วยดูหน่อยค่ะแม่ๆ น้องผู้ชายชัวร์ใช่มั้ยคะ🤣 อยากได้ผู้หญิงมากเลยค่ะ ซาวด์เพศตอน18วีค💞
สมาชิกหมายเลข 7562241
ซาวน์ได้ลูกชาย คลอดมาเป็นผู้หญิง
ใครเคยเจอ หรือมีคนที่เรารู้จัก เป็นแบบนี้บ้างคะ แบบว่ามีลูกสาวแล้วคนนึง แต่อยากได้ลูกสาวอีก หมอบอกคนนี้เป็นผู้ชาย แถมปริ้นรูปตอนซาวน์ เห็นปิ๊กกะจู้ ชัดเจนมาให้อ
maccmacc2010
อ่านกระทู้อื่นที่พูดคุยเกี่ยวกับ
สังคมคุณแม่
ฝากครรภ์
ตั้งครรภ์
บนสุด
ล่างสุด
อ่านเฉพาะข้อความเจ้าของกระทู้
หน้า:
หน้า
จาก
แชร์ : 1
โปรดศึกษาและยอมรับนโยบายข้อมูลส่วนบุคคลก่อนเริ่มใช้งาน
อ่านเพิ่มเติมได้ที่นี่
ยอมรับ
ช่วยดูให้หน่อยได้ไหมคะ ว่าภาพอัลตร้าซาวด์ เป็น ผู้หญิง หรือ ผู้ชาย คะ?
ไปซาวด์ตอนอายุครรภ์ได้ 20 สัปดาห์ หมอบอกว่า ผู้หญิง ค่ะ
แต่พอท้องโตได้ 28 สัปดาห์ หมอคัดท้อง 2 คน และ ญาติๆ ต่างพากันทักว่า ว่าเป็นผู้ชายรึเปล่า? เพราะลักษณะท้องบ้าง สะดือบ้าง ออกแนวผู้ชาย
ก็เลยเอาผลอัลตร้าซาวด์มาดูอีกรอบ แต่ก็ยังไม่แน่ใจ เพราะดูไม่เป็นค่ะ
ขอรบกวนช่วยดูให้หน่อยนะคะว่าเป็นเพศชาย หรือ หญิงกันแน่ค่ะ
ขอบคุณมากค่ะ ^____^