ไม่รู้จะทำไงดีแล้ว เครียดกับสภาพหน้ามากเลยค่ะตอนนี้ สิวบุกเข้าขั้นสุดยอด TT^TT
ก่อนอื่นขอเท้าความ ประวัติสิวเราให้ฟังก่อนนะคะ เราเป็นสิวตั้งแต่ป.5 ป.6 จนตอนนี้ขึ้นปี 1 แล้วสิวก็ไม่หายสักทีค่ะ
พวกครีมรักษาสิวทั้งทาทั้งแต้มที่เขาบอกว่าดีบอกว่าหายก็ลองใช้หมดแล้วค่ะ ไม่หาย ฮืออออ
พวกเรตินเอ differin benzac บางคนใช้พวกตัวนี้แล้วดีขึ้น หิวหาย มันจะผลักสิวออกมา แต่เชื่อไหมคะ เราใช้อ่ะ ไม่มีอะไรก็เกิดขึ้นกับหน้าเลย ใช้ไปสองสามอาทิตย์ก็ไม่เข้าใจทำไมสิวไม่ดันออกมาสักที แล้วสิวก็ไม่ยิบไม่หายด้วยนะคะ คงเดิม น้อยใจมากๆเลยค่ะ
ทำไมคนอื่นใช้แล้วมันมีผลกับหน้า ทำไมเราไม่มี กรดพวกวิตตามินเอมันก็แรงอยู่นะ น้อยใจเลยไม่ใช้แล้วค่ะ
กลุ่มพวก ยูเซอรีน แพน คลินดาเอ็ม(ตัวนี้ใช้ยุบบ้างไม่ยุบบ้างเลยเลิกใช้) แล้วก็สารพัดอย่าง ก็ไม่หาย
เคยไปรักษาสิวกับแพนอยู่ครั้งนึง ตอนแอดปีที่แล้วค่ะ นอนดึกแล้วก็เครียดเรื่องสอบแอด
สิวเลยเห่อสุดๆในชีวิตมราเกิดมา พ่อทนไม่ไหวจึงส่งตัว?ไปรักษากับหมอไปเลย
หมอก็แค่จัดยาให้กินค่ะ กับเซ็ตสิวของแพนที่หาซื้อได้ทั่วไป
ตอนที่หมอจัดยามาให้มันมียาแก้อักเสบ(เม็ดชมพูขาว) กับยาอะไรสักอย่างเม็ดน้ำตาลเหลือง
ตอนที่ไปก็ไม่ใช่ว่าจะหายนะคะ มันแค่ยุบๆและบรรเทาลง เราคิดว่าไม่จำเป็นน่ะค่ะ เพราะไปหมอก็จัดแค่ยาที่สามารถซื้อตามร้านขายยาทั่วไปแค่นั้น ไม่ได้มีตัวยาอื่นๆพิเศษ เราเลยเลิกไปค่ะ หลังจากนั้นหน้าเราเราก็ใช้ครีมธรรมดามากๆ ไม่ได้ใช้อะไรที่เกี่ยวกับการรักษาสิวเลย
สิวก็หายไปค่ะ จนมาถึงตอนนี้ สิวเห่ออีกแล้ว คิดว่าที่สิวหายง่ายเพราะกินยาตอนที่รักษากับหมอมาค่ะ แบบมันน้อยแล้วใช้อะไรก็ได้
แล้วอยู่ๆตอนนี้ก็เห่อขึ้นมา เมื่อประมาสามอาทิตย์ก่อน เรานอนดึกประมาณเที่ยงคืนตีหนึ่งได้ ปกติก็นอนดึกจนเป็นนิสัยค่ะ
แต่สองคืนนั้นมีโปรเจคที่ต้องส่งอ.ค่ะ ได้นอนประมาณตีสองตีสาม คือเหนื่อยมากจริงๆเลยง่วงด้วย เลยไม่ได้ล้างหน้าเพราะง่วงมาก (เราแค่ทาครีมบำรุงกับเบสไปเรียนแค่นั้นค่ะ ไม่ได้แต่งหน้าอย่างอื่นเพิ่มเลย)
อยู่ๆสิวผดก็บุกขึ้นมา และจากนั้นก็ลามเรื่อยๆ จนกลายเป็นปัจุบันนี้ มีทั้งสิวผด สิวอุดตัน สิวอักเสบ เต็มหน้ามากๆ
เราไม่คิดว่ามันจะเกิดจากการไม่ล้างหน้าเพียงแค่สองสามคืนนะคะ เพราะปกติเคยไม่ล้างหน้า แต่ก็ไม่เป็นแบบนี้
ตอนนี้ไม่กล้าออกจากบ้านแล้วค่ะ สิวกระหน่ำมาก เมื่อวานลองศึกษาดีท็อกผิวหน้าดู
เราอยากจะลองพักหน้าอ่ะค่ะ แบบไม่ใช้อะไรเลย แค่ประโคมใข่ขาวพอกหน้าก่อนนอนเท่านั้น เห็นว่าเขาหน้าใช้อะไรเลย ครีมก็ห้ามใช้ แต่ตอนนี้มันหน้าหนาวอ่ะค่ะ หน้าแห้งมาก ควรไหมคะ ที่จะทำแบบนั้น เรากลัวหยุดใช้ทุกอย่างสักอาทิตย์สองอาทิตย์แต่ก็ไม่มีอะไรดีขึ้นจังค่ะ
กลัวแย่กว่าเดิม หน้าจะเหี่ยว เพราะความหนาว ถ้าดูจากรูปจะรู้ว่าหน้าแห้งมากค่ะ ปกติจะเป็นคนผิวมัน แต่หน้าหนาวไม่โบกอะไรไปเลย มันก็เป็นแบบนี้อ่ะ กร้านมาก หน้าฉัน TT^TT
กระทู้นี้เนื้อความยาวมากๆ คือเราอยากให้รู้ว่าเราใช้ครีมอะไรก็ไม่เคยหาย ไปหาหมอก็ไม่ได้ดีขึ้น
ตอนนี้เราควรทำอะไรกับหน้าดีคะ ใครเคยประสบปัญหาพบเจอแต่หายแล้วช่วยเราหน่อยนะคะ คงรู้เนอะ ว่าหน้าแย่แล้วหดหู่ใจขนาดไหน
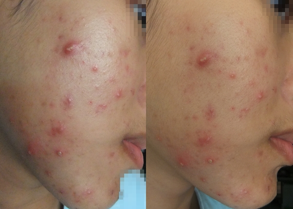
รูปประกอบค่ะ
ช่วงกรามจะมีสิวผดขึ้นค่ะ ทั้งสองข้างเลย เยอะมาก หน้านี่ไม่เรียบเลย TT^TT
ส่วนหน้าผากจะมีสิวอักเสบแทรกขึ้นตรงคิ้วบ้าง และก็มีสิวผดกลางหน้าผากค่ะ อาจจะมองไม่เห็น แสงเยอะค่ะ
ขอโทษอีกครั้งค่ะที่กระทู้ยาว หลายคนคงขี้เกียจจะอ่าน แต่ช่วยหน่อยเถอะนะคะ ไม่อยากออกจากบ้านจริงๆแล้วค่ะ
กระจกยังไม่อยากส่งเลยค่ะ ขอบคุณล่วงหน้าทุกคนนะคะ
สิวเห่อมาก เครียดกับหน้ามากเลย ทำยังไงดีคะ
ก่อนอื่นขอเท้าความ ประวัติสิวเราให้ฟังก่อนนะคะ เราเป็นสิวตั้งแต่ป.5 ป.6 จนตอนนี้ขึ้นปี 1 แล้วสิวก็ไม่หายสักทีค่ะ
พวกครีมรักษาสิวทั้งทาทั้งแต้มที่เขาบอกว่าดีบอกว่าหายก็ลองใช้หมดแล้วค่ะ ไม่หาย ฮืออออ
พวกเรตินเอ differin benzac บางคนใช้พวกตัวนี้แล้วดีขึ้น หิวหาย มันจะผลักสิวออกมา แต่เชื่อไหมคะ เราใช้อ่ะ ไม่มีอะไรก็เกิดขึ้นกับหน้าเลย ใช้ไปสองสามอาทิตย์ก็ไม่เข้าใจทำไมสิวไม่ดันออกมาสักที แล้วสิวก็ไม่ยิบไม่หายด้วยนะคะ คงเดิม น้อยใจมากๆเลยค่ะ
ทำไมคนอื่นใช้แล้วมันมีผลกับหน้า ทำไมเราไม่มี กรดพวกวิตตามินเอมันก็แรงอยู่นะ น้อยใจเลยไม่ใช้แล้วค่ะ
กลุ่มพวก ยูเซอรีน แพน คลินดาเอ็ม(ตัวนี้ใช้ยุบบ้างไม่ยุบบ้างเลยเลิกใช้) แล้วก็สารพัดอย่าง ก็ไม่หาย
เคยไปรักษาสิวกับแพนอยู่ครั้งนึง ตอนแอดปีที่แล้วค่ะ นอนดึกแล้วก็เครียดเรื่องสอบแอด
สิวเลยเห่อสุดๆในชีวิตมราเกิดมา พ่อทนไม่ไหวจึงส่งตัว?ไปรักษากับหมอไปเลย
หมอก็แค่จัดยาให้กินค่ะ กับเซ็ตสิวของแพนที่หาซื้อได้ทั่วไป
ตอนที่หมอจัดยามาให้มันมียาแก้อักเสบ(เม็ดชมพูขาว) กับยาอะไรสักอย่างเม็ดน้ำตาลเหลือง
ตอนที่ไปก็ไม่ใช่ว่าจะหายนะคะ มันแค่ยุบๆและบรรเทาลง เราคิดว่าไม่จำเป็นน่ะค่ะ เพราะไปหมอก็จัดแค่ยาที่สามารถซื้อตามร้านขายยาทั่วไปแค่นั้น ไม่ได้มีตัวยาอื่นๆพิเศษ เราเลยเลิกไปค่ะ หลังจากนั้นหน้าเราเราก็ใช้ครีมธรรมดามากๆ ไม่ได้ใช้อะไรที่เกี่ยวกับการรักษาสิวเลย
สิวก็หายไปค่ะ จนมาถึงตอนนี้ สิวเห่ออีกแล้ว คิดว่าที่สิวหายง่ายเพราะกินยาตอนที่รักษากับหมอมาค่ะ แบบมันน้อยแล้วใช้อะไรก็ได้
แล้วอยู่ๆตอนนี้ก็เห่อขึ้นมา เมื่อประมาสามอาทิตย์ก่อน เรานอนดึกประมาณเที่ยงคืนตีหนึ่งได้ ปกติก็นอนดึกจนเป็นนิสัยค่ะ
แต่สองคืนนั้นมีโปรเจคที่ต้องส่งอ.ค่ะ ได้นอนประมาณตีสองตีสาม คือเหนื่อยมากจริงๆเลยง่วงด้วย เลยไม่ได้ล้างหน้าเพราะง่วงมาก (เราแค่ทาครีมบำรุงกับเบสไปเรียนแค่นั้นค่ะ ไม่ได้แต่งหน้าอย่างอื่นเพิ่มเลย)
อยู่ๆสิวผดก็บุกขึ้นมา และจากนั้นก็ลามเรื่อยๆ จนกลายเป็นปัจุบันนี้ มีทั้งสิวผด สิวอุดตัน สิวอักเสบ เต็มหน้ามากๆ
เราไม่คิดว่ามันจะเกิดจากการไม่ล้างหน้าเพียงแค่สองสามคืนนะคะ เพราะปกติเคยไม่ล้างหน้า แต่ก็ไม่เป็นแบบนี้
ตอนนี้ไม่กล้าออกจากบ้านแล้วค่ะ สิวกระหน่ำมาก เมื่อวานลองศึกษาดีท็อกผิวหน้าดู
เราอยากจะลองพักหน้าอ่ะค่ะ แบบไม่ใช้อะไรเลย แค่ประโคมใข่ขาวพอกหน้าก่อนนอนเท่านั้น เห็นว่าเขาหน้าใช้อะไรเลย ครีมก็ห้ามใช้ แต่ตอนนี้มันหน้าหนาวอ่ะค่ะ หน้าแห้งมาก ควรไหมคะ ที่จะทำแบบนั้น เรากลัวหยุดใช้ทุกอย่างสักอาทิตย์สองอาทิตย์แต่ก็ไม่มีอะไรดีขึ้นจังค่ะ
กลัวแย่กว่าเดิม หน้าจะเหี่ยว เพราะความหนาว ถ้าดูจากรูปจะรู้ว่าหน้าแห้งมากค่ะ ปกติจะเป็นคนผิวมัน แต่หน้าหนาวไม่โบกอะไรไปเลย มันก็เป็นแบบนี้อ่ะ กร้านมาก หน้าฉัน TT^TT
กระทู้นี้เนื้อความยาวมากๆ คือเราอยากให้รู้ว่าเราใช้ครีมอะไรก็ไม่เคยหาย ไปหาหมอก็ไม่ได้ดีขึ้น
ตอนนี้เราควรทำอะไรกับหน้าดีคะ ใครเคยประสบปัญหาพบเจอแต่หายแล้วช่วยเราหน่อยนะคะ คงรู้เนอะ ว่าหน้าแย่แล้วหดหู่ใจขนาดไหน
รูปประกอบค่ะ
ช่วงกรามจะมีสิวผดขึ้นค่ะ ทั้งสองข้างเลย เยอะมาก หน้านี่ไม่เรียบเลย TT^TT
ส่วนหน้าผากจะมีสิวอักเสบแทรกขึ้นตรงคิ้วบ้าง และก็มีสิวผดกลางหน้าผากค่ะ อาจจะมองไม่เห็น แสงเยอะค่ะ
ขอโทษอีกครั้งค่ะที่กระทู้ยาว หลายคนคงขี้เกียจจะอ่าน แต่ช่วยหน่อยเถอะนะคะ ไม่อยากออกจากบ้านจริงๆแล้วค่ะ
กระจกยังไม่อยากส่งเลยค่ะ ขอบคุณล่วงหน้าทุกคนนะคะ