จากกระทู้ที่ผ่านมาที่เกี่ยวกับเรื่องสิว(น่าจะเกิดจากการที่เคยใช้ครีมทาหน้าที่มีสเตอร์ลอยผสมประกอบกับที่ปกติแล้วผิวแพ้ง่ายมากๆ อีกด้วย)ที่ตอนนี้มาเป็นมารผจญและได้ขอคำแนะนำจากในนี้ ตอนนี้กำลังลองวิธีนึงค่ะ
ใช้ว่านหางจรเข้พอกหน้าทิ้งไว้ เริ่มทำเมื่อวานวันแรก
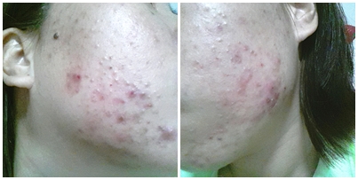
นี่คือสภาพของสิวที่ตอนนี้กำลังเผชิญอยู่

หน้าผาก-คาง

แก้มซ้าย-ขวา
คันมาก แสบด้วย เจ็บด้วย โดนไรนิดๆ หน่อยๆ ไม่ได้เลย เจ็บมากกก ทรมานสุดๆ คันแต่ไม่กล้าเกา กลัวเป็นกว่าเดิม
ขอให้ว่านหางจรเข้ช่วยได้ทีเถอะ ไม่ไหวแล้วค่ะ
จะอัพเดททุกสัปดาห์ค่ะ ว่าจะเห็นผลมากน้อยเพียงใด
สู้ๆ สู้วุ๊ยยยย
ทดลองรักษาสิว
ใช้ว่านหางจรเข้พอกหน้าทิ้งไว้ เริ่มทำเมื่อวานวันแรก
นี่คือสภาพของสิวที่ตอนนี้กำลังเผชิญอยู่
หน้าผาก-คาง
แก้มซ้าย-ขวา
คันมาก แสบด้วย เจ็บด้วย โดนไรนิดๆ หน่อยๆ ไม่ได้เลย เจ็บมากกก ทรมานสุดๆ คันแต่ไม่กล้าเกา กลัวเป็นกว่าเดิม
ขอให้ว่านหางจรเข้ช่วยได้ทีเถอะ ไม่ไหวแล้วค่ะ
จะอัพเดททุกสัปดาห์ค่ะ ว่าจะเห็นผลมากน้อยเพียงใด
สู้ๆ สู้วุ๊ยยยย